プロフェッショナル・ケアの効果
開始年齢 50代

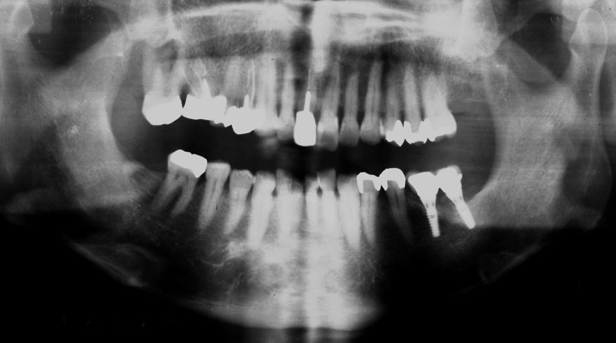
初診時 50歳 女性 
河田歯科医院
河田歯科医院
30年後 80歳


初診時 50歳 女性 
河田歯科医院
河田歯科医院
22年後 72歳


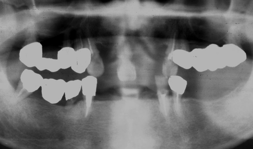
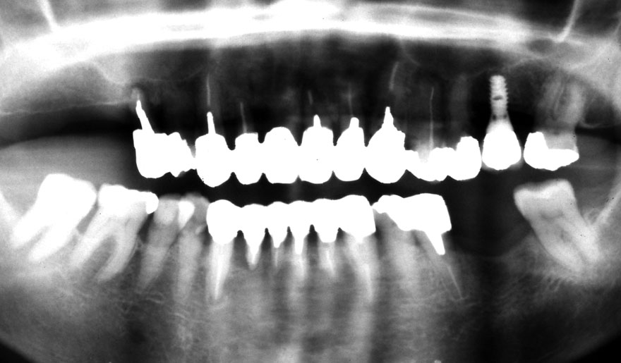
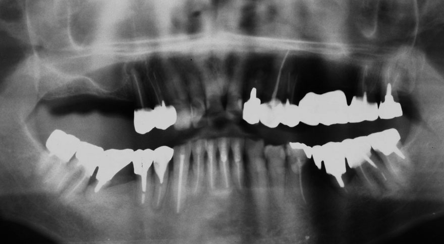
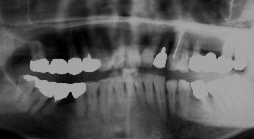
初診時 50歳 男性 
河田歯科医院
河田歯科医院
30年後 80歳


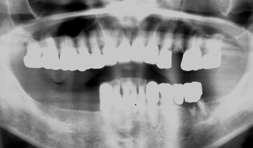
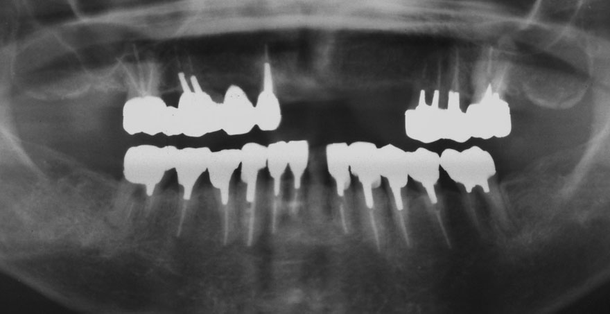
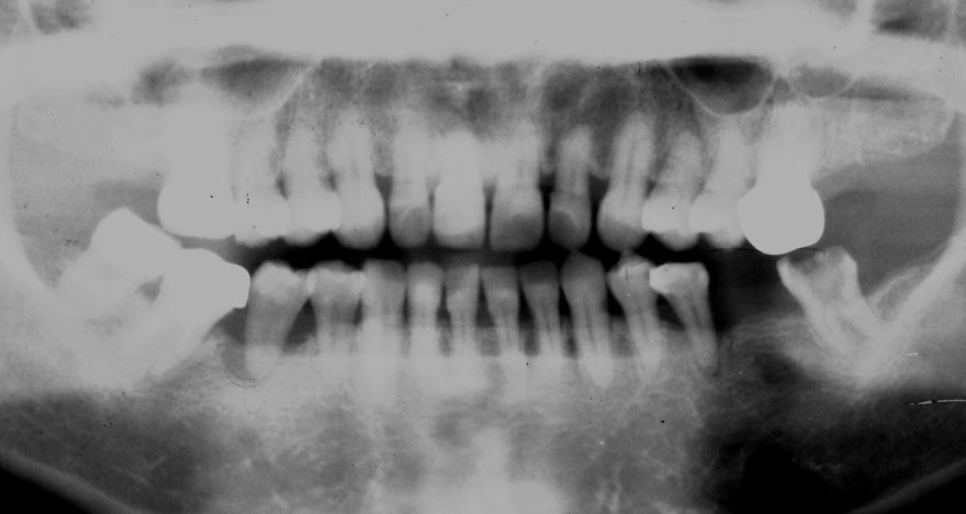
初診時 51歳 女性
河田歯科医院
河田歯科医院
31年後 82歳


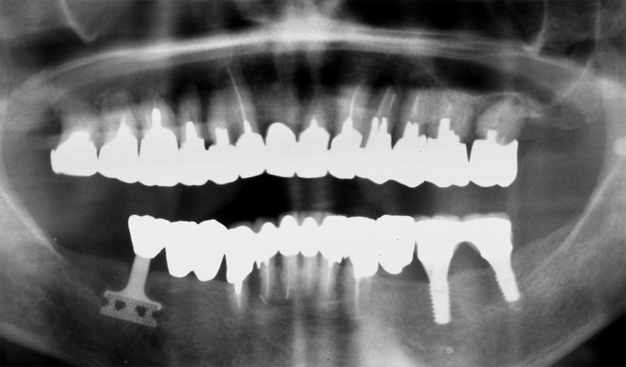
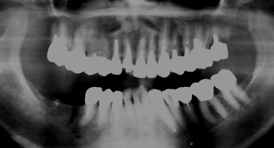
初診時 51歳 男性 平均歯槽骨喪失量:2.83mm
河田歯科医院
河田歯科医院
21年後 72歳
平均歯槽骨喪失量:2.51mm
21年間再生量:+0.32mm
年間再生速度:+0.015mm
(ケア頻度:1.20ヵ月ごと)


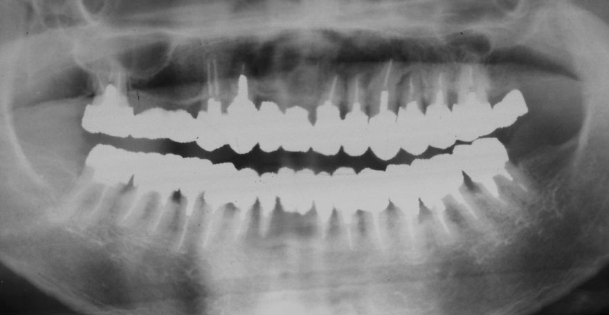
初診時 52歳 女性 平均歯槽骨喪失量:4.75mm
河田歯科医院
河田歯科医院
24年後 74歳
平均歯槽骨喪失量:6.13mm
21年間喪失量:-1.38mm
年間喪失速度:-0.057mm
(ケア頻度:1.25ヵ月ごと)


初診時 52歳 男性 
河田歯科医院
河田歯科医院
30年後 82歳


初診時 52歳 女性 
河田歯科医院
河田歯科医院
24年後 76歳


初診時 54歳 女性 
河田歯科医院
河田歯科医院
22年後 76歳


初診時 55歳 男性 
河田歯科医院
河田歯科医院
26年後 81歳


初診時 56歳 女性 
河田歯科医院
河田歯科医院
20年後 76歳