このコーナーが身近な体験として、日常臨床に役立つことを願います。

トピックス

トピックス   上顎洞炎

Topic No.48
'98.2.15
患者の訴えを鵜呑みにしてはいけない!!
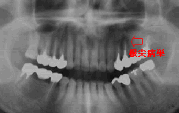
32歳 女性 │567Dental写真
再診時パノラマ 上顎洞には炎症像が…?

「今度は左の奥歯が急に痛み出しました。神経を取って下さい!!」とつい先日来院された患者さんの訴え。

口腔内およびX線所見:
 口腔清掃状態も良好で、特に問題となりそうな部位のない患者さんであったが、初診時5│ の二次カリエスによる歯髄炎を訴えて来院。その1週間後の出来事でした。
5│の疼痛が治まった直後に左側が痛いとの訴えである。│567全てに打診痛が、 また歯頚部寄りの歯肉に圧痛が認められた。│5隣接面にはカリエスが存在するものの │67には特に異常はない。X線的にも異常はなく、隣接面歯肉にわずかな腫脹が認められた ので│567の歯肉炎に伴う疼痛と診断。

処置および経過:
 │567のスケーリングを行い、抗生物質を投与して様子をみることとしたが、その日の 夕方「痛みが治まらない」との電話が入った。原因の特定が曖昧なだけにこちらもやや不安の 残る電話であった。
投薬が切れる5日後、薬が無くなるのを待っていたように「右と同じように 早く何とかしてください」と来院。患者さんの訴えに押し切られるように│5の 抜髄を行いその日はお引き取り願った。翌日再び痛みが治まらないと来院されたが、明らかに 信頼関係を失った表情が読みとれた。辛抱のない人だなぁと思いながらも気をとりなおして 痛みの経過と種類・部位を細かくチェック。よくよく確認するとどうも痛みの中心は│567 根尖部の更に上、上顎洞付近であった。レントゲンを撮り直して早速知り合いの耳鼻科の先生に 電話で相談した。
「上顎洞に炎症があればレントゲンで白く確認できるはずですが…」
「今撮ったレントゲンではそれが確認できないのですが、痛みの場所が上顎洞なので一度診て いただけませんか」
とこんな会話のあと早速耳鼻科に行くことをさとした。

考察:
 1時間後に、耳鼻科からやはり上顎洞に炎症があり耳鼻科的治療を行うとの連絡が入り安堵の 胸をなでおろす感じでした。右側の歯髄炎や左側の歯肉炎・カリエスの存在と伴に患者さんの 訴えに翻弄された感じの診療であった。過去にも上顎洞炎は幾度か経験しており、決して 今回が初めてのケースではない。にもかかわらず即座に正確な診断ができなかったことに 反省・反省。

感想:
 この手の原因不明の痛みはほとんど歯肉の炎症ですが、案外2〜3年に1度くらいの割合で 上顎洞炎に遭遇します。正確に診断できれば患者さんの強い信頼が得られる反面、診断できないと 信頼を全く失う要注意な疾患だと思います。


Topic No.49
'98.2.22
これも上顎洞炎!

59歳 男性 │567Dental写真
初診時パノラマ・確かに左側の上顎洞が白く見える。 上顎洞には炎症像が…?

「昨日、左の目の下まで腫れまして…」と初期治療中の患者さんの訴え。

所見および診断:
 初診時の主訴は、右側上顎臼歯部の動揺。全体に歯周疾患進行が著明で、特に76│の 歯槽骨破壊が著しくほとんど保存不可能な状態であった。 カリエス等の歯牙疾患は軽度である反面、全体に歯石の沈着が著しく歯肉の炎症と歯槽骨破壊が 認められる。
76│は抜髄の上、連結固定を行うかたわら、他の部位に対して歯周外科処置を前提としない 歯周初期治療を行い歯肉の状態が安定した直後の訴えであった。 歯肉の状態が良好であったこと・当該部位に根尖病巣等歯牙由来の炎症像が認められないこと、 また触診により圧痛部位が│6根尖部より上顎洞寄りであったことと、「目の下まで腫れた」 とのことから“上顎洞炎”と診断。

処置および経過:
早速知り合いの耳鼻科の先生に電話で相談の上、耳鼻科での治療を勧めた。
「レントゲンで左側上顎洞に白濁が認められました。排膿はほとんどありませんがしばらく こちらで預からせていただきます。」と耳鼻科の先生から報告を頂き一件落着?

考察:
 初診時のパノラマでも、左側上顎洞の白濁は確認できる。しかし、患者の訴えがあるまでは 全く気にも留めない存在であった。 主訴にないことまで我々がとやかく言う問題ではないと思うし、ましてや他科の領域でもあるので こちらからあえて問題提起すべきことではない。しかし、腫脹や疼痛の訴えがあった時には、 領域を超えて診断すべきであることを再確認した症例である。

感想:
 季節のせいかやけに上顎洞炎の多い1週間でした。今回は即座の診断が可能だったことには 十分満足していますが、実はもう1件“明らかに上顎洞炎”と思われる症例がありました。 その患者さんは、知り合いの耳鼻科があるのでそちらに受診されるということで別の耳鼻科に 行っていただきましたが、結果は「NO」。???
絶対の自信があるだけに今後の展開が気がかりです。


Topic No.53
'98.3.22
上顎洞粘膜の炎症

頭部X線写真 パノラマX線写真
49歳 女性 │5に古くから根尖病巣が存在するが拡大傾向はない

「目の下まで痛くって!!」との訴え。

口腔内およびX線所見:
 清掃状態は比較的良好で歯肉等の炎症症状は認められない。 │5には古くから根尖病巣が存在するが拡大傾向はなく、圧痛その他炎症症状は認められない。 齦頬移行部付近に強い圧痛が認められたので“上顎洞炎”を疑い耳鼻科での精査を勧めたが 蓄膿はないとの回答であった。

処置および経過:
 改めて、スケーリングと精査を行ったが、特に異常が認められないので再び他の耳鼻科に診査を 依頼して患者さんに行っていただいたところ「レントゲンは角度によって異なる所見が見られる。 また、蓄膿はないものの上顎洞粘膜に炎症症状が認められましたので消炎処置を行いました。」 との回答であった。 発症後1か月経過した現在疼痛は治まり経過は良好。

考察:
 │5が影響したかどうかは現在も不明で、抗生剤投与による症状の緩和であろうと推測 される。

感想:
 何か、未だにスッキリしない症例です。


Topic No157
'00.3.19
季節柄…上顎洞炎

初診時 パノラマ 初診時 パノラマ
|45部に隣接面カリエス存在、それ以外異常なし
21歳 男性
左側上顎洞部が白濁

「左上の奥歯が、走ると響きます」

初診時口腔内およびX線所見:
 清掃状態は不良で、全体にプラークや縁上歯石の沈着が認められる。|67の 咬合痛を訴え、打診痛(+)ではあるが、レントゲン診査では歯根膜炎や根尖病巣様の像は 認められない。また、|45隣接面にカリエスが存在するが、同歯牙には臨床症状は 存在しない。
 レントゲン上、左側上顎洞の白濁が認められる。

処置および経過:
 歯石沈着に伴う歯肉炎による可能性もあるので、全体の歯石除去を行い、|45部 歯髄炎の有無確認を含めてカリエス治療を施行。歯科的には問題がないことを確かめた上で、 上顎洞炎(副鼻腔炎)の疑いで耳鼻科を紹介。
 1週間後、“副鼻腔炎”の診断にて処置を行った結果、症状は軽快したとのことであった。

考察:
 “走ると響く”という訴えに対しては、当該歯の根尖病巣が原因であることが多い。 本症例では、根管治療の形跡が全くなく、他に疑うべき疾患が存在しなかった上、歯科用 レントゲンにも異常が認められたので、容易に上顎洞炎の診断がついた。

感想:
 予想的中で上機嫌です。


歯科治療 歯痛 歯科治療 歯痛 歯科治療 歯痛 歯科治療 歯痛 歯科治療 歯痛 歯科治療 歯痛 歯科治療 歯痛