プロフェッショナル・ケアの効果
開始年齢 10代
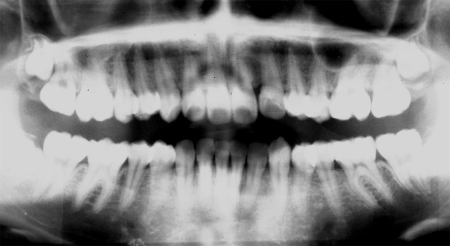
初診時 16歳 女性
若年性歯周疾患
27年後 43歳
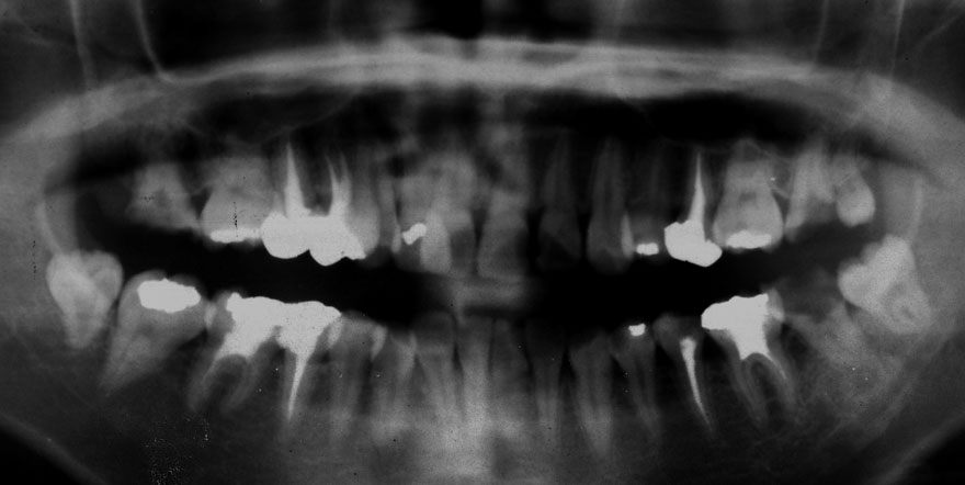
初診時 17歳 女性
20年後 37歳
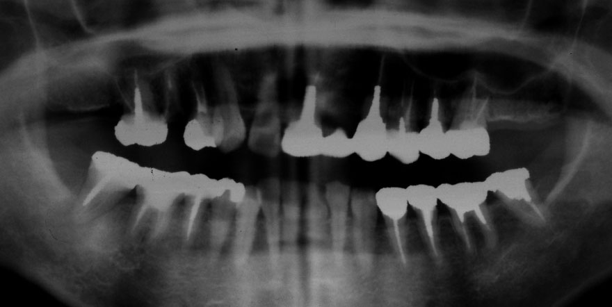
初診時 18歳 女性 平均歯槽骨喪失量:0.87mm
28年後 46歳
平均歯槽骨喪失量:1.40mm
28年間喪失量:-0.52mm
年間喪失速度:-0.02mm
(ケア頻度:5.96ヵ月ごと)
初診時 19歳 女性
虫歯多発傾向
31年後 50歳
各項目へジャンプ!
河田歯科医院 Top
┣━今週のトピックス INDEX
┣━歯科治療 Q&A INDEX
┃ ┗現在地
┣━論文集 INDEX
┣━医院紹介 INDEX
┣━医療問題 INDEX
┣━質問受け付コーナー
┃ ┣━質問と回答コーナー
┃ ┃ ┗過去の質問と回答
┃ ┗━皆様からのご意見
┣━あなたの街の歯周外科医
┃ ┗歯周外科医一覧表
┗━ くつろぎの空間(ジャンプしません)
┣━midiサンプル
┣━JAVA 診療日記
┣━Flashの世界
┗━パワーポイントの世界