日付、時間:2004年9月29日 0:58 
氏名:   T.K   
所在都道府県:  兵庫 
職 業:  医療関連 
年 齢: 30歳      
性別:   female  
質問:
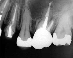
 現在家の近くの歯科にかれこれ1年通院しています。それまでは、上の歯は右の12
が差し歯で456は神経はなしで、左の36も神経を抜いていて、下の歯は右は56神
経なし左は567がブリッジです。上の歯の456の歯茎が時々腫れたり膿がぽつぽつ
でたりしたのと、右下の6がたまにズキズキするので受診しました。
 最初に左上の神経を抜いた歯の中を掃除してもらって次に左下のブリッジをやり直し
て次に右下の神経のない歯の掃除をして(この時、薬を入れてる間膿がでました。今は
腫れもなく順調です)。
 次に右上の4を治療中、膿が出たので5も掃除したら歯の根っこが割れていたので抜
歯しました。その時歯茎を上にあげる手術もしました。その時6の歯にも膿が見えてこ
の歯も△だそうです。しかもこの歯の根っこには神経をとるときの金属が折れて残って
いるとのことでした。5を抜歯した頃、また左上の456に膿がポツポツ出たので伝え
たところ456の掃除はしたので歯茎を見るとの事で切開しました。そしたら67の歯
の間に小指の先位の大きさに膿がたまっていたそうです。これで治らなければ、抜歯と
言われたのですが先日またポツッと膿が見えました。現在はこういう状況です。
 あと3ヶ月前位に左上の12の間が虫歯になったのですが、右上の12の差し歯もや
り直さなければならないらしく、その時麻酔するついでにとの事でそのままになってい
ます。先生のところでみていただきたいのですが他院で治療中でもかまいませんでしょ
うか?
できれば転院したいのですが仕事の都合上なかなか休みがとれません。受診した際に治
療計画をお聞きして可能であれば通院したいのですが・・・。よろしくお願いいたしま
す。
![]()  | 
![]()  | 
![]()  | 

 治療の重要度は、まだダメージの少ない歯を如何に永久保存するかということを優先
します。しかし、現実の治療方針となると、重症な歯をどのように再生・再利用できる
かということから始まるようになるでしょうね。まずは現状把握と、治療方針決定と
いうところからはじめましょう。
回答:
 初診時にはまず、レントゲンを撮って歯石除去や検査を行ないます。そのあと説明を
しますと大体それだけで2時間くらいかかります。更になにかしらの治療をするとなる
とプラス1時間以上?かかりますのでなるべく早い時間にきていただいた方が良いと思
います。