「驚天動地、ここに極まれりだね、この話は」
歯みがきをしても歯を失う!

若いときのきれいな歯
「生涯このままであってれ欲しい」 誰しもが願っていることだと思います。

しかし現状は、河田歯科医院 調べる年度ごとに多少良くはなっていますが…

河田歯科医院厚生労働省

50歳くらいまではどうにかとりつくっているようですが、最終的に18本もの歯を失っていくのです。
人生は80年、人生の後半は失われていく歯との格闘です。

「成人した人間は100%歯周病」

35歳以上の成人の80%以上が歯周病
と、一般に言われていますが…

河田歯科医院

歯肉炎と歯周炎を足した合計は、50歳時の80%をピークに減少しているようにみえますが、
歯周病が原因で失った歯は勿論、虫歯が原因で抜いた歯や保存処置困難と診断された歯だって歯周病のはずです。

第一
河田歯科医院

歯ぐきにまったく炎症がない人でも、年間0.06mmの歯槽骨(歯を支えているアゴの骨)を失っているのです。
歯周病は歯ぐきの病気だと定義されていますので、年間0.06mmの喪失は、やむをえない、歳のせい、加齢現象だと考えられています。
年間0.06mmの喪失を生理的骨吸収と呼んでいます。この数値、よーく覚えておいて下さい。ケア次第でゼロにでも、場合に よってはプラスにすることもできるのですよ。それでも生理的骨吸収??
「歯周病は歯ぐきの病気」という定義は間違っていないのか!

ケアの効果はこれ!
河田歯科医院

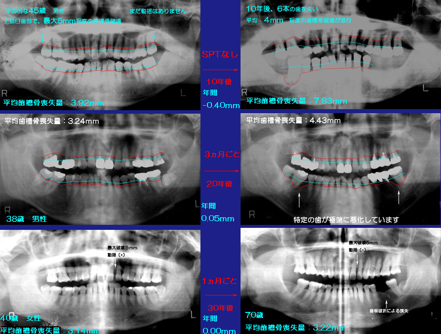
ピンクの帯が平均的な人の歯槽骨喪失パターンです。最初は、ゆっくりとしたスピードで破壊されていきますが、4mm程度 を超えると急速に破壊が進み、次々と歯を失っていきます。

モデルケースとして、平均4mm程度(中程度)の歯槽骨を失った40歳くらいの人の場合。
何もしないと、年間0.4mmのスピードで歯槽骨が破壊されていきます。10年間で約4mmです。
ところが毎月ケアをすると、10年経っても、20年経ってもほとんど破壊されません。
ちなみに3カ月ごとにケアを行うと、年間0.05mm程度の破壊が進み、20年間で1mm程度の破壊が進みます。


具体的には
河田歯科医院

ケア次第で、年間喪失量をゼロにすることができるということは、年間0.06mmの歯槽骨破壊が 加齢現象でどうしようもないということが否定されます。しかも、歯ぐきにまったく炎症がない人でも 年間0.06mm破壊されるというのですから、「歯ぐきの炎症が波及して歯槽骨が破壊される」と定義も 否定されます。

「歯周病は歯ぐきの病気じゃない!」

歯槽膿漏 と 歯周病は同義語です!
歯周病は、歯ぐきの病気(歯肉炎)が歯槽骨まで波及したものと定義されています。 が、実際は歯を支えている歯槽骨が破壊される病気であって、歯ぐきの腫れをともなう 歯槽骨の病気です。
河田歯科医院

歯を支えている周囲の骨(歯槽骨)が随分破壊されています。
河田歯科医院


「歯周病、虫歯の原因に無関心で治療する歯医者たち」
虫歯の原因は本当に虫歯菌ですか〜?
河田歯科医院

虫歯菌が破壊しているのは、歯の表面を覆う、エナメル質だけです。
エナメル質の虫歯は白色です。虫歯って、普通真っ黒になって歯が破壊される病気、つまりエナメル質の下に 存在する象牙質の崩壊です。
「真っ黒な象牙質の虫歯の原因は何ですか」という問いに対して「表面のエナメル質が乳酸に溶かされて、白く 崩壊されたからです」という答えで良いのでしょうか。
河田歯科医院

象牙質に乳酸を作用させても、黒くならないことだけは間違いないでしょう。しかも、崩壊速度もそれほど大きくは 変らないでしょうね。同じメカニズムじゃないことだけは確かだと思いますが、そのメカニズムについては、 いっさい議論されていません。