このコーナーが身近な体験として、日常臨床に役立つことを願います。

歯髄炎

トピックス 上行性歯髄炎

Topic No.10
'97.5.18
上行性歯髄炎??
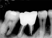
40歳・男性 1年後
歯髄炎 歯髄炎
│6根管治療時 │4急激な骨破壊が認められる

既往歴:
初診は '83年(27歳)で、当時から臼歯部の歯槽骨破壊が認められ、歯周疾患進行傾向の高いことが 推測された。手術を含む歯周疾患治療の必要性を再三説明したにも関わらず、患者さんの理解を得る ことができなかった。'96年再来時までの13年間に3度程来院しているが、いずれも主訴に対する 治療とスケーリングを行っただけである。
 '96年来院時に、上顎左右の臼歯を失うに至りようやく歯周疾患治療の必要性を認識し、 手術を行わないことを前提に歯周疾患治療を同意した。 以来、1年間症状も安定し順調にコントロールできたかのように思われていたが、突如、│4 の動揺を訴えて来院。レントゲン診査の結果、同部の急激な骨破壊を認めた。

処置および経過:
│4の歯髄は壊死状態で、いわゆる“上行性歯髄炎”と診断され、抜髄ののち、 │456の連結固定を行う予定である。

感想:
歯周疾患の進行が根尖部に至り、根尖部から歯髄組織を破壊すると一般に考えられている (いわゆる“上行性歯髄炎”)。
私は多くの症例を介して、このシナリオに対して疑問を感じています。歯周疾患進行に伴って 発症する象牙質知覚過敏症。→象牙質知覚過敏症の本質は、歯髄の炎症。→歯髄の炎症は歯髄の 壊死・壊疽をもたらし根尖病巣を造る。→根尖病巣は拡大して歯周疾患による骨破壊と交通する。
これが私の考えるシナリオです。この件に関しては、今後もこのコーナーで取り上げて 追跡していく予定です。


Topic No.31
'97.10.19
いわゆる上行性歯髄炎  

42歳 男性 │4 2か月後 │4 治療終了後1年 │4 抜去歯
歯髄炎 歯髄炎 歯髄炎 歯髄炎
│4初診時Dental写真 各種治療の結果知覚過敏は消退 │4の動揺と疼痛を訴えて来院 歯槽骨吸収が著明で保存不可能

「少し歯が滲みるようになりましたので…」と来院。

初診時口腔内所見:
 全体に清掃状態は良好で、カリエスもなく、年齢の割に歯が白く一見健康そうな感じである。 レントゲン診査の結果、歯槽骨の吸収が著しく、特に主訴の│4部の骨吸収進行は著明。

処置および経過:
 │4部象牙質知覚過敏症と診断し、歯周疾患初期治療と並行し、咬合調整を始め 各種知覚過敏処置施行。2カ月間の加療の結果、症状の改善が認められ、メインテナンスを 約束して治療終了した。しかし、その後来院が途絶え、再び1年後に│4の疼痛を 訴えて来院。│4の動揺は著明で、特に舌側の盲嚢は根尖に至る状態で保存不可能と 判断して抜歯。

考察:
 再来時の所見からは、“上行性歯髄炎”と診断されることが多いと思う。しかし、1年前の治療 を振り返って見ると、各種治療を繰り返し、いっこうに症状が改善されないうちに、突如知覚過敏 症状が消失した経緯を考えると、その時点で末期的歯髄炎が歯髄壊死に陥ったものと推測される。 その時点で、患者・術者ともに胸をなでおろし1年間経過している間に、歯髄壊死から歯髄壊疽、 さらに根尖病巣・根尖病巣の拡大へと進展したように思われる。

感想:
 “炎症”は定義上、細菌の関与が必須と思われるが、細菌は外部からの侵入ばかりでなく生体内にも 存在すると考えた方が妥当ではないでしょうか。ただ、その細菌が炎症を起こす為には、、局所の アレルギー反応が介在すると思われる。
 炎症の存在を外部からの細菌侵入の一点張りで考える姿勢に問題はないでしょうか?


日付、時間:Mon Oct 20 20:30:10 Japan 1997 発信地:埼玉   氏名: 浅野威   職業:歯科医   年齢:44歳   性別:male  

ご意見・ご感想:
色々治療をして症状が急に軽快した時は、歯髄壊死(壊疽)を疑うより、治療が成功したと思ってしまいます。10/12の症例も、今回のもかなり考えさせられました。歯の治療は、時間が経ってから 良くなった(これは成功) 腫れた、または痛くなった(これは失敗)結果が出るので気持ちを引き締めて治療に当たらねばという事です。毎週の症例ありがとうございます。


Topic No.32
'97.10.26
上行性歯髄炎???  
43歳 男性 2」 治療中Dental写真
歯髄炎 歯髄炎
初診時 パノラマ 32」は歯髄壊死の状態

「歯が少しグラついて、痛くて咬めません。」と訴えて来院。

初診時口腔内所見および治療歴:
 年齢の割に歯槽骨の吸収が著明で、清掃状態はやや不良。歯周疾患進行に伴い、抜歯を繰り返した 結果、臼歯部の支持喪失。主訴の32」には、特にカリエスはなく、盲嚢の最大値は伴に4mm(舌側)。

処置および経過:
 初診当日は、咬合性外傷とP急性発作を疑い、咬合調整と除石および消炎処置を行い約1週間 経過を観察したが、症状の改善が認められなかった。盲嚢と根尖部との交通は認められなかったものの 2」根尖部にわずかな歯根膜の拡大が認められたので32」伴に抜髄することとした。 抜髄時の所見から、32」歯髄壊死と判断。

考察:
 来院の1か月程まえから当該歯の知覚過敏を感じていたとのことから、歯周疾患進行に伴う 象牙質知覚過敏症があったものと思われる。軽度な象牙質知覚過敏症は各種治療により回復が 可能であるが、末期的な歯髄炎を起こしたものは回復の可能性はない。

 上行性歯髄炎は、「歯周組織の炎症が根尖部に波及し、根尖部組織を破壊した結果歯髄を壊死に導く」 とされている。しかし、私の経験では、歯周組織の炎症が根尖部に波及する前に、歯髄が壊死に 陥り(末期的象牙質知覚過敏症)、その後、根尖病巣を形成し歯周疾患による骨吸収と交通する ケースが多いように思われる。

感想:
 カリエスや、カリエス治療経験のない綺麗な歯で、打撲などの外傷経験のない歯の歯髄壊死、 または、根尖病巣って案外多いように思います。なぜこんなことになったのかを考える以前に、 根管治療を行えば良好な経過が得られるので結構見過ごしているのだろうと思います。


日付、時間:Wed Oct 29 16:06:37 Japan 1997    発信地:埼玉   氏名: 浅野威   職業:歯科医   年齢:44歳   性別:male  

ご意見・ご感想:
カリエスの無い歯を診断するのは、実に難しいですね。痛みから早く解放してあげたいと 思うのですが・・・。「歯」が痛いと訴えている時、無傷の歯だとやはり躊躇します隣にインレーや クラウンがあるとよけい考えてしまいます。

毎週大変だと思います。有難うございました


Topic No.68
'98.7.5
上行性歯髄炎の正体!!?
初診時 Dental写真 4年後 Dental写真
歯髄炎 歯髄炎
69歳 男性 │5カリエス等による実質欠損は見あたらない

主訴は上顎前歯部の疼痛と補綴希望

口腔内およびX線所見:
 年齢の割には歯周疾患の進行は比較的軽度であるが、カリエスと根管治療の不備により 随所に根尖病巣が認められた。清掃状態はやや不良であったが、歯科治療に対する 理解が深く、全顎の治療とメインテナンスを希望。

処置および経過:
 根管治療と歯周初期治療を並行して行い、補綴処置→メインテナンスへと順調に移行した。 その後、順調に推移したものと思われたが、│5根尖部の腫脹を主訴に再び来院。 │5は直ちに根管処置を行い症状は回復した。処置時の所見として、歯髄の壊疽は 確認されたが、歯髄壊疽の原因となるような実質欠損は一切見あたらなかった。 問診により1年程前から同部の知覚過敏症状があり、半年程前をピークにその後症状は消失し ていたことが確認された。

考察:
 カリエスを伴わない歯の知覚過敏は通常、歯周疾患進行に伴う象牙質知覚過敏症と診断 される。また、上行性歯髄炎は歯周疾患の進行が根尖部に到達した結果、根尖側歯髄より 壊死状態に陥ると解釈されているようである。  しかし、実際には本症例のように歯周疾患の進行が根尖部に到達していることが確認できない 症例では原因不明の歯根嚢胞として片づけられているのが現状ではなかろうか。私は、この 原因不明の歯根嚢胞こそが“いわゆる上行性歯髄炎”の正体ではないかと推測している。 つまり、歯周疾患進行にともなう様々な刺激が歯髄に炎症を引き起こし(象牙質知覚過敏症)、 ついには歯髄壊死となり根尖病巣を惹起するのではと推測するのである。

感想:
 歯周疾患進行の原因を特定する上で重要な鍵を秘めた上行性歯髄炎ですが、色々な解釈がありま すので1つの症例だけでは多くを語ることができません。今後も症例の蓄積に努力いたします。


Topic No.83
'98.10.18
上行性歯髄炎…歯髄壊死→根尖病巣

初診時 パノラマ Dentaおよび口腔内写真
歯髄炎 歯髄炎歯髄炎
歯牙および歯槽骨の破壊が著明
53歳 女性
根尖病巣と歯周疾患との交通は認められない

主訴は、歯槽膿漏の治療希望。

初診時口腔内およびX線所見:
 全体に歯槽骨の破壊が著しく、特に上顎においては臼歯部の咬合支持の崩壊にともなって前歯部 の前突傾向が著明である。
 |1は、歯周疾患進行にともなう歯髄壊死(いわゆる上行性歯髄炎)により褐色に 変色しているのが認められる。また、歯髄壊死にともなう根尖病巣が存在するものの、周囲骨破壊 部分との交通は認められない。

処置および経過:
 下顎の智歯および上顎の|457は抜歯することとし、上顎残存歯全てを根管治療のうえ 歯周外科処置を行い連結固定することとした。

考察:
 歯周疾患進行にともなう知覚過敏(象牙質知覚過敏)は多くの臨床家の知るところであるが そのメカニズムは明確に示されていない。また、上行性歯髄炎については、歯槽骨の破壊が 根尖部に至り根尖側から歯髄の破壊を招くと認識されていが、臨床上骨破壊が根尖に至ら ない症例も数多くみられます。
 歯周疾患進行部分の歯根象牙質の変質(肉眼的変化はないがカリエスによる変質と同様) により歯髄が炎症を起こしたものが象牙質知覚過敏であると私は考えています。 歯髄の炎症はやがて歯髄壊死→壊疽と進展してやがて根尖病巣を形成します。それが 歯周疾患による骨破壊部分と交通していわゆるエンドペリオの状態になる のではないかと想像しています。

感想:
 象牙質知覚過敏と上行性歯髄炎発生のメカニズムに異論を唱える私にとって、貴重な証拠 となる症例との遭遇に感激!!


Topic No131
'99.9.19
上行性歯髄炎の進行過程発見!!?

初診時 Dental写真 5年後 Dental写真 9年後 Dental写真 9年後 口腔内l写真
歯髄炎 歯髄炎 歯髄炎 歯髄炎
歯槽骨吸収程度は年相応
53歳 女性
知覚過敏を盛んに訴えた時期
おそらくこの時歯髄壊死
動揺と咬合痛を訴える
明らかな根尖病巣出現
カリエスや打撲の既往なし

主訴は、6|の知覚過敏。

初診時口腔内およびX線所見:
 清掃状態は比較的良好で、随所に歯肉縁下歯石の沈着が認められたが年齢の割に歯槽骨の 破壊は軽度であった。ただし、下顎前歯部の骨吸収は初診当初より著しく 1/2 程度であった。

処置および経過:
 歯周疾患初期治療と平行してカリエスおよび欠損補綴を行いメインテナンスに移行。 その後、約10年間メインテナンスを継続しており、全般的には経過良好で歯槽骨吸収も完全に抑制 されている。
 下顎前歯部に関しては、メインテナンス2年目頃よりたびたび知覚過敏症状を訴えており、 その都度薬物塗布などの処置をおこなっていたが、5年目頃を境に知覚過敏症状は消失。 そして9年後の現在、同部の動揺と咬合痛を訴えたのでレントゲンを撮影した。 右下1番に明らかな根尖病巣が確認され、歯髄がかなり以前から壊死状態であったことが推察 された。なお診査の結果、根尖に至る歯槽骨の破壊はないものと思われる。

考察:
 上行性歯髄炎に関しては、「歯周疾患(歯槽骨破壊)が根尖に至って根尖部の歯髄神経に炎症 が起こって神経を壊死させる」と一般的に解釈されているが私はそうは思わない。  歯周疾患進行に伴って発生する象牙質知覚過敏。この象牙 質知覚過敏自体が歯髄の炎症であって重篤な場合には歯髄壊死に至ると考えられる。壊死した 歯髄は歯髄壊疽となり当然のように生体にとって異物と認識されることになり、その結果根尖部 に病巣を作りやがては歯肉縁から進行してきた歯周疾患による骨破壊と交通すると推測する。

感想:
 歯周疾患の原因を解明する上で、象牙質知覚過敏、上行性歯髄炎、根尖病巣の成因、骨の破壊、 骨の再生のメカニズム解明が重要と考えています。現状の歯科界では、それぞれにその場しのぎの 適当な解釈を加えて半ば納得しているようですが、筋の通った理論がないと思います。


Topic No132
'99.9.26
上行性歯髄炎の正体!?

初診時 パノラマより抜粋 14年後 Dental写真 14年後 口腔内写真
歯髄炎 歯髄炎 歯髄炎
歯周疾患進行傾向が強い
47歳 男性
骨吸収は抑制されている 「1遠心より排膿

「2日前から急に痛くなりました。」と10数年メインテナンスを継続している患者さん

初診時口腔内およびX線所見:
 初診当初より歯周疾患進行傾向が強く、下顎は中程度の骨吸収であったが、上顎は全体に 重度ないしは末期状態で清掃状態も不良であった。

処置および経過:
 歯周疾患初期治療終了後、上顎の1|の抜歯と左右臼歯部のFop+HAPを施行し 補綴物による連結固定を行った。
初期の頃に多少のブランクはあったが、10年くらい前からは月一回のメインテナンスを継続中。 歯周疾患の進行は大幅に抑制されていたが、何の前触れもなく「1の歯髄炎を起こしての 来院であった。来院当日は歯牙の動揺と強い打診痛を認めたが排膿は認められなかった。 仕事の関係で抗生剤および鎮痛剤を投与して翌日抜髄することとした。

考察:
 “夜も寝れない程の痛み→歯髄炎末期”が起こって、根尖に波及した炎症が辺縁部からの 排膿を惹起した典型的な症例だと思います。 毎月のメインテナンスを通して、辺縁部からの骨吸収は観察されていないことからの推測です。 また、長年(計17年間)の歯槽骨の安定状態からみても、急激な骨破壊が起こって歯髄炎を起こ したとみるより、歯髄炎を起こしてから急激な骨破壊が起こったと見る方が自然だと思います。

感想:
 「歯槽骨の破壊が先か、歯髄の炎症が先か」いわゆる“上行性歯髄炎”と呼ばれる現象を 解明する貴重な手がかりとなり得る貴重な症例続出!!

P.S:この症例はNo.133と同一症例です。

Topic No134
'99.10.10
これでも根尖部からの歯髄壊死(いわゆる上行性歯髄炎症)は起こらない! …これは私の症例ではありませんが…

術前 Dental写真 臨在歯抜歯 Dental写真 術後11年 Dental写真
歯髄炎 歯髄炎 歯髄炎
根尖部に及ぶ骨透過像が認められる
55歳 男性
7番はEPT(+)…歯髄は活きている
6番の炎症波及と診断
7番は生活歯のまま歯槽骨を再生

歯髄生存・歯槽骨再生の可能性と限界を語る貴重な症例

解説:上行性歯髄炎について
 7番近心の歯槽骨破壊の原因は、7番の歯周疾患進行に伴う炎症と6番の炎症波及によって 引き起こされたものと思われる。

 口腔外科領域で根尖部を巻き込んだ腫瘍や嚢胞を摘出する際、必ず歯髄の生死を判定して 歯牙保存を図ることが常識です。この事実も「例え炎症が根尖部に波及しても歯髄を壊死させる とは限らない」ことを物語っています。
 上行性歯髄炎症は、「歯周疾患が根尖部に到達した時点で根尖部の歯髄神経を破壊 して神経を壊死させる」と考えられていますが、この症例をみる限り炎症(骨破壊)が根尖部に 到達しても歯髄は必ずしも破壊されないのではないでしょうか。

 “ムシ歯もない”“打撲もない”発生原因の不明な歯髄壊死を“上行性歯髄炎”という 考え方で解決を計っている現状に大きな疑問を持たざるを得ません。それは、歯周疾患進行 に伴って発生する象牙質知覚過敏により死に至った歯髄を多く経験しているからです。
このトピックスで取り上げた多くの症例をみる限り、“歯髄の死”は根尖に至る炎症の存在以前に 発生する可能性が高いことが示唆されています。
 “象牙質知覚過敏症”が起こった時点で歯髄に炎症が存在し、回復が不可能であれば死に至る と思います。 換言すれば、いわゆる上行性歯髄炎症の原因は象牙質知覚過敏症ということである

 一方、象牙質知覚過敏症の原因はすでに発表した論文 に記載したとおり「象牙細管内の有機質変質による歯髄の炎症」と位置付けています。

解説:歯槽骨再生について
 11年後の歯槽骨再生の状態から、骨の回復した部分には歯周疾患が波及していなかったもの と推測される。

 歯周疾患以外の炎症(根尖病巣・嚢胞・腫瘍・隣在歯の炎症)による歯槽骨の破壊は原因の 除去とともに歯周組織が再生されます。一方歯周疾患による破壊に再生が期待できないと いうことは、原因の除去が為されていないという推論が成り立つと思います。

 「歯石を取ってもダメ、セメント質を除去してもダメ→歯全体を抜けば大丈夫」ということは、 象牙質部分に問題が残っていると思われます。

感想:
 ちょっと古い本を見ていて見つけた症例です。これだけ見事な症例はちょっと珍しい… 思わず感激!!

症例は、ザ・クインテッセンス 1998.7月号 vol.17 no7 110 より抜粋


Topic No138
'99.11.7
上行性歯髄炎→骨破壊の速度に疑問あり!?

初診時 15年後 Dental写真 15年後 口腔内写真
歯髄炎 歯髄炎 歯髄炎
歯周疾患進行傾向が強い
49歳 男性
骨吸収は抑制されている 「1唇側より排膿

「1週間ほど前から歯が浮いたようになりました。」と10数年メインテナンスを継続している患者さん

初診時口腔内およびX線所見:
 初診当初より歯周疾患進行傾向が強く、下顎は中程度の骨吸収であったが、上顎は全体に 中程度以上の歯槽骨吸収があり清掃状態も不良であった。
下顎前歯部の歯槽骨も約1/2程度喪失していた。

処置および経過:
 初診から最初の7年間は、1〜2年毎に来院されカリエス治療および一連の補綴処置を行う 普通の治療であった。再初診のたびに全顎のスケーリングを行っていたが、特別な歯周疾患 処置は行っていない。
 8年目からは、歯周疾患とカリエス進行抑制のために着きに1度のメインテナンスを継続。 全体に歯周疾患進行は抑制されており、特に下顎前歯部の歯槽骨破壊は停止しているように 思われた。本年1月の検査においても下顎前歯部の骨破壊は認められていない
 違和感を訴えた9月時点の診査では、「1唇側の歯槽骨は根尖部に至る破壊が認められ 歯髄診断も(-)で、“いわゆる上行性歯髄炎”と診断し根管処置を行った。

考察:
 15年間何らかの形でメインテナンスを継続して、歯槽骨の破壊を最小限に抑制してきた症例で、 何の前ぶれもなくわずか半年程度の期間に根尖部に及ぶ骨破壊が起こること自体不自然です。 この急激な歯槽骨破壊の原因を歯周疾患進行に求めるならば、隣在歯に何の変化もないことも 不自然ですし、歯石沈着や慢性の歯肉炎症が存在しなかったことも説明が不可能だと思います。
 一方長いメインテナンス期間を通して、下顎前歯部の知覚過敏症状や歯髄炎様の症状も なかったように記録されていますので、「1が何時歯髄壊死を起こしたかも不明です。 しかし、周囲の状況や歯槽骨破壊形態から推測すると、歯髄壊死から根尖病巣を引き起こして 唇側の歯槽骨を破壊したと考える方が自然だと思います。

感想:
 「歯槽骨の破壊が先か、歯髄の炎症が先か」いわゆる“上行性歯髄炎”と呼ばれる現象を 解明する貴重な手がかりとなり得る貴重な症例続出!!


Topic No162
'00.4.23
上行性歯髄炎の進行過程(歯周疾患末期)を物語る! 

初診時 パノラマ
歯髄炎
ムシ歯が少なく、珍しいほど自然状態を保っている
51歳 男性

主訴:歯槽膿漏の治療希望

初診時口腔内およびX線所見:
 清掃状態は良好で、カリエスおよび歯科治療の痕跡も少なく一見綺麗な歯ではあるが、 上下前歯部は挺出と前突により歯並びがかなり乱れた感じであった。全体に各歯牙の動揺は 著しく、特に4|は最近自然脱落したとおもわれる。歯槽骨吸収は中程度以上で、下顎 小臼歯部を除いてほとんどが重度であった。

各歯牙の既往および経過:
★右上4番は半年ほど前に、知覚過敏症状が著しく、その後急激に動揺が激しくなりついに自然 脱落
★左上4番はカリエスは存在しないが歯髄壊死から根尖病巣(エンド・ぺリオ)に発展してまさに脱落 寸前の状態である(根管治療を行い現在経過観察中)。
★左下7番はカリエスは存在しないが知覚過敏症状と排膿と疼痛が著しく、歯髄壊死から根尖病巣 (エンド・ぺリオ)に発展途上の状態である(根管治療を行い現在経過観察中)。
★左上6番は知覚過敏症状が著しく、口蓋根歯髄は健全であったが頬側根の歯髄はすでに壊死 状態であった(根管治療を行い現在経過観察中)。
 

考察:
 健全歯がみるみる内に抜けていく。歯周疾患末期にみられる特徴的な症状です。 脱落した歯の既往をたどると、必ずといって良い程「半年前に滲みた」という既往が浮上してきます。
“象牙質知覚過敏→歯髄炎→歯髄壊死→根尖病巣→エンド・ペリオ”
上行性歯髄炎の成因については異論も多いと思いますが、半年前まで周囲の歯と同程度の骨吸収 だった歯が突然脱落していく実態については同じ認識だと思います。

 この状況を回避するには、歯髄炎もしくは歯髄壊死の歯を効率よく見つけ出して根管治療を施す 必要があります。また、1歩進んで考えれば、歯周疾患がある一定以上進行した歯については 積極的に抜髄すべきとの結論を誘導します。

感想:
 各進行状況の上行性歯髄炎がオンパレード。その意味で貴重な症例です。


歯髄炎 歯髄炎 歯髄炎 歯髄炎 歯髄炎 歯髄炎 歯髄炎 歯髄炎 歯髄炎 歯髄炎 歯髄炎 歯髄炎 歯髄炎 歯髄炎 歯髄炎