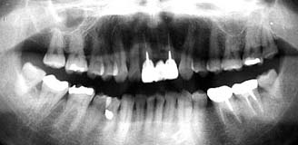
| 初診時パノラマ写真 | 10年後パノラマ写真 | 
![]()  | 
![]()  | 
| 44歳 男性 | 上顎は、抜髄・Fop・連結固定により最長16年機能。 | 
口腔内およびX線所見:
 口腔内清掃状態は不良で、残存する全ての歯に動揺が見られるが、特に上顎では
残存骨量1/3以下で重傷度の歯周疾患進行状況である。下顎の歯槽骨破壊は約1/2。
唾液がやけに粘っこく、“糸を引く状態”で治療するのも不快であったことが印象的。
処置および経過:
 初期治療終了後、主訴である6│57を抜歯してブリッジ装着。
3-│-3については、特に骨吸収進行が著明であったので 歯周外科処置を行った
のちにブリッジを装着した。
下顎に関しては、4321│7 を抜髄の上、321 を連結固定を行い一旦治療を終了した。
メインテナンスには応じないものの、1年に1回程度の来院が続き5年を経過したころ、
有髄のままブリッジを装着したF6D│の歯槽骨吸収が著明となり抜歯。
また、残る4-│-6についても骨吸収の進行が認められたので改めて歯周外科処置
(HAP使用)を行った。
1982年 3-│-3 抜髄→Fop→連結固定
1989年 4-│-6 抜髄→Fop+HAP→連結固定
そののち、現在に至るまで、1月に1度のメインテナンスを欠かすことなく継続中。全体に予後良好。
但し、'92年(初診より10年後)に│46、'97年(初診より15年後)に4-│-3を抜歯して
現在は総義歯装着。抜歯の原因は、過重負担による歯牙破折と脱離に伴う二次カリエスであった。
考察:
 欠損歯のない下顎が、初期治療とメインテナンスだけで16年間現状を維持し続けたのに対し、
治療は、初診時歯槽骨吸収が1/2以上あった上顎に集中している。
 私の経験上、手術をしなければならない歯(歯槽骨吸収が1/2以上)は、10年・15年が限界だと
思っています。しかし、これらの経験を踏まえてより積極的な治療を取り入れている今の治療はもう
少し延命効果が高いとは思いますが、結果が出るのは10年以上先の話しです。
 唾液の性状は、メインテナンスが着実に実行されだしたころから目立って“サラサラ”になって
います。唾液の性状が歯周疾患進行に影響するというふうにも言われていますが、歯周疾患の
状態(排膿の量)が粘調度影響しているように思われます。
感想:
 悪戦苦闘の末、力尽きて全てを失った上顎と、メインテナンスだけで歯周疾患進行を抑制できた
下顎の違いが浮き彫りにされた印象的な症例です。しかし、どうにもならない上顎を何とか保存
しようと試みた患者さんの情熱が今の下顎の状態を獲得したことを忘れてはならないと思います。
 
| 初診時 パノラマ | 10年後 パノラマ | 
![]()  | 
![]()  | 
| 年齢の割に歯周疾患進行は軽度 46歳 男性  | 
歯槽骨吸収の形跡はほとんど見あたらない | 
口腔内およびX線所見:
 口腔清掃状態は比較的良好で、カリエスは数カ所存在したがいずれも軽度であった。
また、歯槽骨は全体に軽度な吸収が認められるが、年齢の割には軽度であった。
処置および経過:
 主訴である左上7番と右下6番のカリエス治療終了と同時に来院が途絶え、2年間の空白期間の
のち再び来院。再来時、左右下顎の臼歯部の抜髄と補綴処置を行ったのちメインテナンスに移行
した。その後も小規模なカリエスを行ったものの順調に経過して現在に至る。
途中(初診より8年目)、「7は歯根破折により抜歯。
考察:
 50歳といえば、そろそろ歯槽膿漏の末期的状態の歯が目立ち始める年齢である。その50歳を挟ん
だ10年間に歯槽骨の吸収がほとんど見あたらないのは比較的稀な出来事といえる。
本症例では、元々歯周疾患進行傾向が低かったことと、継続したメインテナンスが幸いしたもの
と思われる。
感想:
 「7の抜歯は非常に残念なことですが、現状では歯根破折を免れることは非常に困難なことだと
思います。一方、歯周疾患の進行に関しては元々進行傾向が少なそうなので、10年間著変がないこと
が当たり前のようでもありますが、46〜56歳という年齢を考慮すると決して普通のことでは
ないように思っています。今後随時症例を掲載しますので比較して検討して下さい。
 
| 初診時 パノラマ | 15年後 パノラマ | 
![]()  | 
![]()  | 
| 52歳 男性 | わずかに歯槽骨吸収を認めるが経過良好 | 
口腔内およびX線所見:
 口腔内清掃状態は比較的良好で、「5のカリエス以外に治療を要するカリエスは見あたらない。
歯槽骨の吸収も比較的軽度で、年齢の割には骨植状態も良好。
処置および経過:
 「5:抜髄と補綴処置終了後、来院が途絶え、4年後に6」の“いわゆる上行性歯髄炎”
による口蓋側の腫脹を訴えて再来院。
6」根管治療と口蓋根ヘミセクションを行ったのち、今後2度と同じ間違いを繰り返さない
ためにメインテナンスの必要性を説明してメインテナンスに移行した。なお、この時
すでに若干の歯槽骨吸収進行が全体的に認められた。
 それ以降現在に至る約10年間、1か月毎のメインテナンスを継続中。
考察:
 メインテナンスを始める前と後では当然のことながら、歯槽骨吸収速度に変化がみられた
ことは言うまでもない。この変化の相異を統計的に示す試みも行ってはいるが、
症例数の問題や規格統一などの厚い壁にはばまれて結果を出すには多くの月日を要する
ものと思われる。
従って、現状では症例報告の段階であることをご理解いただきたいと存じます。
歯周疾患の進行が中程度以下の場合は、手術などの特別な処置を行わなくても。
メインテナンスだけでも十分な効果が得られると確信しています。
感想:
 50歳を過ぎてからの15年間でこの程度の変化であれば、生涯義歯になることはないと
思います。そのためには患者さんの意識とメインテナンスを継続する地道な努力が
もっとも有効な手段であることを強く訴えたい!!
 
| 初診時 パノラマ | 17年後 パノラマ | 
![]()  | 
![]()  | 
| 軽度の骨欠損が認められる 40歳 女性  | 
骨欠損に進行はほとんど認められない | 
初診時口腔内およびX線所見:
 清掃状態は比較的良好で、全体に軽度な歯槽骨の吸収を認める(年相応)。
カリエスも少なく、全体評価は“良”。
処置および経過:
 全顎の簡単なスケーリングを行い、主訴の智歯を抜歯したのち来院が途絶えたが、
4年後再び来院して以来、約8年間は年に1回のペースでメインテナンスを行った。
初診より12年経過した時点で多数のカリエス進行が認められ、「6抜髄を含む処置を行った
ことをきっかけに月に一度のメインテナンスを行うこととした。以来5年間
メインテナンス継続中。
考察:
 本症例は、口腔清掃状態が比較的良好で、歯周疾患進行傾向も比較的穏やかな症例であったと
思われる。初診以来の17年間を振り返ってみると、最初の12年間に3〜3の歯槽骨
吸収が進行しているのが印象的である。元来、進行傾向が穏やかそうな症例でも年に一度
程度ではやはり進行を止めることができないようである。
後半の5年間は、歯槽骨吸収がほとんど(全く?)認められないが、今後更なる追跡が必要と
思われる。
感想:
 メインテナンスの間隔はどの程度が適切かを知るうえで貴重な症例です。
月に1回しておけば無難ではありますが、年に1回では明らかに不足です。
 
| 初診時 パノラマ | 17年後 パノラマ | 
![]()  | 
![]()  | 
| 中程度〜重度の骨欠損が認められる 52歳 男性  | 
骨欠損に進行はほとんど認められない | 
初診時口腔内およびX線所見:
 清掃状態は不良で、全体に中程度〜重度の歯槽骨吸収を認める(年相応)。
特に│7遠心の骨吸収は著明で、抜歯を検討する程であった。
また、カリエスも随所に見られ、10年後には全ての歯が喪失する可能性があるように思われた。
処置および経過:
 │7の骨吸収は著明ではあったが、疼痛が治まったので抜歯を見送る反面、
76│は歯周外科処置(FOp)を施行。全体のカリエス治療を終えたのち、
1年に数度のメインテナンスに移行した。
 初診より7年を経過したころに、アパタイトに対する期待を込めて│67
部のFop+HAPを行い、以来10年間1か月毎のメインテナンスを継続中。
なお、右下の7番は、初診より11年後の入院中(肝臓疾患)に他院にて抜歯。
考察:
 初診当時、まさにこれから坂道を転げ落ちるような最悪の状態であったが、患者さんの
まじめな性格に救われた感じの症例である。欠かすことのないメインテナンスと、
ブラッシングに対する理解が歯槽骨破壊を抑制したものと思われる。
それにしても、カリエスの進行だけは全く抑制できていないようである。
76│67は、今後更なる追加処置を行う予定ではあるが長期保存は不可能なように
思われる。
感想:
 ほとんどの大臼歯の歯槽骨破壊が著明な中にあって、一番保存状態の良好であった
右下の7番を抜かれたのがとっても悔やまれる症例です。
 
| 初診時 パノラマ | 15年後 パノラマ | 
![]()  | 
![]()  | 
| 年齢の割に著明な骨欠損を認める 38歳 男性  | 
歯槽骨の吸収はほぼ停止した状態である | 
初診時口腔内およびX線所見:
 楔状欠損の存在にも表されるように、本人にも歯周疾患に対する危機感もあり清掃状態は
比較的良好であった。レントゲン所見では、全体に中程度の骨欠損を認め、特に下顎前歯部に
おいては1/2以上の骨欠損があり年齢(38歳)の割には歯周疾患進行程度が重症であった。
処置および経過:
 主訴の歯および、|8の抜歯を行ったのち5年間の空白期間を経て、左右臼歯部の
不良補綴物の再製治療を行いメインテナンスに移行。
メインテナンス期間は、本人の希望により3ヵ月毎とし、以後10年間継続中。
考察:
 初診時の歯槽骨吸収程度から推測すると、50歳を超える頃には保存不可能な歯が多く出現
することが予想される。元来ブラッシングは熱心であったことも含めて、3ヵ月に一度の
メインテナンスでも十分骨レベルの維持が可能であることを裏付ける貴重な症例だと思います。
ただし!! "3ヵ月毎"を几帳面に守れることが大前提です。
人間の行動パターンから考察すると、3ヵ月に一度はどうしても習慣になり難いように思います。
実際に3ヵ月毎のメインテナンスを10年間以上続けた方はほとんど皆無です。
感想:
 初診時までの骨吸収速度からみて、それ以降15年間の骨吸収量は有意の差があるように
思います。レントゲンを見て思わず満足!!
 
| 初診時 パノラマ | 10年後 パノラマ | 
![]()  | 
![]()  | 
| 年齢の割に歯槽骨吸収程度は軽度 47歳 男性  | 
歯槽骨吸収の進行はほとんど認められない | 
初診時口腔内およびX線所見:
 歯牙全体に咬耗が認められ、色彩はやや茶色。カリエスは少なく、清掃状態・歯肉状態伴に良好。
エックス線所見でも歯槽骨の吸収はほとんど認められない。
処置および経過:
 主訴の「6根管治療と若干のカリエス治療を行い、メインテナンス(定期的な徐石)の重要性を
説明して治療を終了。
その後、遠隔地への単身赴任したこともあって1年に1度程度の来院を10年間継続。
毎回、スケーリングおよびカリエス治療を行ってはいるが、10年を経過しているが口腔内の
健康は十分保持できている。
考察:
 日本歯科医師会も、1年に1〜2回程度の定期健診を推奨していますが、それで十分な
健康状態を保てる人は稀(1割程度?)だと実感しています。歯周疾患の進行が特に著明に
現れる50才代の10年間をほとんど変化なく過ごせる人は、歯周疾患進行要素が元々低い
ごく一部の人だけだと思いますが、そのような患者さんにめぐりあうことはもっと稀なことです。
感想:
 月に1度のスケーリングを、日ごろやかましく訴えていますがこんな症例もあることを再確認。
 
| 初診時 パノラマ | 16年後 パノラマ | 
![]()  | 
![]()  | 
| 上顎臼歯部と下顎前歯部に重度骨吸収 61歳 男性  | 
歯槽骨吸収の進行はほとんど認められない 77歳  | 
初診時口腔内およびX線所見:
 清掃状態は不良で随所にカリエスや排膿が認められるが、年齢の割に残存歯数は多く健康そう
であった。歯槽骨の吸収程度は、約10年若く全体に中程度であったが、上顎臼歯部と下顎前歯部に
重度骨吸収がみとめられた。
処置および経過:
 一連のカリエス治療終了後、2年のブランクを経て来院された際に上顎右側臼歯部のFop。
更に、2年毎に来院され、初診より7年後に下顎1.1の抜歯と3〜3のFopを施行。
その後も半年 or 1年のブランクをはさみつつも基本的にはメインテナンスを継続して現在に
至る。
考察:
 老人特有の重症な歯頚部カリエスにより再三の追加処置を行なった結果、補綴物の
増加が目立つものの歯槽骨の大きな変化は認められない。
来院当初と比較すると随分改善が見られたとはいえ、未だに清掃状態は十分とはいえない。
「清掃状態の改善よりも、メインテナンスの継続」を強く意識させる症例です。
感想:
 重度の歯周疾患進行が抑制できたのだからブラッシングには目をつぶっています。
 
| 初診時 パノラマ | 10年後 パノラマ | 
![]()  | 
![]()  | 
| 全体に中〜重度の骨吸収を認める(年齢相応) 54歳 男性  | 
10年経って|5〜8は良好とは言えないが機能中 | 
初診時口腔内およびX線所見:
 50歳を過ぎて歯の数は親知らずを含む全てが残存しているものの、清掃状態は悪く全体に
中程度以上の歯槽骨吸収が認められた.
主訴の|678は垂直方向の動揺があり、まさにこれから坂道を転がり落ちる勢いで
順次歯牙喪失が起こりそうな状況であった。
処置および経過:
 歯周疾患初期治療と並行して、|45678の抜髄および歯周外科処置(Fop+HAP)を
行い、補綴物による連結固定を施した。一方、右下6番に対しては、根管治療と同時に保存不可能な
遠心舌側根をヘミセクションして症状の改善を試みた。
 それ以外の部位については、歯周外科処置を見送った代わりに徹底したスケーリングと
管理を強く約束してメインテナンスに移行。以後10年、若干の追加処置を行いながら現在に
至る。
考察:
 仕事の関係上、時折数ヵ月程度の空白期間を挟み、その都度歯肉の腫脹を繰り返しつつも
基本的には継続した管理の下に10年間を経過した症例である。
初診時の歯周疾患進行傾向を考えると、とりあえず1本の歯も失うことのなかったことは
本人のみならず同様の状況におかれた方々に大きな勇気をもたらす症例だと思われる。
感想:
 初診時、奥歯を抜いて入れ歯にしていたら、歯牙保存の重要性を理解しないまま
ずるずると抜歯を繰り返し、今ごろはほとんど総入れ歯だろうなとつくづく思う症例でした。
 
| 初診時 パノラマ | 13年後 パノラマ | 
![]()  | 
![]()  | 
| 歯肉縁下歯石の沈着が著明 21歳 女性  | 
歯周疾患の進行はほとんど認められない | 
初診時口腔内およびX線所見:
 2年前に歯槽膿漏の手術(歯石除去程度)をしたという割には歯石の沈着が著明で、
口腔内清掃状態も悪い。全体に歯槽骨吸収傾向が認められるが、特に右下小臼歯部の
骨破壊は著しく挺出と動揺が認められた。
処置および経過:
 歯周初期治療終了後、右下4番は抜髄の上Fop+HAP施行。以後13年間、結婚による
多少のブランクを挟んで現在もメインテナンス継続中。
最近になって、手術部に埋入したハイドロキシ・アパタイトの感染によると思われる腫脹が
認められるようになったが、それ以外の部位においては歯槽骨および歯肉の状態は良好。
考察:
 私自身、典型的な“若年性歯周疾患”にお目にかかったことがありません。本症例を含めて、
20歳前後で歯槽骨破壊の認められる症例は数例ありますが、将来の危惧を徹底的に説明して
月に一度のプロフェッショナル・トゥースクリーニングを実行しています。
そのせいか、メインテナンスを継続した患者さんの中には、30代前半に見られる極端な
歯槽骨破壊を経験していません。おそらく、“月に一度のプロフェッショナル・トゥースクリーニング”
の効果だと推測しています。
感想:
 兄弟・家族ともに歯周疾患進行傾向の強い家系だけれども、妹だけ放っとけば効果が
ハッキリするけど…そういう訳にもいかず・・・・・。
 
| 初診時 Dental写真 | 10年後 Dental写真 | 
![]()  | 
![]()  | 
| 未だ若いのに骨吸収著明 42歳 男性  | 
歯槽骨吸収抑制 | 
初診時口腔内およびX線所見:
 清掃状態は悪く、歯肉縁下歯石の沈着が著しい。全体に中程度以上の歯槽骨吸収が認められ、
特に下顎前歯部は骨吸収が著しく重度以上で抜歯の適応症ともいえる状態でした。
処置および経過:
 初期治療終了後、下顎2〜2を抜髄した上でFop(骨補填材使用)、および補綴物による
連結固定を施行。下顎前歯部以外の部位については、状況の変化に伴い順次外科的処置を
行う予定でメインテナンスに移行。
術後は月に一度のプロフェッショナル・トゥースクリーニングを主体にメインテナンスを行い
約10年を経過。メインテナンス期間を通して、徹底したブラッシング指導を行わなかった割には
歯肉および清掃状態は良好です。また初診時以降、歯槽骨吸収はほとんど停止し、
当初予定していた追加手術を行う機会がないままに良好な予後を観察しています。
考察:
 初診時のアタッチメントロスが5.2mm。20歳時に正常と考えて、この患者さんのナチュラルヒストリー
は0.24mm/Yであったと考えられます。それから10年を経過した時点のアタッチメントロスは
4.6mmですので、メインテナンス期間中に0.06mm/Yの骨量増加があったことになります。
実際には、骨補填材(ハイドロキシアパタイト)を使用していますので手術部位以外では増減が
なかったものと推測されます。
明らかに歯周疾患進行傾向の強かった症例でも、本症例のように特別な処置を行うことなく
継続したメインテナンスだけで進行を抑制することが可能です。
感想:
 まず一番に“真面目な患者さん!”10年間一度もメインテナンスをさぼったことがない!!
この努力が報われましたね。
 
| 初診時 パノラマ | 17年後 パノラマ | 
![]()  | 
![]()  | 
| 歯槽骨吸収は中程度〜重度 44歳 男性  | 
若干の進行を認めるが抑制効果抜群 | 
初診時口腔内およびX線所見:
  初診当初より歯周疾患進行傾向が強く、下顎は中程度の骨吸収であったが、上顎は全体に
重度ないしは末期状態で清掃状態も不良であった。
処置および経過:
 歯周疾患初期治療終了後、1|の抜歯と上顎前歯部の補綴処置を行い治療を終了。
4年後、上顎左右6・6の動揺を訴えて来院されたことを機会に両側臼歯部にFop+HAPを
施行し補綴物による連結固定を行った。
 以後若干の追加処置を行いながら10数年間メインテナンスを継続中。
考察:
 
 初診時(44歳)のアタッチメントロスが平均約3mm、17年後が約3.2mm。25歳の頃が正常
だったと考えても、それまでの骨破壊が 0.16mm/Y。それ以降の破壊が 0.01mm/Y。
パノラマを基準にしたアバウトな数字ではあるが、間違いなく歯槽骨の吸収速度を抑制した
ことが明らかな症例です。
 おまけに、初診時完全に埋伏していた3|が萠出してきたので、今後補綴処置を
行う際には重要な戦力と期待されます。また今にも抜けそうだった2|の健闘も
特筆ものだと思います。
感想:
 これだけ保存できれば、患者さんともども納得!!!
P.S:この症例はNo.132と同一症例です。
 

日常の臨床で感動したこと・腹の立ったこと…患者さんに言えないこと…
自慢や非難と誤解しないで
下さい。自らのレベル向上の糧となることを願います。