日付、時間:Mon Jul 13 09:05:39 Japan 1998
  
アクセスポイント:hucom.co.jp
氏名: 匿名  
所在都道府県 東京  
職 業会社員    
年 齢25   
   
  
female  
質問:
河田先生はフラップは40歳以上のどうしようもない場合のみ摘要とおっしゃって
ましたよね?
先生が考えるフラップオペのメリットとデメリットを教えてください

![]()  | 
| FOp: 歯肉を切ってめくって歯石を取る  | 
 私は、重度以上のものしか手術の対象とはしていません。それは、手術する以上、抜髄して
連結固定してこそ初めて歯牙保存が可能だからです。如何に抜髄を推奨している私でも中等度
では抜髄をためらいます。歯周疾患進行に対しては抜髄が有効な抑制手段ではありますが、抜髄
には当然大きなディメリットをともないます。根管治療の不備から来る根尖病巣の誘発や歯根破折
など誰もが指摘するとおりです。
しかし、何もしないで放置した場合のナチュラルヒストリーは、重度で5年、それ以上では1年で
歯牙は自然脱落の運命をたどります。ところが、あえて積極的な治療を行った場合、重度では
10〜20年、それ以上の場合でも約10年機能させることが可能です。
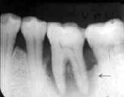
| 48歳・男性 | 11年後 | 
![]()  | 
![]()  | 
| 5」抜髄時・Fop+HAP施行 | 良く保ってるなぁ! | 
| 同一症例 | 2年8ヵ月後 | 
![]()  | 
![]()  | 
| 「6Fop+HAP施行 | 同じように治療したはずなのに… |