このコーナーが身近な体験として、日常臨床に役立つことを願います。

トピックス

最近のトピックス

Topic No180
'00.9.3
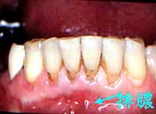
ナチュラルヒストリーは確実に変化!
初診時 パノラマ 10年後 パノラマ
歯槽骨吸収は約1/2 将来が危ぶまれる状況
 40歳・女性
10年間骨吸収はほとんど停止、喪失歯もなく経過良好

「右上の奥歯がグラグラで…」

口腔内およびX線所見:
 口腔清掃状態はそれ程悪くはないが、全体に歯槽骨吸収が著しく、軽度なところで1/3以上、 著明なところは1/2以上吸収しており、40歳という年齢を考えると将来は悲観的。

処置および経過:
 75|は抜髄の上、歯周外科処置(FOp+HAP)を行い、それ以外の部位については、 P-cur と毎月のプロフェッショナル・トゥースクリーニングを行い経過観察することとした。 初診より5年を経過した頃より|6の知覚過敏を訴えるようになり、薬物塗布により鎮静 に努めたが、最終的には歯髄壊疽により根管治療を行った。
 治療の時に悲観的だった7|6は、それぞれ動揺と軽度な咬合痛が消失しないまま 長期にわたり機能し続けている。
 一方着目すべきは、それ以外の歯が10年後も初診時と変わらず、あたかも骨吸収進行が停止 したかのように思える点である。

考察:
 初診時(40歳)までの歯槽骨吸収速度と、メインテナンスを始めてから10年間の進行速度が 明らかに違う。P-cur と毎月のプロフェッショナル・トゥースクリーニングだけで獲得できた意義 は臨床家として高く評価したい。

感想:
 結局、毎月のスケーリング!!


Topic No179
'00.8.27
2つの歯髄炎

初診時 パノラマ 12年後
数年後が危ぶまれる口腔内状況であった
【症例1】 74歳・男性
喪失歯もなく経過良好
【症例2】 55歳・男性

いずれも主訴は知覚過敏。

口腔内およびX線所見:
【症例1】 
 メインテナンス中の患者さんで、歯周疾患進行は弱いが以前から6|の知覚過敏を訴え ていたが、夜も眠れない程の痛みがあったとのこと。カリエス(-) 最大盲嚢 5mm。
【症例2】
 最近初診の患者さんで、歯周疾患進行傾向は並程度であるが、上顎臼歯部の骨吸収が著しく 知覚過敏を訴えている。カリエス(-) 口蓋側の盲嚢は根尖に至る。

処置および経過:
【症例1】 は完全な歯髄炎末期症状であったので抜髄、CR充填にて経過良好。
【症例2】 は象牙質知覚過敏状態であったが、直近での歯髄炎は避けられない状況と判断して |6ともども抜髄の上連結固定を予定。

考察:
 何れの症例もカリエスは全く認められず、歯髄の炎症は象牙質知覚過敏によるものと思われる。 このまま歯髄壊死を放置した場合には、何れも根尖病巣に発展して半年後にはいわゆるエンド・ ペリオとして歯槽骨の全てを失って抜歯になるものと思われる。  そしてその時には、根尖部から歯髄壊死に導く上行性歯髄炎として解釈されるものと思われる。

感想:
 上行性歯髄炎の正体見つけたり! → 象牙質知覚過敏症末期の歯髄炎。


Topic No178
'00.8.20
隣に怪しげな歯…誰の責任?

初診時 パノラマ |23部 拡大
年齢の割に残存歯も多く骨植堅固
78歳 女性
|3は根管治療不備とカリエスにより補綴が必要

主訴は6|の疼痛

初診時口腔内およびX線所見:
  清掃状態はやや不良で歯肉縁下歯石の沈着が著しいが、年齢の割に残存歯数も多く歯槽骨 吸収も軽度。歯冠崩壊が著しく抜歯の適応と思われる歯(3|, |4)や、二次カリエスにより根管処置および 歯冠補綴の必要な歯(6|,|3)、 更に歯肉より排膿の認められる|2などがあり徹底した治療が必要と思われる。

処置および経過:
 主訴の6|を抜髄→歯冠補綴終了後、 根尖部に違和感のある,|3を根管治療を行った。|2遠心歯肉にはポスト穿孔 による漏孔が認められるが、疼痛もないこともあって治療(この場合抜歯)を希望せず、 |3単独補綴を行うこととした。

考察:
 このまま何事もなく2年間経過してくれれば問題はないのですが、|2が腫脹するとか 脱離した場合、当然抜歯ということになります。その後の補綴として、|@2Bブリッジ を行えば製作料は無料で行わなくてはなりません。2万円程度の治療費(3|1本分の 費用)を頂いて、隣の歯にトラブルが生じると6万円(|@2B3本分の費用)の責任を 負わなくてはならない規則です。
 責任を回避する方法としては、
@ 未だ使える可能性のある|2をあらかじめ抜歯して、ブリッジにする
A |2を抜歯した後に、患者さんの嫌がる1本義歯を入れる
いずれの対応も患者さん本位の治療からは逸脱していると思います。

感想:
 “補綴物:2年間保証”は聞こえは良いが問題一杯!!


Topic No177
'00.8.13
根管治療の基本は根管内の清掃!! 

初診時 4|漏孔 即日充填後
76|治療中から気になる漏孔
40歳 男性
術後漏孔は速やかに閉鎖

「口の中がウミだらけで…」

初診時口腔内およびX線所見:
 清掃状態はやや不良。歯周疾患進行は歳相応で平均的な40歳で喪失歯は2本だけだが、 抜髄した歯全て(12本)に根尖病巣が存在する。そのうち764|5には漏孔が存在し、 排膿と疼痛が認められる。

処置および経過:
 疼痛の著しい|5から治療を開始し、つづいて76|4|の順番に根管治療 を進めた。治療は全てクラウンやポストを除去した上で、即日充填を行った。治療後の経過は、全て 良好。

考察:
 抜髄するたびに根尖病巣ができて、挙句は抜歯されていたのでは患者はたまらない。治療した ドクターの手抜きや技術不足というよりも、根管治療や抜髄に対する基本的な考え方、つまり炎症 発生の原因に対する認識に誤りはないのでしょうか?

感想:
 即日充填をまるで手抜き治療のように言われることもあるが、これこそ生体の摂理に従った 正しい治療方法だと確信しています。


Topic No176
'00.8.6
何で根管治療ができないの?

初診時 パノラマ 7|Dental(根管充填後) |7Dental(根管充填後)
下顎左右第二大臼歯遠心に骨欠損
32歳 男性
根尖部を含む明らかな骨欠損を確認 根尖部への到達はやや不鮮明

「前の歯医者では薬を塗るだけだちっとも良くならないので…」

初診時口腔内およびX線所見:
 口腔内清掃状態はやや不良だが歯槽骨吸収は中程度であるが、随所に深い骨欠損が存在し 年齢の割に歯周疾患進行傾向が強い。主訴の7|7 からは排膿が著明で、レントゲン診査では根尖に及ぶ骨欠損が確認された。

処置および経過:
 左右ともに即刻壊死歯髄を除去して根管充填(即日充填)を行い経過観察中。 排膿と疼痛は速やかに消退したが、軽度の咬合痛と違和感は約2か月後に消退した。

考察:
歯槽骨の破壊が歯周疾患によるものであれば骨の再生は見込めないが、根尖病巣による破壊 であればその位置までの骨再生が期待できる。いずれにしても根尖部を含む骨欠損を確認した 際には、歯髄の壊死を想定して根管治療を試みるべきだと思います

感想:
 この症例に対して、薬を塗るだけでは患者さんの信頼は獲得できないのでは…。


Topic No175
'00.7.30
6|だけが何故?

初診時 パノラマ 6| 拡大
カリエスは少なく歯槽骨吸収は中程度
58歳 男性
上行性歯髄炎と思われる骨欠損

主訴は6|の動揺

初診時口腔内およびX線所見:
  清掃状態が不良で歯肉縁下歯石の沈着が著しい割にはカリエスも少なく歯槽骨吸収も軽度。 少々歯石が沈着していても炎症を起こさせない程の抵抗力をもった人と推定される。本人も体力 には自信があるとのことではあったが、6|の歯槽骨だけが根尖部まで破壊されているのが 印象的な症例である。

処置および経過:
 6|の動揺が著しく保存不可能と判断して抜歯。増齢と伴に衰える体力に備えて、今後 二度と同じ過ちを繰り返さないために徹底的な歯石除去とメインテナンスの重要性を説明。

考察:
 「数か月前に同部の激しい知覚過敏を覚えたのち、急激に動揺が気になりだした」という訴え により歯髄壊死の時期を推定することが可能です。 「歯槽骨の破壊が根尖部に波及して歯髄壊死が起こる」とする一般的な上行性歯髄炎の考え方 では、周囲の歯槽骨破壊程度などを加味するととても説明のつかない症例と思われる。

感想:
 今からメインテナンスを続ければ“8020”達成は間違いなし!


Topic No174
'00.7.23
骨ができた!!

初診時 パノラマ 術後 パノラマ
全体に歯槽骨吸収が著しい
68歳 女性
手術(レーザーによる根面処理)を行った部位に骨再生

「歯がグラグラして咬めません」

初診時口腔内およびX線所見:
 口腔清掃状態はやや不良。年齢の割に残存歯数が多いとはいえ、全体に中程度以上の歯槽 骨吸収が認められ、上顎臼歯部と85|7部 の歯槽骨吸収が著明で動揺もあり歯牙存続が危ぶまれる状態であった。

処置および経過:
 歯周疾患初期治療終了後、上顎前歯部を除く全ての部位に対して歯肉掻爬剥離術を施行。 その際、連続波Nd/YAG LASER による根面処理を併用して、ブリッジによる連結固定を行った。 治療終了時のレントゲン診査の結果、処置を行った全ての部位に歯槽骨の再生が認められた。

考察:
 現在世界的に人工骨の補填を始め、GTRやエムドゲインによる歯槽骨再生法が試みられてい るが、いずれの方法も有効な歯槽骨再生が認められていない。歯周疾患によって失われた歯槽 骨の再生は全世界の歯科医のみならず、全ての国民にとって永遠の夢ともいえる状況である。
 歯槽骨再生が起こり得る条件を満たした上で、上記の方法を併用するならばより有効な結果が 得られるものと思われるが現状ではその条件が満たされたとは言い難い。究極の条件とは、歯周 疾患罹患部分の根面処理であると確信する。その一つの手段として、今回行った連続波Nd/YAG LASER による根面処理は有効な方法であると思われる。

感想:
 歯周疾患罹患部分の歯槽骨再生は、ひょっとして世界初!!?


Topic No173
'00.7.16
上行性歯髄炎→立ち枯れの如く…

術前4年 Dental写真 2| Dental写真 同 口腔内写真
2|の知覚過敏を訴えるが異常は認められない 舌側は根尖に及ぶ歯槽骨吸収
72歳 女性
カリエスもなく舌側歯頚部部から排膿

「歯がグラグラして咬めません」

初診時口腔内およびX線所見:
 口腔清掃状態はやや不良。全体に中程度以上の歯槽骨吸収が認められたが、年齢の割には比較 的良好ではあった。問題の下顎前歯部には、カリエスおよびカリエス治療の痕跡は見当たらない。

処置および経過:
 最初の来院は、1993年1月12日(65歳)。歯周疾患初期治療と主訴の上顎前歯部治療が終了 したのち、月に1度のメインテナンスに応じて現在継続中。

 メインテナンス期間中にも所々カリエス進行に伴う追加処置を行ったが、全体としては特に問題 もなく順調に経過。2|については、4年前 ('96)に一度知覚過敏症状を訴えており、その時はレントゲン的に異常が認められず、薬剤塗布 により症状が消失し無事回復したものと思われていた。
 そして今回、舌側の歯肉腫脹と排膿を伴う激しい炎症により、急激な動揺を伴った痛みにより、 緊急来院された。処置としては、通法に従い根管治療を行い消炎を確認しレジン充填にて歯冠 修復を行った。

考察:
 結果からみると、4年前に知覚過敏を訴えた時点ですでに歯髄壊死があったものと思われる。 本性例に関して言えば、舌側歯槽骨の破壊が根尖部におよび“いかにも上行性歯髄炎”らしい 病態を示している。掲載したレントゲンでは不鮮明ではあるが、 2|の頬側および周囲歯の歯槽骨は 破壊の形跡は認められず、2|の舌側だけ が歯周疾患により破壊されたと考えるには不自然な状況である。

感想:
 長年メインテナンスを続けていると、上行性歯髄炎の解釈に疑問が一杯!!


Topic No172
'00.7.9
上行性歯髄炎→立ち枯れの如く…

2| Dental写真 |1 Dental写真 同 口腔内写真
3年前には、2| 根尖に及ぶ歯槽骨吸収は認められない
66歳 男性
カリエスもなく根尖部から排膿

「下の前歯がまた痛くなりました」

初診時口腔内およびX線所見:
 清掃状態はやや不良であるが、歯槽骨吸収は中程度で平均よりやや良好と思われた。問題の 下顎前歯部には、カリエスおよびカリエス治療の痕跡は見当たらない。

処置および経過:
 最初の来院は、1983年12月8日(48歳)。その後数年に一度程度来院されており、1991年(56歳) 頃より月に1度のメインテナンスに応じるようになり現在継続中。

 下顎前歯部については、1993年頃に知覚過敏症状を訴えているがその後は特に目立った症状 は認められなかった。その4年後('97)に2| の疼痛を訴えた時にはすでに歯髄壊死から比較的大きな根尖病巣に発展した状態であった。 そして今回('00)同様に、|1の歯髄壊死に よる症状を訴え根管処置を行ったが、'97年当時のレントゲンでもすでに歯髄壊死であったものと 推測される。

考察:
 上行性歯髄炎は一般に“歯周疾患の進行が根尖部に及んだ結果、根尖部歯髄に炎症が波及し て歯髄を壊死せしめる”と解釈されているが、本性例においては、綿密なプロービングの結果根尖 に及ぶ歯槽骨の破壊は観察されていない。
 上行性歯髄炎が歯周疾患の進行と深く関わっているであろうことは疑う余地のないことと思われ るが、“象牙質知覚過敏→歯髄炎→歯髄壊死→根尖病巣→エンド ペリオ”と考えるのが妥当だと思います。

感想:
 上行性歯髄炎の成因には、歯周疾患の原因を特定するヒントがある!


Topic No171
'00.6.25
ストップ・ザ・ナチュラルヒストリー

初診時 パノラマ 12年後
数年後が危ぶまれる口腔内状況であった
65歳・男性
喪失歯もなく経過良好

主訴は6|の疼痛。

口腔内およびX線所見:
 口腔内清掃状態は不良で残存歯数16本。歯槽骨吸収程度は1/2以上で全ての歯に動揺が 認められ、特に主訴の6|は根尖病巣もあって保存不可能な状況で、このまま放置した 場合には数年後に総義歯となることが予想された。

処置および経過:
 6|抜歯後、F6DC|Bridgeを作成し治療を終了。
終了直後から毎月のメインテナンスを行い、数年間に渡って追加処置を行い12年経過。 その間喪失歯もなく、歯槽骨吸収進行もなく順調に推移し現在(77歳)にいたる。

考察:
 65歳までの歯槽骨吸収速度や喪失歯数と、メインテナンスを行って以降のそれとは明らかな 相違が認められるように思います。

感想:
 何はなくとも、メインテナンス!!



歯科 歯科 歯科 歯科 歯科 歯科 歯科 歯科 歯科 歯科 歯科 歯科 歯科 歯科