プロフェッショナル・ケアの効果
開始年齢 30代

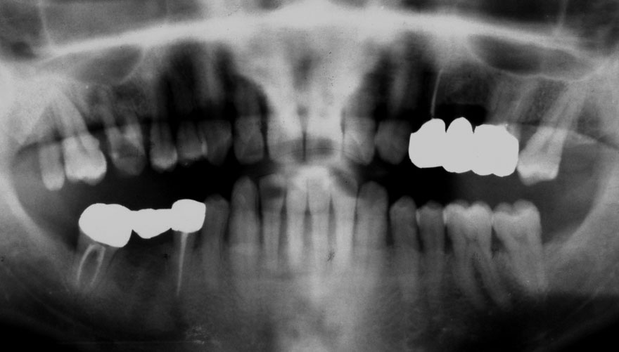
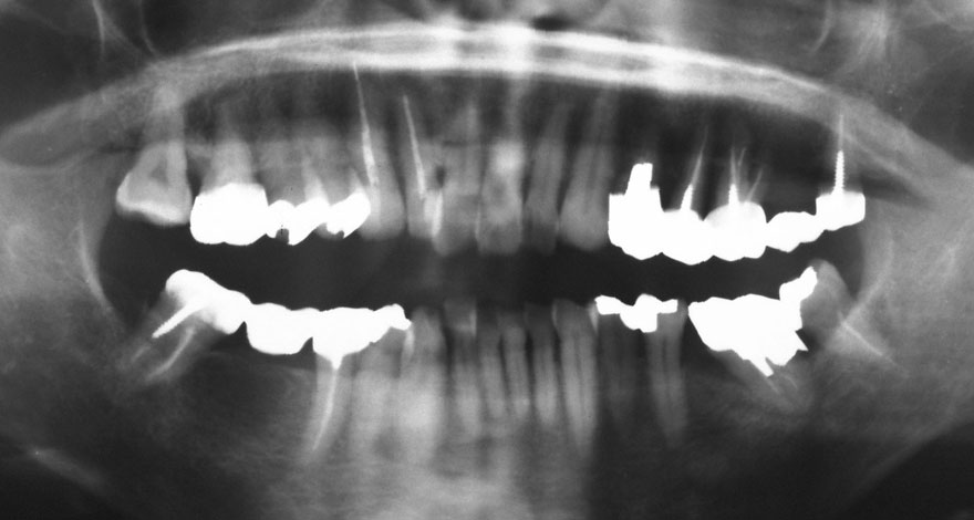
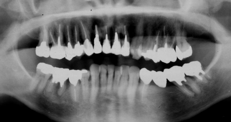
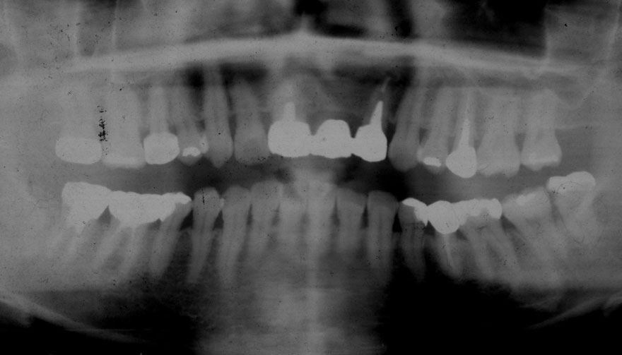
初診時 30歳 女性 平均歯槽骨喪失量:1.46mm
河田歯科医院
河田歯科医院
22年後 52歳
平均歯槽骨喪失量:1.55mm
22年間喪失量:-0.09mm
年間喪失速度:-0.004mm
(ケア頻度:1.76ヵ月ごと)


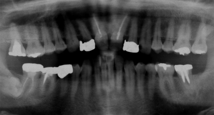
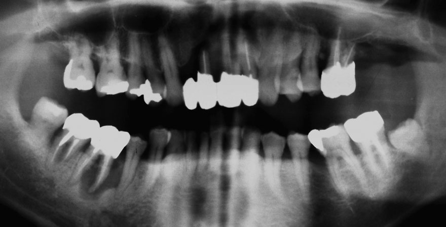
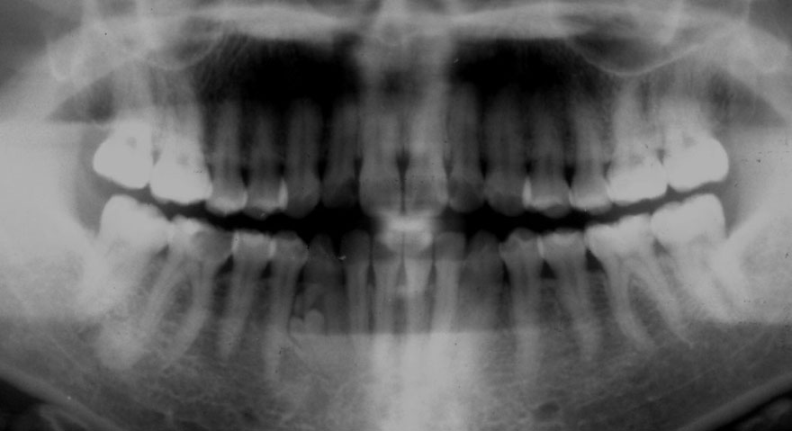
初診時 31歳 女性 
河田歯科医院
河田歯科医院
30年後 61歳


初診時 31歳 女性 
河田歯科医院
河田歯科医院
25年後 56歳


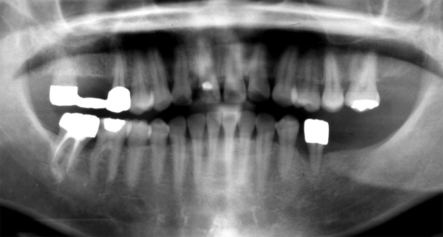
初診時 32歳 男性 
河田歯科医院
河田歯科医院
27年後 59歳


初診時 33歳 女性 
河田歯科医院
河田歯科医院
29年後 62歳


初診時 33歳 女性 
河田歯科医院
河田歯科医院
30年後 63歳


初診時 33歳 女性 
河田歯科医院
河田歯科医院
32年後 65歳


初診時 35歳 女性 
河田歯科医院
河田歯科医院
32年後 67歳


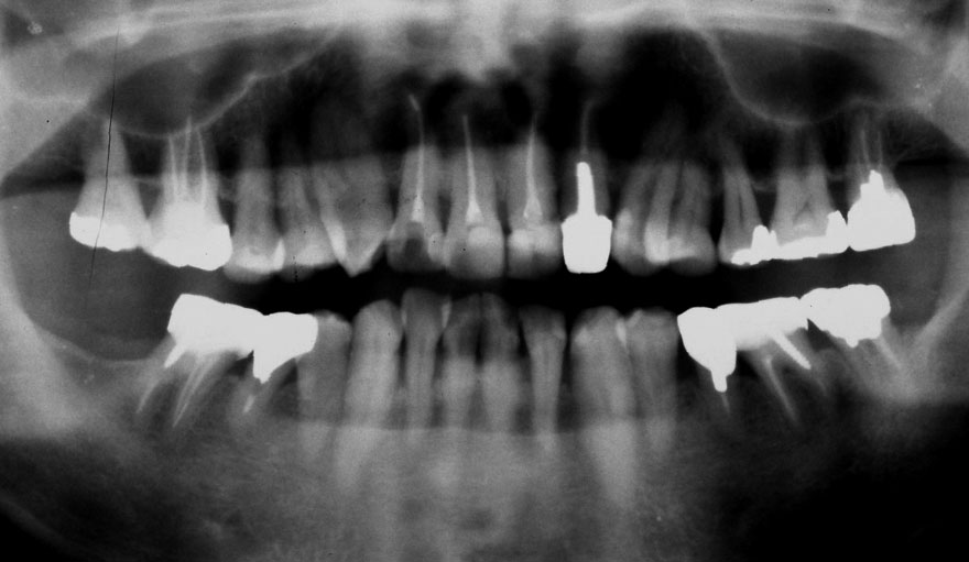
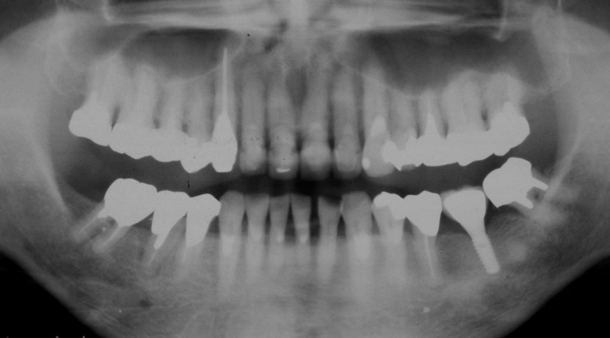
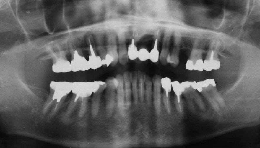
初診時 36歳 女性 平均歯槽骨喪失量:2.70mm
河田歯科医院
河田歯科医院
30年後 66歳
平均歯槽骨喪失量:3.26mm
30年間喪失量:-0.55mm
年間喪失速度:-0.018mm
(ケア頻度:3.01ヵ月ごと)


初診時 37歳 男性 
河田歯科医院
河田歯科医院
31年後 68歳


初診時 37歳 男性 
河田歯科医院
河田歯科医院
32年後 69歳


初診時 37歳 女性 
河田歯科医院
河田歯科医院
28年後 65歳


初診時 37歳 男性 
河田歯科医院
河田歯科医院
27年後 64歳


初診時 38歳 男性 
河田歯科医院
河田歯科医院
30年後 68歳


初診時 38歳 女性 
河田歯科医院
河田歯科医院
27年後 65歳


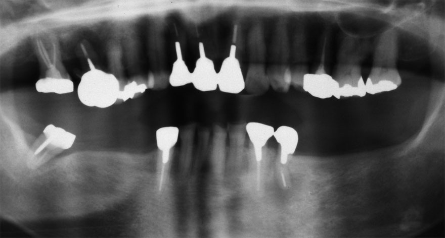
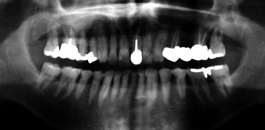
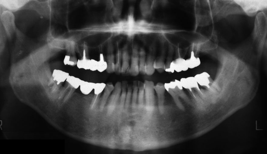
初診時 38歳 男性 平均歯槽骨喪失量:6.520mm
河田歯科医院
河田歯科医院
25年後 63歳
平均歯槽骨喪失量:8.57mm
25年間喪失量:-2.05mm
年間喪失速度:-0.08mm
(ケア頻度:1.38ヵ月ごと)


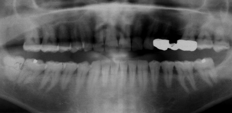
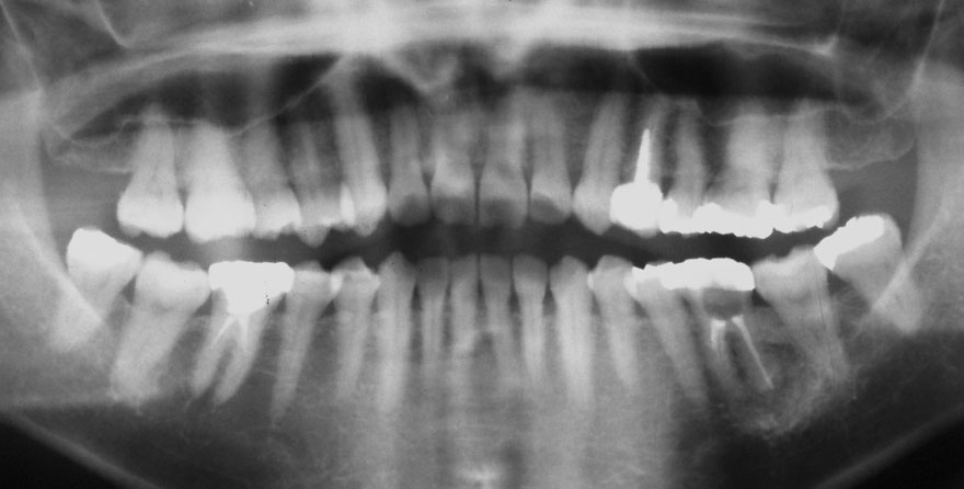
初診時 39歳 女性 平均歯槽骨喪失量:1.82mm
河田歯科医院
河田歯科医院
29年後 68歳
平均歯槽骨喪失量:2.21mm
29年間喪失量:-0.39mm
年間喪失速度:-0.013mm
(ケア頻度:5.55ヵ月ごと)