このコーナーが身近な体験として、日常臨床に役立つことを願います。

トピックス

トピックス 根管治療

Topic No.30
'97.10.12
歯科医にとって珍しい症例ではありませんが…  
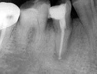
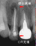
30歳 女性 2」 治療後Dental写真
初診時 パノラマ カリエス治療後の歯髄炎および根尖病巣

「ムシ歯でもないのに歯ぐきが腫れて…」と不安そうな表情。

初診時口腔内所見および治療歴:
 臼歯部に二次カリエスが認められるものの、清掃状態は比較的良好。歯槽骨の吸収も認められない。 10数年前に2」の治療(CR充填)を受けたのち、同部根尖付近の違和感を感じるものの放置。 数カ月前から歯肉の腫脹と疼痛が著明となり来院。

処置および経過:
 レントゲン診査の結果、2」の根尖病巣が認められたので、感染根管治療(失即充)を施行。 術後症状は暫時軽減し予後良好。

考察:
 10数年前の治療後、切削時の発熱、またはCR(残留モノマー)充填の薬物刺激により歯髄が 炎症を起こし、変質(→腐敗)した結果根尖部に炎症が波及したものと思われる。
この考え方に関しては多くの専門家の指示が得られると思うが、私はあえて一言追加したい。 つまり、「切削時の発熱、またはCR(残留モノマー)充填の薬物刺激により歯髄との間に残存する 象牙質中の有機質が変質し、歯髄が炎症を起こした。」
更に、 術後の知覚過敏は歯髄炎症の結果である点と、外部からの細菌侵入は考え難い点を 強調したい。

感想:
 臨床医には、日常見慣れた“レジンの為害作用による歯髄炎と、それに伴う根尖病巣”であるが、 患者さんにとっては未知の体験である可能性が高い。 歯医者はムシ歯を削って詰めるだけと思われている世界があることを思い知らされた症例です。
 知覚過敏・歯髄炎・根尖病巣については引き続き掲載を予定しています。


Topic No.66
'98.6.21
根管が一杯…貧乏くじ!!

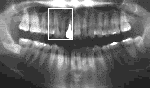
初診時 パノラマ 「456 術中Dental写真
34歳 男性 「45 2根管,「6 4根管

「左下の奥歯が痛いんです!」

口腔内およびX線所見:
 口腔内全体にカリエスによる歯冠崩壊が著しく、清掃状態も不良であった。 残根状態の歯全てと根管治療済みの歯全てに根尖病巣が認められた。左下56の根尖付近を 中心に軽度な腫脹があり、疼痛の原因が56根尖病巣によるものであることが推測された。

処置および経過:
 浸潤麻酔の上、「56の根管を開始したが、いずれの歯も歯髄腔は狭窄の上、弯曲しており 作業は難航を極めた。おまけに術中のDental写真により根管数の異常が確認された。悪戦苦闘の 末根管の拡大および清掃が完了。根尖部からの排膿は認められなかったが、解放状態で内服薬を 投与して当日の治療を終了した。  翌日、根尖部の腫脹と疼痛が消失し、経過が良好であったことから根管充填を行い次のステップ に移行した。尚、重傷のカリエスにより歯髄炎の疑われた「4は特に症状がないので咬合保全の 意味を含めて「56補綴完了後に行う予定である。

考察:
 下顎6番の4根管は比較的多く存在するが、4番・5番の2根管は比較的稀である。しかも 4番・5番が2本とも2根管であることはもっと稀なケースである。 根管数が多ければ作業量はそれだけ多くなる以上に細く弯曲した根管を拡大・清掃する作業は 難航を極めることはいうまでもない。

感想:
 おまけにその3本を全て治療しなければいけないとは…なんと貧乏くじを引いたものなんだろう! 経済的保証がほとんどないのは、歯医者仲間でしか分からないのがちょっと悔しいですね。


Topic No117
'99.6.13
抜きたくない気持ちは大切! でもその前に・・・・・。

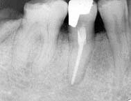
初診時 パノラマ 「6部 Dental写真
問診表に書かれた「痛い所だけ治したい」がやけに引っかかる
34歳 男性
半年前に「今度ダメなら抜歯」と言われた。

「前の歯医者で抜くと言われました。何とかして下さい。」

初診時口腔内およびX線所見:
 右下第二大臼歯を除いて一応治療が終了した状態であったが、ほとんどの歯牙に治療を要する カリエスが存在した。清掃状態が極端に悪く、上顎左右臼歯部には、年齢よりやや進行した 歯槽骨吸収像が認められた。
 主訴の「6番頬側歯肉は、根分岐部から根尖にかけて腫脹し排膿と疼痛が著しい。「6近心根の 根管治療が不充分なための根尖病巣ではあるが、近心根分岐部付近には“穿孔”と思われる レントゲン像が確認される。また、金属製のポストコアーが装着されており、除去するには相当の 時間を要するものと予測された。

処置および経過:
 「抜いてしまったらお終いでしょ。何とか抜かずに治療して下さい。」と言われても、残存歯質と “穿孔”、更に根管治療など諸問題を考慮すると、とても完全回復は不可能といわざるを得ない。 しかも、“痛い所だけ”の治療希望では治療する側としてとても受け入れることの出来ない条件 である。
「6だけ仮に治癒したとしても、10年以内に他の大臼歯は全て失われることが予想される状況と、 他のカリエス進行状況や歯周疾患の状態を説明して、徹底した治療とメインテナンスの必要性を 理解していただくことから始まった。
 問題の「6は、コアーを除去して“穿孔”が確認できた段階で近心根 ヘミセクションする旨の了解を得たうえで治療を開始した。結果は予想通り“穿孔”が 確認され、即日ヘミセクション施行。

考察:
 歯が半分残るということで、患者さんの理解と面目を得ることができました。ヘミセクションは 使い様によっては非常に有効な手段ですが、術式が複雑そうなためかなかなか普及していない のが現状のようです。術後は、「5とのBridgeを考えていますが、残された「6の寿命は平均15年 程度のように思います。それでも「7を15年間支台歯として使わずに済むメリットは大きいと 確信しています。

感想:
 穿孔・根管治療…歯医者も悪いが、清掃・治療放置…患者の心がけも悪い!!


Topic No124
'99.8.1
漏孔の閉鎖→別に珍しい症例ではありません。

根管治療時 術後1週間
根管への排膿がなければ即日充填
60歳 女性
通常、1〜2週間で漏孔閉鎖

「歯茎が腫れて痛みます!」

初診時口腔内およびX線所見:
 口腔内清掃状態は比較的良好で、年齢の割には残存歯数も多い(24本)が、歯槽骨吸収は 1/2程度で10年後にはほとんど喪失が危惧される状況であった。
主訴の4|は、根管治療後の歯でパノラマ写真では明瞭な根尖病巣が確認できた。

処置および経過:
 クラウンおよびポストコアー除去後、通法に従って根管清掃を行い、出血や排膿がないことを 確認して即日充填を行った。翌日まで若干の疼痛が認められたものの、術後の経過は良好で、 根尖病巣部に存在した漏孔も1週間後には閉鎖。再びメタルコアーによる支台形成を行い、 最終補綴物を装着して同部の治療を終了した。

考察:
 私の医院では、根尖部からの出血や排膿がない限り即日充填を基本としています。 根尖病巣の原因は、根管内に貯留した汚物に対するアレルギー反応に呼応したように 発生する根尖部の炎症です。原因となる汚物を機械的に(可及的)完全除去し、再び汚物が 貯留しないように死腔を(可及的)完全閉鎖すれば、根尖部の炎症は治まり破壊された 骨組織も根尖病巣の大きさに関係なく再生されます。

感想:
 一見丁寧とも思われる根管貼薬(何度も薬を詰めかえる治療)が全く無意味な処置で あることを訴えたくって掲載しました。


ご意見:
氏名: K.T   
所在都道府県:東京   職 業:歯科医   年 齢:歳      性別: male  

根充剤に  ある程度の殺菌力が必要なのは カヒができるのに役立つためと考えら れます。感染根処だとカヒでなく感染した滲出物になることが考えられます。したがってカヒ は形成されず 良好な予後は期待できないと思われますし、実際、経験の範囲では  期待できるものではありませんでした。 もし ある程度の良好な予後の症例の量を お見せいただけるのであれば ぜひ お 見せいただきたいと思います。私の考えを変えねばなりません。

また 形成は何号までなさるのか、根管長を測定なさるメーターは何をお使いにな るかとか、根管長測定の方法とか こう言ったデーターもお示しになるべきだと思い ます。使用されてるセメント、名もはっきりと。全国の歯科医に公表して、追試を行 い、ほんとに90%以上の良好な予後が期待できるのであれば、歯科医療にとって大変な業績だし 貢献だと思われます。 河田メッソドと名ずけて賞賛されることでしょう。 世界に広がるのでは。ぜひ詳細を公表なさってください。
できないのなら 90%だの何だのといって 素人を惑わすような言動はおつつしみになったら? いかが?

ただ 熱心にお取り組みになっていることは認めます。 とてもすばらしいことだと思います、これははっきりと言わせていただきます。
(長文のご意見から一部抜粋)


Topic No127
'99.8.22
珍しい症例ではありません…根尖病巣の治癒

根管治療時Dental写真 根管充填時Dental写真 術後1年7ヵ月Dental写真
1998年1月28日
59歳 男性
1998年1月28日
即日充填
1999年8月16日
根尖病巣治癒

主訴:歯が痛い!

初診時口腔内およびX線所見:
 口腔清掃状態は比較的良好。歯肉縁下歯石の沈着が随所に認められるが、歯槽骨吸収は 比較的経度で年齢の割には残存骨量は豊富。 主訴の右下5番の治療は10年以上前に治療(抜髄)したとのことであるが、その間痛みを感じる ことはなかったということである。根尖部には明らかな骨破壊像(X線陰影像)が存在。

処置および経過:
 根管内に残存する根充材および汚物を通法に従い完全除去。排膿がないことを確認して 即日根充を行い、抗生剤投与の上治療終了。 翌日、多少の違和感を訴えたので抗生剤を更に追加投与(計5日分)し経過観察。 1週間後に症状の消失を確認した上で、形成→印象して術後2週間後にインレーを装着して 治療を終了。 その後、1年半経過した時点で7番のクラウンが脱離したとのことで再び来院。その間患歯は 痛みのなく順調に回復。

考察:
 歯周疾患の進行状況などから推測して、元々免疫抵抗力の強い患者さんだと思います。 感染根管の即日充填に対しては多くの歯科医が疑問に感じているようです。私の医院では、 排膿と疼痛の著しい一部の症例(1%以下?)を除いて全て即日充填を原則としています。 根管治療のポイントは、「根管内の完全清掃と完全封鎖」だと確信しています。 このポイントを無視して、長引く根管貼薬を行っても“無用な苦痛を与えるだけ”で決して 良好な予後が得られないと思います。

感想:
 以前の即日充填(漏孔閉鎖)に対して予後を危惧する声が熱心な歯科医から寄せられたことを 受けて取り上げてみました。全てが良好というわけにはいきませんが、90%以上が成功です。 この90%を証明するのは難しい!!


Topic No137
'99.10.31
根管治療のポイント。

術前 術後
根管充填はしっかりしているようだが…
58歳 女性
しっかりしているようでも根管内は腐敗
汚物完全除去後即日充填

主訴は「45の二次カリエスによる冠脱離。

初診時口腔内およびX線所見:
 清掃状態はやや不良で、歯科治療にも無頓着なのか喪失歯も多い。 レントゲン診査により確認された|4の二次カリエスと根尖病巣も、ご本人は全く気に 止めていない様子でした。ただ、「45んの“危うく喪失”の危機に直面して|4の治療を 承諾。

処置および経過:
  クラウンおよびポストコアー除去後、通法に従って根管清掃を行い、出血や排膿がないことを 確認して即日充填を行った。術後の経過は良好で、根尖病巣部に存在した漏孔も1週間後には 閉鎖。再びメタルコアーによる支台形成を行い、最終補綴物を装着して同部の治療を終了した。

考察:
 根管内の汚物除去を徹底して、綿密な死腔閉鎖(根管充填)を行えば間違いなく根管治療が成功 するものと確信しています。とはいっても100%予後良好とはいえません。最大の原因は、血液や 浸出液の混入だと思いますが、もう一つの原因は根管口外への汚物や根充材の押し出しです。
本性例の場合は、患者さんの免疫抵抗力が強かったおかげで術後の疼痛もなく経過は良好です。 同じような量でも術後痛を訴える患者さんの場合には、消炎剤の投与で経過を観察したのちに 根尖部掻爬術を行う場合もありますが、その発生頻度は1%未満だと思います。

感想:
 Dental写真だけの症例は過去に山ほどありますが、口腔内写真のある症例が全くないので 今後は資料の収集を始めます。やっとデジタルカメラを買ったばかりです。


根管治療 根管治療 根管治療 根管治療 根管治療 根管治療 根管治療 根管治療 根管治療 根管治療 根管治療 根管治療 根管治療 根管治療 根管治療