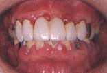
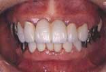
| 初診時 口腔内写真 | 1か月後 | 2年後 | 投薬後1か月 |
![]() |
![]() |
![]() |
![]() |
| 歯肉の腫脹が著しい 64歳・女性 |
徹底的に歯石除去したけれど… | メインテナンスの甲斐なく歯肉腫脹 | 歯肉状態大幅に改善 |
口腔内およびX線所見:
年齢の割には残存歯牙数が多く、歯槽骨の吸収はやや少なめではあるが、口腔清掃状態が
不良で歯肉の腫脹が著しい。歯肉縁下歯石も予想に反してやや少なめであった。
処置および経過:
歯周疾患初期治療と平行して、主訴である上顎前歯部の補綴処置を進めた。スケーリング→
スケーリング&ルートプレーニングおよび根面処理を行ったにも関わらず期待する程の歯肉改善
が見られなかったが、臼歯部の咬合支持確保の必要性から、メインテナンスによる改善をあてに
して見切り発車的な形で歯冠補綴を進めた。
約1年の治療期間中にも度々ルートプレーニングを追加して、ある程度の改善は見られたが、
メインテナンスに移行したのちも歯肉状態に不満の残る症例であった。「難治性の歯肉炎」と
いう言葉が脳裏をかすめる。
初診より約2年経過した時点で、折りしも“アムホテリシンBシロップの効果”が新聞上で公表
され何かと話題になった時期だったこともあり、アムホテリシンBシロップのうがいを試みる
こととした。
アムホテリシンBシロップ投薬後1か月時点での歯肉回復は、かなり著明であった。
考察:
「歯周疾患の原因がカンジダ菌による」とは思っていないが、歯石除去を始めとした通常の
処置を行っても改善しない重傷(難治性)の歯肉炎の場合には、少なからずカンジダ菌が
関与している症例があると思われる。
感想:
何とか改善の糸口を見つけ出して安堵の胸をなでおろす思いです。

日常の臨床で感動したこと・腹の立ったこと…患者さんに言えないこと…
自慢や非難と誤解しないで
下さい。自らのレベル向上の糧となることを願います。