プロフェッショナル・ケアの効果
開始年齢 10歳以下
27歳 女性 ケア開始年齢2歳
←母親 19歳時のレントゲン写真
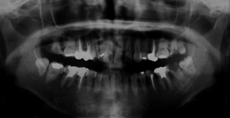
30歳 男性 ケア開始年齢10歳
←母親 30歳時のレントゲン写真
各項目へジャンプ!
河田歯科医院 Top
┣━今週のトピックス INDEX
┣━歯科治療 Q&A INDEX
┃ ┗現在地
┣━論文集 INDEX
┣━医院紹介 INDEX
┣━医療問題 INDEX
┣━質問受け付コーナー
┃ ┣━質問と回答コーナー
┃ ┃ ┗過去の質問と回答
┃ ┗━皆様からのご意見
┣━あなたの街の歯周外科医
┃ ┗歯周外科医一覧表
┗━ くつろぎの空間(ジャンプしません)
┣━midiサンプル
┣━JAVA 診療日記
┣━Flashの世界
┗━パワーポイントの世界