プロフェッショナル・ケアの効果
開始年齢 20代

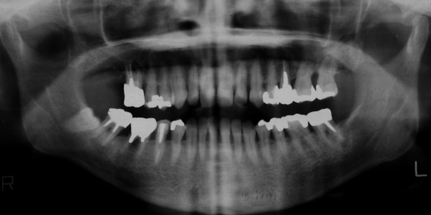
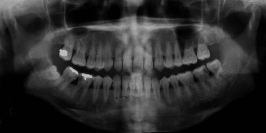
初診時 24歳 女性 
河田歯科医院
河田歯科医院
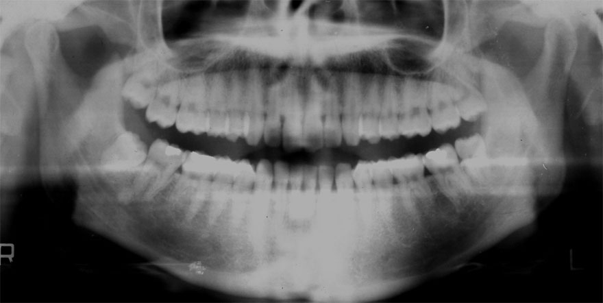
19年後 43歳


初診時 24歳 女性 平均歯槽骨喪失量:1.57mm
河田歯科医院
河田歯科医院
22年後 46歳
平均歯槽骨喪失量:1.72mm
22年間喪失量:-0.15mm
年間喪失速度:-0.007mm
(ケア頻度:1.35ヵ月ごと)


初診時 25歳 男性 平均歯槽骨喪失量:1.43mm
河田歯科医院
河田歯科医院
30年後 55歳
平均歯槽骨喪失量:1.56mm
22年間喪失量:-0.14mm
年間喪失速度:-0.005mm
(ケア頻度:4.21ヵ月ごと)


初診時 25歳 女性 平均歯槽骨喪失量:1.11mm
河田歯科医院
河田歯科医院
22年後 47歳
平均歯槽骨喪失量:1.31mm
22年間喪失量:-0.19mm
年間喪失速度:-0.009mm
(ケア頻度:2.35ヵ月ごと)


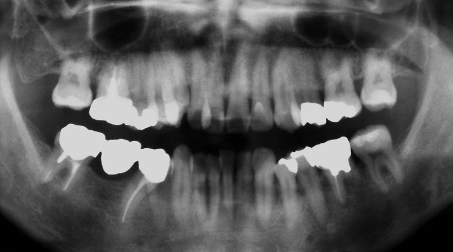
初診時 28歳 男性 平均歯槽骨喪失量:2.35mm
河田歯科医院
河田歯科医院
30年後 58歳
平均歯槽骨喪失量:3.88mm
22年間喪失量:-1.53mm
年間喪失速度:-0.05mm
(ケア頻度:2.80ヵ月ごと)


初診時 28歳 女性 平均歯槽骨喪失量:1.82mm
河田歯科医院
河田歯科医院
20年後 48歳
平均歯槽骨喪失量:2.60mm
20年間喪失量:-0.77mm
年間喪失速度:-0.04mm
(ケア頻度:1.36ヵ月ごと)


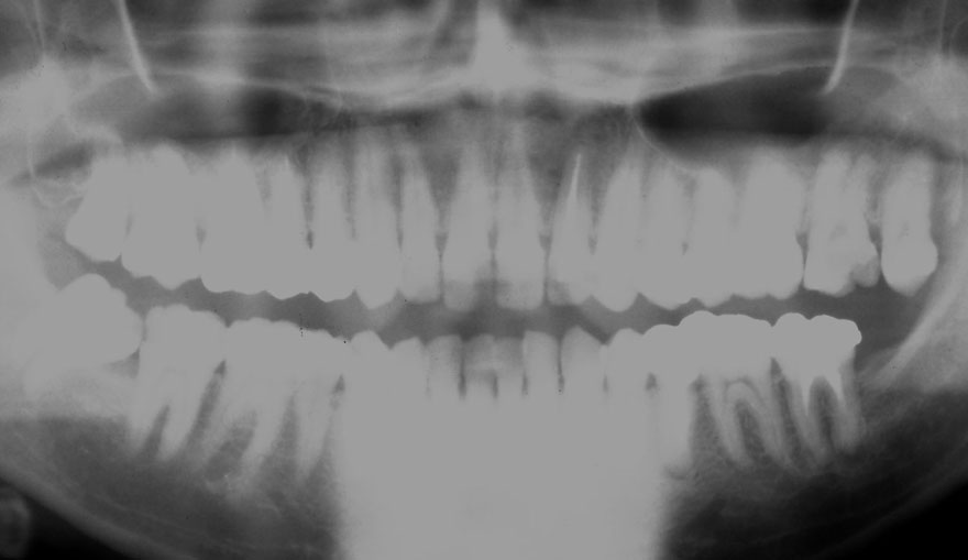
初診時 29歳 男性 平均歯槽骨喪失量:2.44mm
河田歯科医院
河田歯科医院
22年後 51歳
平均歯槽骨喪失量:2.21mm
22年間増量:+0.23mm
年間再生速度:+0.01mm
(ケア頻度:1.02ヵ月ごと)


初診時 29歳 男性 平均歯槽骨喪失量:1.88mm
河田歯科医院
河田歯科医院
20年後 49歳
平均歯槽骨喪失量:2.34mm
20年間喪失量:-0.46mm
年間喪失速度:-0.02mm
(ケア頻度:2.65ヵ月ごと)


初診時 29歳 男性 
河田歯科医院
河田歯科医院
30年後 59歳


初診時 29歳 女性 
河田歯科医院
河田歯科医院
27年後 56歳


初診時 21歳 女性 若年性歯周疾患
河田歯科医院
河田歯科医院
27年後 48歳