プロフェッショナル・ケアの効果
開始年齢 60代
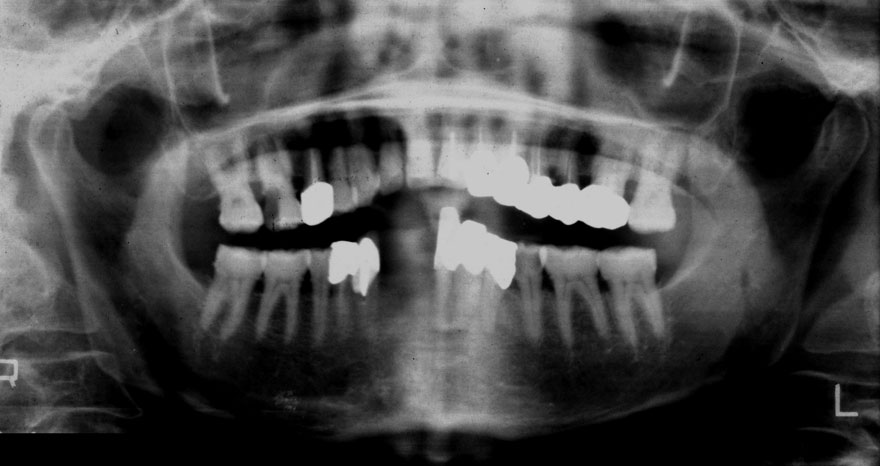
初診時 60歳 男性
29年後 89歳
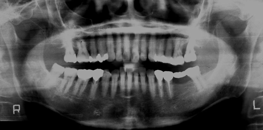
初診時 62歳 女性 平均歯槽骨喪失量:3.98mm
22年後 86歳
平均歯槽骨喪失量:4.03mm
22年間喪失量:-0.05mm
年間喪失速度:-0.002mm
(ケア頻度:1.12ヵ月ごと)
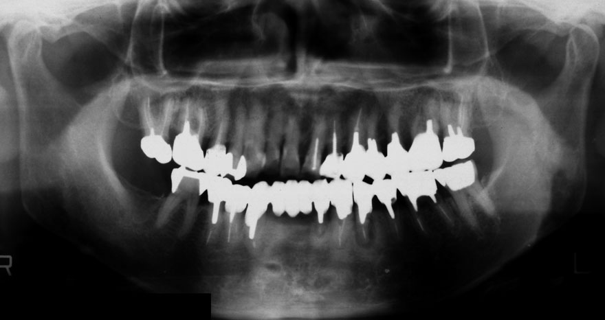
初診時 63歳 女性 平均歯槽骨喪失量:3.55mm
23年後 86歳
平均歯槽骨喪失量:3.71mm
23年間喪失量:-0.17mm
年間喪失速度:-0.007mm
(ケア頻度:1.20ヵ月ごと)
各項目へジャンプ!
河田歯科医院 Top
┣━今週のトピックス INDEX
┣━歯科治療 Q&A INDEX
┃ ┗現在地
┣━論文集 INDEX
┣━医院紹介 INDEX
┣━医療問題 INDEX
┣━質問受け付コーナー
┃ ┣━質問と回答コーナー
┃ ┃ ┗過去の質問と回答
┃ ┗━皆様からのご意見
┣━あなたの街の歯周外科医
┃ ┗歯周外科医一覧表
┗━ くつろぎの空間(ジャンプしません)
┣━midiサンプル
┣━JAVA 診療日記
┣━Flashの世界
┗━パワーポイントの世界