プロフェッショナル・ケアの効果
開始年齢 40代

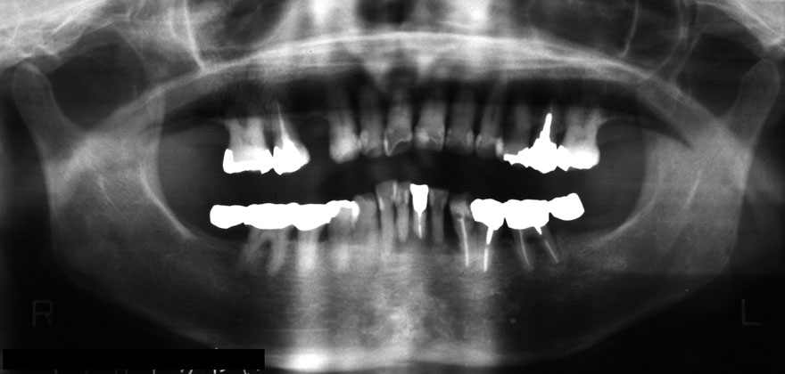
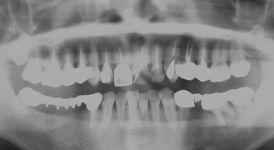
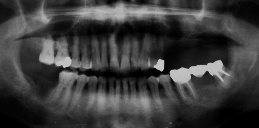
初診時 40歳 女性 平均歯槽骨喪失量:3.14mm
河田歯科医院
河田歯科医院
32年後 72歳
平均歯槽骨喪失量:3.22mm
32年間喪失量:-0.08mm
年間喪失速度:-0.002mm
(ケア頻度:1.86ヵ月ごと)


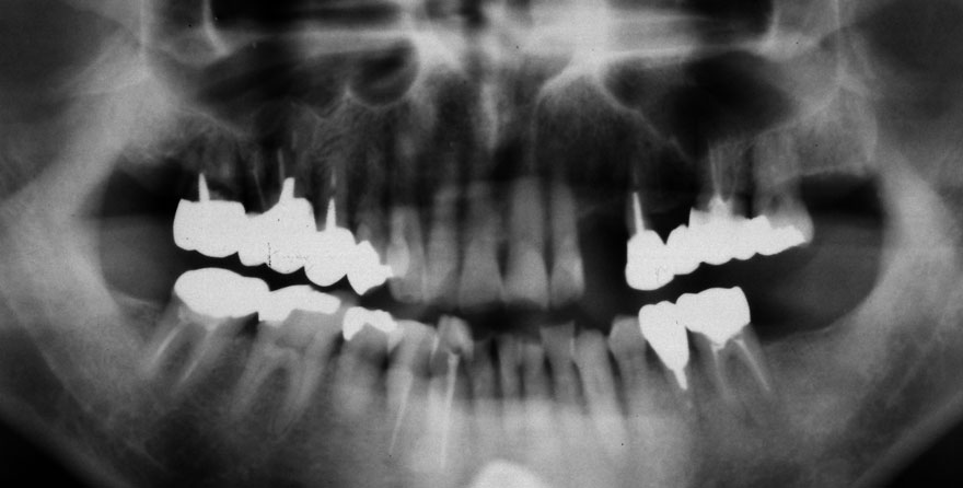
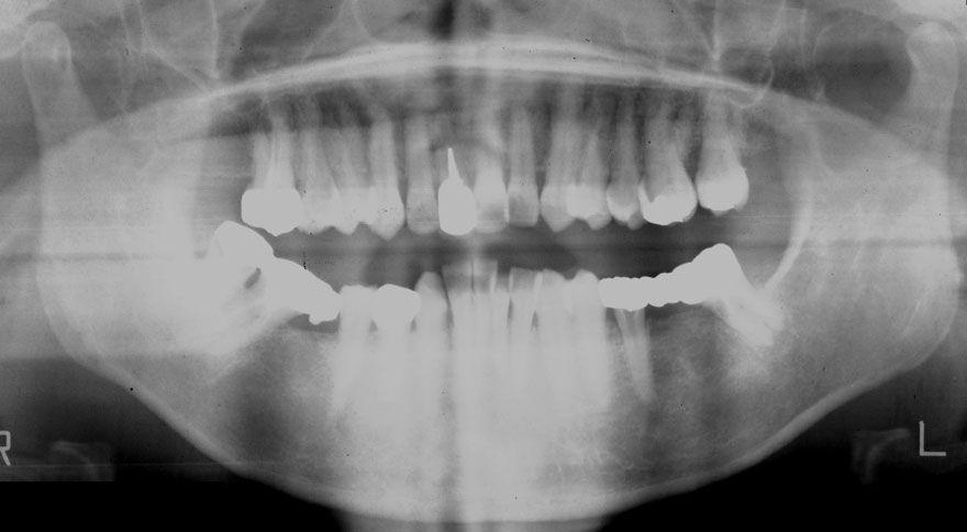
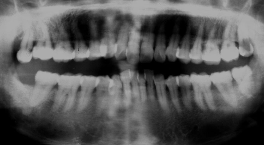
初診時 40歳 女性 平均歯槽骨喪失量:5.24mm
河田歯科医院
河田歯科医院
20年後 60歳
平均歯槽骨喪失量:5.79mm
21年間喪失量:-0.55mm
年間喪失速度:-0.027mm
(ケア頻度:1.23ヵ月ごと)


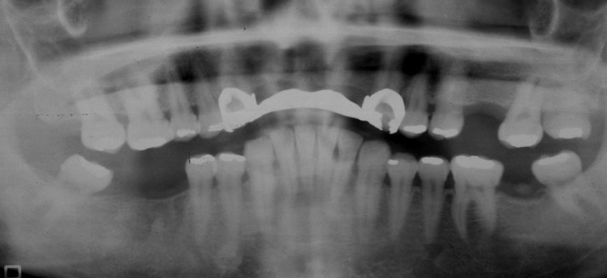
初診時 40歳 女性 
河田歯科医院
河田歯科医院
24年後 64歳


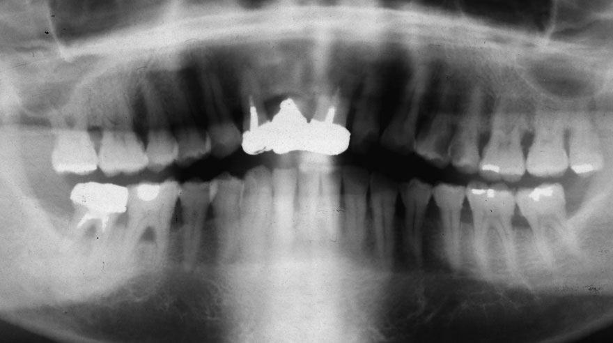
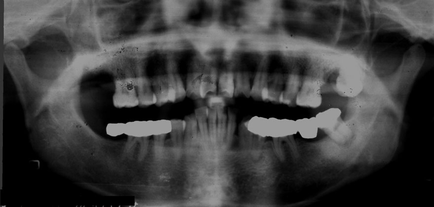
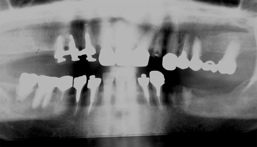
初診時 41歳 男性 平均歯槽骨喪失量:4.11mm
河田歯科医院
河田歯科医院
30年後 71歳
平均歯槽骨喪失量:3.70mm
30年間再生量:+0.41mm
年間再生速度:+0.014mm
(ケア頻度:1.27ヵ月ごと)


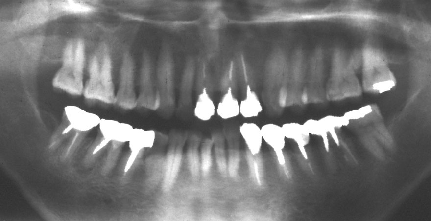
初診時 41歳 女性 
河田歯科医院
河田歯科医院
31年後 72歳


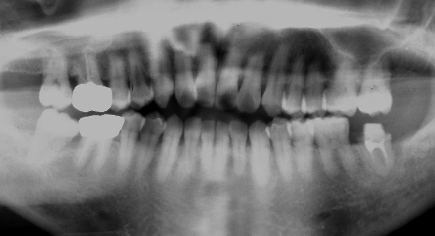
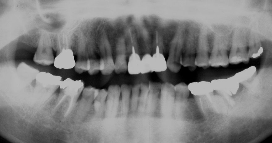
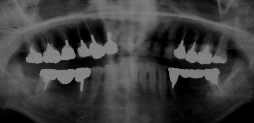
初診時 42歳 男性 平均歯槽骨喪失量:5.30mm
河田歯科医院
河田歯科医院
22年後 64歳
平均歯槽骨喪失量:5.554mm
22年間喪失量:-0.24mm
年間喪失速度:-0.01mm
(ケア頻度:1.07ヵ月ごと)


初診時 42歳 女性 平均歯槽骨喪失量:2.83mm
河田歯科医院
河田歯科医院
21年後 63歳
平均歯槽骨喪失量:3.38mm
21年間喪失量:-0.55mm
年間喪失速度:-0.026mm
(ケア頻度:1.49ヵ月ごと)


初診時 42歳 女性 平均歯槽骨喪失量:2.03mm
河田歯科医院
河田歯科医院
27年後 69歳
平均歯槽骨喪失量:2.38mm
27年間喪失量:-0.35mm
年間喪失速度:-0.013mm
(ケア頻度:2.47ヵ月ごと)


初診時 42歳 女性 平均歯槽骨喪失量:3.77mm
河田歯科医院
河田歯科医院
25年後 69歳
平均歯槽骨喪失量:5.14mm
25年間喪失量:-1.35mm
年間喪失速度:-0.058mm
(ケア頻度:1.09ヵ月ごと)


初診時 44歳 男性 
河田歯科医院
河田歯科医院
31年後 75歳


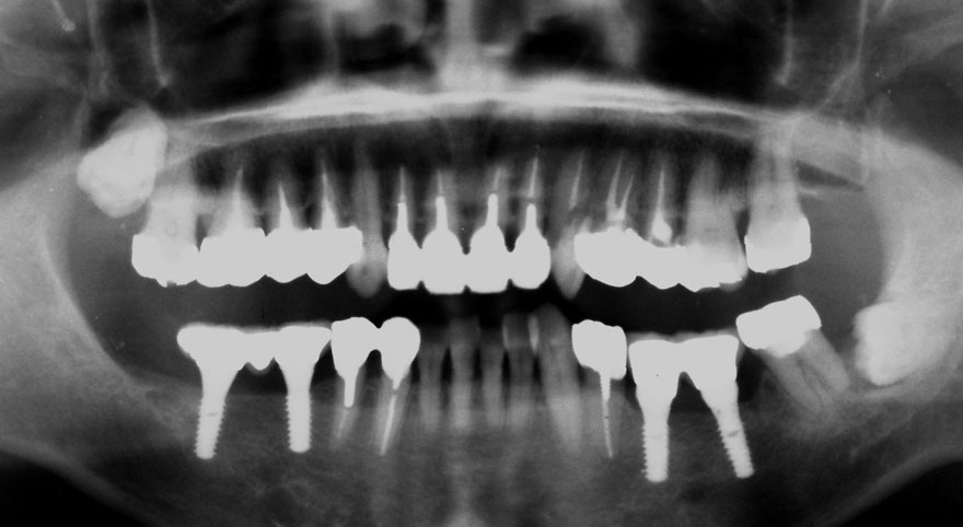
初診時 45歳 女性 
河田歯科医院
河田歯科医院
28年後 73歳


初診時 45歳 女性 
河田歯科医院
河田歯科医院
28年後 73歳


初診時 45歳 女性 平均歯槽骨喪失量:1.94mm
河田歯科医院
河田歯科医院
26年後 71歳
平均歯槽骨喪失量:2.16mm
26年間喪失量:-0.22mm
年間喪失速度:-0.008mm
(ケア頻度:1.56ヵ月ごと)


初診時 46歳 男性  平均歯槽骨喪失量:2.35mm
河田歯科医院
河田歯科医院
28年後 74歳
平均歯槽骨喪失量:3.60mm
28年間喪失量:-1.25mm
年間喪失速度:-0.044mm
(ケア頻度:1.66ヵ月ごと)


初診時 46歳 女性 
河田歯科医院
河田歯科医院
30年後 76歳


初診時 46歳 女性 
河田歯科医院
河田歯科医院
29年後 75歳


初診時 46歳 男性 
河田歯科医院
河田歯科医院
29年後 75歳


初診時 46歳 女性 平均歯槽骨喪失量:3.68mm
河田歯科医院
河田歯科医院
24年後 70歳
平均歯槽骨喪失量:4.10mm
24年間喪失量:-0.42mm
年間喪失速度:-0.017mm
(ケア頻度:1.88ヵ月ごと)


初診時 46歳 男性 平均歯槽骨喪失量:1.62mm
河田歯科医院
河田歯科医院
23年後 69歳
平均歯槽骨喪失量:2.91mm
23年間喪失量:-1.28mm
年間喪失速度:-0.055mm
(ケア頻度:1.41ヵ月ごと)


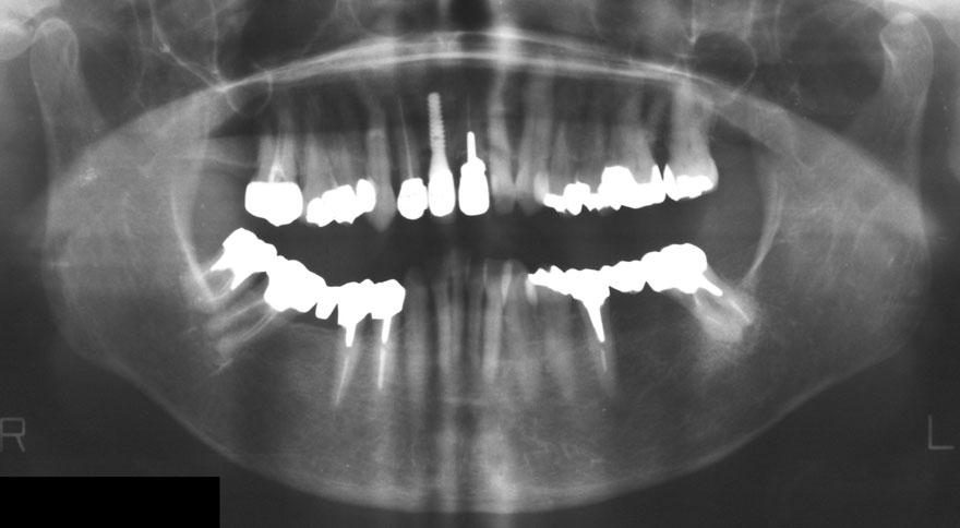
初診時 47歳 男性 
河田歯科医院
河田歯科医院
25年後 72歳


初診時 48歳 男性 平均歯槽骨喪失量:3.31mm
河田歯科医院
河田歯科医院
25年後 73歳
平均歯槽骨喪失量:2.97mm
25年間喪失量:-0.34mm
年間喪失速度:-0.01mm
(ケア頻度:1.69ヵ月ごと)


初診時 48歳 女性 
河田歯科医院
河田歯科医院
30年後 78歳


初診時 48歳 女性 
河田歯科医院
河田歯科医院
26年後 74歳


初診時 48歳 男性 
河田歯科医院
河田歯科医院
25年後 73歳


初診時 49歳 女性 平均歯槽骨喪失量:2.44mm
河田歯科医院
河田歯科医院
26年後 75歳
平均歯槽骨喪失量:2.21mm
26年間増量:+0.22mm
年間再生速度:+0.009mm
(ケア頻度:2.24ヵ月ごと)


初診時 49歳 女性 平均歯槽骨喪失量:3.18mm
河田歯科医院
河田歯科医院
23年後 72歳
平均歯槽骨喪失量:3.73mm
24年間喪失量:-0.55mm
年間喪失速度:-0.024mm
(ケア頻度:1.25ヵ月ごと)


初診時 49歳 女性 
河田歯科医院
河田歯科医院
22年後 69歳


初診時 49歳 女性 
河田歯科医院
河田歯科医院
28年後 77歳