このコーナーが身近な体験として、日常臨床に役立つことを願います。

トピックス

トピックス   親知らず・抜歯

Topic No.3
'97.3.30
何んで抜いた!!
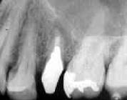
13歳・男性 16年後
年齢の割にムシ歯が多く、清掃状態も不良。 どうして5│5がないの?

 初診時13歳の少年で、Kries 進行傾向が強く3年間の治療期間中に1│5の抜髄を施行。 それ以外にも計7本の保存修復治療を行った。

経過:その後、他院にて治療をしていた様子であるが、13年ぶりに上顎前歯部のKries 治療を 希望して来院。Kries の増加と抜髄処置を受けていることには十分納得出来る相変わらずの清掃状態で であった。

疑問点:20歳前後の10年間で、抜髄しなければならない状況…さらには抜歯に至る状況 にまで至るものでしょうか!!おまけに、6│6の抜髄は惨い!!

感想:下顎の6,6を治療した歯科医に上顎臼歯部の治療をしてもらえばよかったのに……。


Topic No.9
'97.5.11
お役目ご苦労様?

35歳・男性 16年後
コアー set 時 1年前にコアーごと脱離、再製不能

「抜かずに何とか治療して下さい。」
開業4日目の私の医院に来院された患者さんの最初の言葉でした。

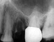
初診時所見:
│5根尖部には根尖病巣が認められ、歯肉縁下に及ぶカリエスは残存歯質の半分以上に およぶものの骨植は堅固であった。

処置および経過:
│5の根管治療終了後、通法に従いコアーおよび最終補綴物を装着し治療を終了。 5年後に補綴物を再製したものの、1年前に脱落するまでの15年間経過良好。

感想:
「こんな歯まで治療してもらえば患者さんも本望ですなぁ。」出入りの技工士さんの言葉と 開業間もなかったこともあって強く印象に残る症例であった。 脱落した直後に来院していればまだ使えたかも…と思う反面「長いこと使えました。先生、 ありがとう。」の言葉に安心して抜歯できそうです。


Topic No.46
'98.2.1
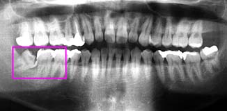
無責任!!?

35歳 男性 「8 拡大
初診時 パノラマ 「8 歯冠カット後抜歯中止

「歯が痛くって!!前の歯医者で抜きかけたんですが抜けなくって…」と困り果てた表情で来院。

口腔内およびX線所見:
 口腔内全体に縁下歯石の沈着が著しくカリエスも随所に認められた。 左側の頬および「8部の歯肉腫脹は著しく、開口しにくい状態であったため口腔内からは状況を 把握するのが困難な状態であった。X線所見により、「8歯冠の一部がカットされた水平埋伏歯を 確認。

処置および経過:
 歯石を除去したのち、浸潤麻酔下において埋伏歯を抜去(所用時間:15分)。 翌日多少の腫脹が認められたものの経過は良好。

考察:
 抜歯を中断したケースの多くが、歯肉の剥離不足のように思われます。切開面積が大きくなれば 痛みも大きくなると思われがちですが、実際には切開面積と術後の痛みは比例しないようです。 ましてや、切開面積が狭く手術野が見えない状況でやむなく抜歯を中断して無用の疼痛を引き起こす よりは大きく切って確実に抜く必要があるのではないでしょうか。 手術野の明視は外科の基本。

感想:
 技量の違いもありますので、歯が抜けなかったことは致し方ないとしても、あとの処置が まずいのでは? 露髄の状態まで歯冠カットして放置すれば激痛を招くのは必至です。 大学病院とか、しかるべき施設に紹介して早急な処置をこうずるべきではないでしょうか?


Topic No.86
'98.11.8
嫌な抜歯!!

初診時 パノラマ |8拡大図 抜去 術式
上下左右に埋伏した智歯が認められる
30歳 女性
|7に食い込んだ上に上顎洞と近接 周囲骨削除の上、歯冠カット
抜歯時 34歳

主訴は、右側上顎智歯の抜歯希望。

初診時口腔内およびX線所見:
 清掃状態は比較的良好で、カリエスも少なく問題が少ないようではあるが、上下左右に埋伏智歯 が存在しているのが気がかりであった。

処置および経過:
 初診時、主訴の8|を抜去し、他のカリエス治療を行ったのちメインテナンスに移行。 メインテナンス中大きな問題もなく4年を経過したが、先ごろより|8の疼痛を訴える ようになったので抜歯を決断するにいたる。
抜歯に際して、歯肉を剥離したのち周囲骨を一部削除し、歯冠をタービンバーでカットして 苦心の末抜去。抜歯窩を確認したところ、レントゲン通り上顎洞との交通が認められた。 術後の経過は、通常の抜歯に比べて若干の疼痛があったものの順調に回復。

考察:
 上顎の埋伏歯に遭遇することも稀であるが、完全に埋伏して臨床症状がない場合には 抜歯の対象となることが少ない。日常比較的多く遭遇する下顎の水平埋伏智歯と異なり、 上顎の水平埋伏智歯の抜歯は、術野の確保が難しく抜く者にとって非常に嫌な存在である。
初診時には臨床症状がなかったので、今後症状が現れないことと萠出を期待して経過を 観察していたところであるが、いよいよ同部の痛みを訴えるに至って抜歯を決断。

感想:
 あまりかかわりたくない症例ですが、これも仕事の一つですからしかたない! ちなみに、8|の抜歯はレントゲンで見える以上に簡単でした。抜く前は「思いの他 簡単」なことを少しは期待していたのに…


Topic No.87
'98.11.15
嫌な抜歯!!

初診時 パノラマ 「8 拡大図 抜去 術式
下顎左側に埋伏した智歯が認められる
35歳 女性
レントゲンで見る以上に骨が歯冠部分を覆っている 周囲骨削除の上、歯冠カット

主訴は、|12の腫脹。

初診時口腔内およびX線所見:
 主訴の|12は、歯根中央部の崩壊に伴う炎症が存在した。それ以外にも6|の 根尖病巣による腫脹が認められたが、清掃状態は比較的良好で、「8の埋伏を認めるも 臨床症状はないように思われた。

処置および経過:
 上顎の治療を終了後メインテナンスに移行して約1年経過したころより、「8部の疼痛を訴えるよ うになった。
「7遠心の歯肉腫脹を起こすに至って、切開・排膿を試みると同時に探針で「8の埋伏状態を探った が、歯冠を触知することが難しくほとんど"完全埋伏歯"に近いことが疑われた。 ほとんど"完全埋伏歯"であることから、当初は、「7遠心根に歯石が沈着して起こした炎症を 疑ってしばらく経過を観察することとしたが、炎症は軽快することなく再び排膿を伴う腫脹を 起こしたことを契機として抜歯を決断。
 歯冠のほんの一部が露出した埋伏歯であることから、周囲骨を大きく削合して、通例に従って 歯冠カットのうえ抜歯を行った。術後の経過は良好。

考察:
 歯肉の上に顔を出した埋伏歯はほとんど抜歯の対象となるが、骨内に完全に埋伏した 智歯は炎症を起こさない限り抜歯の対象となることは少ない。しかし、わずかといえども 歯肉の隙間を介して口腔内と交通した場合には炎症を起こすことも決して稀なことではない。 ひとたび炎症を起こすようになった智歯はいつか抜歯しなくてはならない運命にあるといえる。
 本症例の場合は、周囲骨の削合に結構時間を要したが、幸いにも歯根形態が単純であった ので比較的容易な症例であった。

感想:
 上顎の埋伏智歯ほどではありませんが、これもあまりかかわりたくない症例です。


Topic No93
'98.12.27
折角「4を残したのに…何で抜いた!!?

初診時 パノラマ 9年後 パノラマ
中程度以上の歯槽骨吸収を認める
47歳 女性
更に進行したとはいえ、何で抜いた?

主訴は、「4部の腫脹。

初診時口腔内およびX線所見:
 カリエスが少なく歯の保存状態は良好ではあったが、清掃状態はやや不良で全体に中程度の 歯槽骨吸収が認められ、歯周疾患傾向が強そうな状態であった。 「4に上行性歯髄炎と思われる骨吸収像が、辺縁部と根尖部に認められた。

処置および経過:
 「34根管治療の上、「345 Fop+HAP 施行。「34を連結固定後メインテナンスに移行したが、 そのまま来院が途絶えて9年を経過した。
4|が自然脱落した」と訴えて来院された患者さんのレントゲン写真をみて、愕然とした 怒りにも近い気持ちが交錯した。歯槽骨の吸収が全体に進行して、動揺が認められるように なったのは当時の進行傾向から当然のことである。歯周疾患の進行により抜歯された右下 の大臼歯もさることながら、九死に一生を得た「4を尻目に、比較的健全と思われた「57の 喪失には言葉もない。
 「他の歯医者に抜かれてしまいました。何とかして下さい。」と今更いわれても…。 幸いにも、8|が比較的健全な状態であったので、「6部に自家移植をして 「BC5E Bridge装着にて一件落着。

考察:
 歯周外科処置の必要な症例に、メインテナンスが欠かせないことはいうまでもない。
9年間に平均約2mm(0.2mm/Y)の骨吸収は、進行傾向の認められる人にとっては平均的な 数字である。それよりも9年間に5本の歯を失うことの方が異常である。 もっと、歯牙を保存する努力が欲しいものです。

感想:
 メインテナンスに応じなかった患者さんと、それを徹底できなかった私にも責任の一端は ありますが、程度の悪い歯を一生懸命治したのにそれよりも数段保存状態の良い隣の歯が いとも簡単に抜歯されているケースが何例かあります。努力が報われなかった思いで 何とも言えないむなしさがこみ上げてきます。
 根完成歯の自家移植後のBridgeは、後日社会保険支払基金にて査定(減点)されました。 規則上やむをえないとは思いますが、むなしさと怒りは倍増です!!


Topic No97
'99.1.24
ちゃんと抜いてやってよ!!

初診時 パノラマ 右側智歯部 Dental写真
3本残った親知らずはいずれも虫歯
32歳 男性
抜歯中断の痕跡がクッキリ

「右下の親知らずが痛たくって! 何とかして下さい」

初診時口腔内およびX線所見:
 3本残った親知らずはいずれも虫歯で、いずれも抜歯が必要と思われるがそれ以外の歯に 関しては問題なく、清掃状態も比較的良好。 右側下顎智歯周辺の歯肉は腫脹しており、レントゲンでは歯冠の一部を切断した痕跡が 明瞭に確認された。

処置および経過:
 排膿を図るために麻酔をしたところ、激しい疼痛の原因が歯髄の急性炎症であったためか 疼痛が治まり抜歯も可能な状態と判断して早急に抜歯を行った。 抜歯後の予後は良好で特に問題なし。

考察:
 疼痛が著しく麻酔が効きにくい場合には、通常排膿と投薬を行って炎症の緩和を待って 2〜3日後に改めて抜歯を行うケースが多い。本症例のように歯髄炎末期の疼痛で、 周囲歯肉の炎症が軽度で十分な麻酔効果が得られた場合にはなるべく早く抜歯 した方が良いものと思われる。 前医で抜歯を試みた時には周囲の炎症が著しく歯冠の切断も困難だったものと思われるが、 歯冠の切断をもっと確実に行っていれば楽に抜歯できたのでは…?

感想:
 抜歯を中断した前医と抜歯をした歯医者と・・・・診療報酬は一緒なんです。 何とも納得しがたい規則です。
もっとも、患者さんの信頼という面では大きな違いがあるでしょうが。


Topic No106
'99.3.28
3年目のトラブル!!

初診時 パノラマ 術後3年 パノラマ
年齢の割に歯槽骨の吸収が著しい
34歳 女性
右の上下智歯にカリエス発生

主訴は、歯周疾患治療の希望。

初診時口腔内およびX線所見:
 口腔清掃状態は比較的良好であったが、歯肉縁下の歯石沈着が著明。また、年齢の割に 歯槽骨の吸収が著しく将来に大きな不安を抱える状態であった。

処置および経過:
 「5は抜歯とし、7-|-3に対しては歯周外科処置(Fop+レーザーによる根面処理) を施行することとした。歯周初期治療と並行して補綴予定部位の根管処置を行い歯牙保存に 務めた。
 一連の歯周処置と補綴処置を終えメインテナンスに移行して順調に経過していたように 思われたが、レントゲンを撮って始めてカリエスの存在に気づいた

考察:
 メインテナンス時には必ず脱離やカリエスのチェックを行っていた積もりですが、カリエスの 存在に全く気がつきませんでした。まだ何とかなる時点での発見に安堵する反面、それまで 気がつかなかったことに情けない思いを抱いています。智歯であるが故に発見が遅れたと いうのは言い訳、智歯であるからこそもっと注意しておくべきでした。

感想:
 3年でこれだけのカリエスはちょっと異例です。気の緩みがあったわけではありませんが ショックは大きい!!


Topic No110
'99.4.25
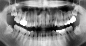
有りそうで珍しい、上顎水平埋伏智歯!!

初診時 パノラマ 最近話題の猿人
上顎親知らずは症状なし
43歳 女性
エチオピアで発見された250万年前の猿人
アウストラロピテクス・ガルヒ
このアゴの形なら智歯が萌出するスペースは十分!

主訴は、虫歯治療の希望。

初診時口腔内およびX線所見:
 口腔清掃状態は比較的良好であったが、年齢の割にカリエスおよび歯冠補綴は著明であった。 エックス線所見で目をひいたのが、右側上顎の水平埋伏智歯であった。臨床症状はなく、現状では 抜歯の必要はないものと判断。

親知らず(智歯)について:
 智歯の存在意義とか抜歯の可否について問題になることが多いようですが、歯肉、または顎骨 内に完全埋伏した状態で臨床症状の全くないものは抜歯の対象になることはありません。 人類の進化過程において、20歳前後に遅れて萌出する智歯は別名第三大臼歯とも呼ばれ 文字通り第三の歯として活躍したものと思われます。直立歩行が可能となり、骨格系の変化 によりアゴの形と大きさが変ったことにより萌出余地の減少で正常方向への萌出が困難に なったことが伺われます。

考察:
 下顎の智歯は近心傾斜が多く、“水平埋伏智歯”になる可能性が高いようですが、上顎の智歯 は遠心または頬側方向への傾斜傾向が強いので“水平埋伏智歯”となるのが比較的稀なこと と思います。 私自身20年間の臨床経験の中で、これほど見事な“上顎水平埋伏智歯”を見たのはおそらく 初めてです。

感想:
 “アウストラロピテクス・ガルヒ”の新聞発表の日だったので、思わず感激!!


Topic No120
'99.7.4
どうして原因が分からなかったのかなぁ〜?

初診時 パノラマ 右側下顎臼歯部 Dental写真
智歯抜歯後アゴまで痛い!
34歳 男性
智歯周囲炎の波及

「親知らずを抜いたあと痛みがとまらないんです!」

初診時口腔内およびX線所見:
 口腔内清掃状態はやや不良。歯肉縁下歯石の沈着が著しく、全体に軽度な歯槽骨破壊が 認められ、特に上顎臼歯部の破壊は著明。
2か月前に右側下顎の水平埋伏智歯?を抜歯したそうであるが、抜歯後の治癒が悪いとのことで 洗浄を繰り返したものの症状は軽快せず、最近ではアゴまで痛くて夜も眠れないほどの痛みが あるとのことであった。抜歯部および7番周辺の歯肉は発赤しており、軽く触れても強い痛みが あった。
 レントゲン所見では、抜歯窩の陰影像とそれに続く陰影像が7番近心根に及んでいるのが 確認された。なお、7番の動揺度は3。

処置および経過:
 智歯周囲炎の波及に伴う7番の“上行性歯髄炎”の診断の下、同歯の抜髄を施行。 歯髄は半分壊死状態で、強い炎症症状があり抜髄にあたっては多量の麻酔を必要としたが、 何とか抜髄処置(即日根充)を終え経過を観察することとした。 次回来院時には、アゴまでの痛みは治まっていたが、7番周囲の歯肉の痛みが残っている とのことであったので、残存する歯肉縁下歯石を麻酔下で除去。以後経過良好。

考察:
 抜歯前の疼痛が智歯によるものか、7番の歯髄炎によるものか、或いは双方の合併であった かは今となっては知る由もない。しかし、レントゲン診査により、7番の根尖病巣様の像と 歯石の沈着に対して何らかの対応が可能であったのではないかと推測される。  また一方で、“下顎水平埋伏智歯”を放置しておくと、手前の歯を巻き添えにして結局2本の 歯を失うことになることを実証するような典型的な症例ともいえる。7番の存続は今後の経過を 見ないと何ともいえないが、疼痛の緩和を確認できた段階で、出来るだけ早い時期に反対側の 水平埋伏智歯も抜歯する予定です。

感想:
 この水平埋伏智歯を抜けるほどの腕があって、何故痛みの原因が特定できなかったのか 不思議です!!


Topic No146
'00.1.2
こんなに萠出方向が変わるものですかねぇ…

初診時 パノラマ 11年後 パノラマ
左右下顎智歯は正常萠出すると思われたが…
20歳 女性
左右とも水平埋伏智歯に変身

職業は衛生士。

初診時口腔内およびX線所見:
 職業柄、口腔内清掃状態は良好であったが、すでに無髄歯が6本あり過去の歯牙破壊の 遺産を引き継ぐような状態であった。
 上顎智歯は先天欠如であったが、下顎智歯は正常方向に萠出中。

処置および経過:
 若干のカリエス治療を行ったのち、下顎智歯は萠出を待って抜歯することを約束して治療を 終了。 以後年に1度程度のスケーリングを行い経過観察をするものの、智歯抜歯の機会がないままに 11年経過。出産・子育ての一段落したことと、左側智歯の違和感を感じるようになったという ことで抜歯を決意した来院。

考察:
 清掃状態が良好であったこともあり、11年間を無事経過したようですが、その間に何があっ たのか垂直方向に萠出していたはずの智歯が水平埋伏智歯に変身!?
 一卵性双生児の姉も同じような経過ですが、姉の場合は左側だけが水平に変身して、 右側はほぼ正常方向に萠出。

感想:
 他のも似たような症例を経験したこともありますが、これはお見事!


Topic No153
'00.2.20
親知らずの末路。

初診時 パノラマ 初診時 Dental写真
年齢の割には欠損歯数とカリエスが多い
27歳・男性
親知らずを早期に抜かなかったばかりに7番を道連れに抜歯

主訴は左下78部の疼痛。

初診時所見および処置:
 口腔内清掃状態は比較的不良で、カリエスの進行傾向は強そうであった。 比較的年齢が若いので、著明な歯槽骨吸収部位は認められないが、歯周疾患の進行傾向も 強そう。痛みの原因は左下7番の歯根膜炎と8番の歯髄炎と思われる。両歯牙ともに歯冠崩壊 が著しい。

処置および経過:
 7・8番ともに、保存不可能と診断し、即日抜歯。抜歯に際しては、6・7番のあいだに縦切開 を加え、手術野の確保を図った。

考察:
 今まで、何処の歯科医院でも抜歯の勧めが無かったとのことであるが、もっと早い段階で智歯 を抜歯していれば7番の抜歯は免れたものと思われる。

感想:
 「親知らずを抜かないで置いておくと、大切な7番まで巻き添えにしてダメになる」という言葉を 見事に証明したような症例でした。


親知らず 抜歯 親知らず 抜歯 親知らず 抜歯 親知らず 抜歯 親知らず 抜歯 親知らず 抜歯 親知らず 抜歯