第2章 輝きつづける歯
【ハチマルニイマル運動】
ハチマルニイマル運動という言葉をご存知の方も多いと思います。厚生労働省と日本歯
科医師会が中心になって行っている“80歳で20本の歯を残そう”というキャンペーンのこ
とです。兵庫県でも目標を達成されたご老人には表彰状と記念品を贈呈しているようです。
表彰状を出すというからには相当数が少ないものと思われます。80歳の平均残存歯数が5
本余りだという統計から考えてもそれ程多い数ではないでしょう。ところが私の医院に来
院されている患者さんの中にはこれに該当されている方が相当数いらっしゃいます。80歳
を越えた患者さんの半分もの方が20本以上の歯をもってらっしゃいます。歯が丈夫で元気
だから歯医者に通えるという理由があるのかもしれません。しかし、20年前の開業当初や
10年前では考えられない数字です。
今でも70歳を越えて初めて来院される患者さんの中に20本以上の残存歯を探すことはか
なり難しい作業です。これを60歳代に年齢を下げるとかなりの方が該当します。おそらく
解答はこのなかに含まれていると確信しています。開業して数年間のうちに来院された60
歳代の方のなかにも、今と同じくらいの頻度で相当数の残存歯をお持ちの方がいたと記憶
しています。その方のなかで、治療後も継続してメインテナンスを続けられた方がいらっ
しゃいました。治療後10数年間1本の歯を失うことなく経過された方もいらっしゃいます。
数年前頃からその方たちが80歳になられることを密かに心待ちにしていました。
50歳代からメインテナンスをはじめられた患者さんは、今では70歳代になられています。
もっと状態の良いときからメインテナンスを継続されているわけですから、今後は残存歯
の程度も数も素晴らしい状態のハチマルニイマルが誕生することでしょう。
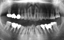
★ Oさん 61歳
Oさんもそんななかのひとりです。来院直後の6年間にブランクがあって、その時失った下
顎の前歯部を除けばかなりの状態をキープしているといえます。61歳としては余りにも条
件が良すぎたためにメインテナンスを積極的に勧めなかったことが少し悔やまれます。
![]() |
![]() |
| Oさん 初診時 61歳 男性 上顎臼歯部に中程度以上の歯槽骨破壊が認められるが残存する歯の数は多い |
Oさん 20年後 81歳歳 補綴(ほてつ)物が多いことに不満を感じるが親知らずを含む残存歯数27本は立派 |
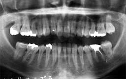
★ Pさん 52歳
年齢層をもう少し下げてみましょう。Pさんは来院時が52歳で、親知らずを除く喪失歯が
1本もなく健全そうにみえました。Oさん同様治療終了後の数年間にブランクがありました。
今から14年前の来院時にはメインテナンスを行うことの大切さがかなりはっきりわかってい
ましたので、それまでの経過を踏まえて少し強引にメインテナンスを勧めました。それ以降
はほとんど途切れることなくメインテナンスを継続されています。右の上顎第一大臼歯の1/3
だけ抜歯(ヘミセクション)していますので正確には現在残存歯数は27本と2/3ということ
になりますが、補綴(ほてつ)物も少なく10年後が楽しみな患者さんです。
![]() |
![]() |
| Pさん 初診時 52歳 男性 歯周疾患の進行傾向が随所に認められるが、年齢の割には比較的良好 |
Pさん 20年後 71歳 清掃状態は決して良好とはいえないが、20年間毎月メインテナンスを継続し良好な状態を保っている |
二人とも共通している点は、来院当初よりかなり良好な環境の持ち主であったために「何
かあったら、またきてください」という感じで治療を終了し、その後数年間のうちに大切な
歯を失ってしまったことです。その後の14年間はメインテナンスが完全に習慣となってほと
んど治療することなく経過している点も共通しています。それともう1点、長年メインテナ
ンスを続けている割にはプラーク(歯垢)が多くお世辞にも綺麗な口とはいえないことでし
ょう。それでも歯石除去さえしていれば保てることを証明するような症例です。
ご覧いただいたように、手術を必要とする重症症例にはどうしても限界を感じますが、程度
が良ければ治療後の状態をほとんどそのままタイムスリップさせることも可能です。50歳を
過ぎても良好な保存状態のひとをさがして、メインテナンスの習慣付けをするのは結構大変
なことです。何かしら歯牙喪失の危機を感じてからやっと説得できることが多いというか多
かったと思います。今の実績と経験を踏まえて説明すればもっと多くのひとをタイムスリッ
プさせることが可能でしょう。
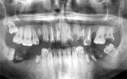
★ Uさん 38歳
当時の時代背景ということもあって、初診時38歳だったUさんのケースは少し特殊です。
メインテナンスは程度に応じて3か月・6か月・1年毎を選択するのが望ましいという保険上の
指導があったことも影響しています。多少将来が危ぶまれるものの、今すぐに何かが起こる
可能性は少ないという判断をしたUさんには3か月毎のメインテナンスを指示しました。
![]() |
![]() |
| Uさん 初診時 38歳 男性 歯槽骨破壊はそれほど著明ではないが、同じ年代のひとと比べれば歯槽膿漏の進行が少し 強そうな感じでした |
Uさん 20年後 57歳 長年にわたり変化のない推移だったがここ数年で急激な骨破壊を観察 |
どれくらいの間隔が適切なのか当時は分かっていなかったというよりも今でも本当のとこ
ろは分かっていません。ただ一つ自信をもって言えることは、3か月毎とか6か月毎のメイン
テナンスを指示した場合、必ずといっていいほどメインテナンスが自然消滅してしまいます。
1度飛ばしてしまうとそのまま来院が途絶え、次に何か不都合が生じるまで歯医者に行かない
という従来のパターンに戻ってしまいがちです。3か月毎に歯石の除去を行っても目でみえる
形の成果がないことや、また、3か月毎の約束を破ったからといってペナルティーも「ソレみ
たことか」という極端な変化もないことが原因かもしれません。その一方で人間の本性でし
ょうか、1か月毎だと習慣になり易いし、例え1か月後の予約を忘れてしまっても次の月には
来院される方が多いように思います。
話は戻りますが、そんななかでUさんは、唯一20年間3か月毎のメインテナンスを継続され
た貴重な存在でした。危ないから毎月に変更してもらおうと思いつつ、確実に3か月毎の予約
を守るUさんの診療態度とそれでも大きな変化もなく十分現状維持が保てている実績があって
そのままになっていました。ここ最近、左右の下顎臼歯部に急激な骨欠損が確認されたことか
ら、1か月毎のメインテナンスに切り替えることにしました。
★ Rさん 24歳
若年性歯周疾患や中高年のように明らかな歯槽骨破壊が認められるメインテナンスと違って、
若年者のメインテナンスには虫歯の進行を抑制する効果がより鮮明に認められます。この効果
は当初予測もしなかったばかりでなく、つい最近まで知らなかった新たな事実です。おそらく
全国の専門家の方でも知らない効果だと思います。10代や20代前半の患者さんには歯槽膿漏に
よる歯槽骨歯破壊はほとんどみあたりません。何らかの意味で将来に危機感をもってメインテ
ナンスに応じた患者さんだけが観察対象になっています。
初診時24歳だったRさんは、几帳面な性格で口腔内清掃状態も良好でしたが、何しろ神経を
とって被せた歯が多いというのが第一印象でした。歯に異常を感じたらすぐ歯医者に行って治
療するといったタイプです。そしてその都度神経をとって被せる治療を繰り返し、24歳にして
すでに6本の神経をとっていました。「神経をとったらロクなことがない」ことは重々承知し
ている歯医者も、患者さんが不都合を感じたときには神経を取らざるを得ない状況であること
が多いからです。萌出してわずか10年そこそこしか経っていない歯の実に1/4近くがすでに抜
髄されて、生涯機能しつづける権利を放棄したに等しい状況だともいえます。ご多分に漏れず、
右下第一大臼歯には根尖病巣があって、しかも通常の根管治療もできない状態でした。やむな
く2本ある根っこうち1本を部分的に抜歯して(ヘミセクションといいます)ブリッジにしま
した。
治療終了後もこれから先どうなるのだろうという不安が付きまとっています。これは私が歯
槽膿漏のメインテナンスをはじめてすでに8年ほど経過したころですが、特に目立った歯槽膿
漏の兆候のないRさんにメインテナンスを勧めるのは若干の抵抗がありました。しかし、本人
の申し出もあって毎月歯石をとるというメインテナンスを始めました。それ以来13年経過して
いますが、不思議なことにそれ以来歯の神経をとるような事態になることは一度もありません。
メインテナンス期間を通して、1〜2年に一度ほどのペースで細かな虫歯をみつけて治療はして
いましたが、基本的には何もしないで13年を無事経過したような印象があります。小学校のこ
ろから10余年間虫歯に悩みつづけたRさんも不思議な思いでメインテナンスを継続されている
ことと思います。
![]() |
![]() |
| Rさん 初診時 24歳 女性 清掃状態も良いのにすでに抜髄された歯が6本もあるのが特徴的です |
Rさん 13年後 37歳 初診時の治療以来、ほとんど追加治療することなく経過しています |
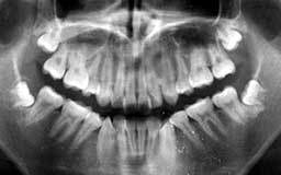
★ I君 12歳
年齢層が若くなればなるほど口腔内環境は良くなっていきます。従ってメインテナンスは
できるだけ若いときから始めるべきだとは思いますが、現在でも16歳未満のメインテナンス
は基本的には認められていません。するのは一向に構わないのかもしれませんが、現在の保
険制度では、経済的な保証がないことが最大のネックかもしれません。歯の萌出が止まって
歯槽膿漏がはじまるのが16歳くらいからですから歯槽膿漏のメインテナンスと考えるとあな
がち納得できない保険システムとは言い切れない部分もあります。とはいえ、若いときから
メインテナンスの「現状維持」の力にお世話になっていれば、抜髄などの忌まわしい治療と
は無縁の一生を送るというのも夢ではないように思います。
“抜髄処置が世の中から消える?”この効果を検証するためにもう少し年齢層を下げて観
察してみましょう。登場していただくI君・T君・S君は皆虫歯の発生し易い男の子です。
それぞれ家族も虫歯の進行傾向が強く、生活習慣・体質・歯質などが影響しているものと思
われます。
I君の初診は5歳の時で、12月30日の時間外診療で乳歯の抜髄からはじまっています。今回
の登場は親の権威で無理やり治療をしていた小学校を卒業したころからの経過です。中学校
に入るころになると子供は親の言うことを聞かなくなり、無理やり歯医者に連れて行くこと
が難しくなります。余程耐えられない痛みが生じたときだけ来院し、しかも痛みが止まれば
無断キャンセルを繰り返し最後の補綴(ほてつ)処置も行わないという誰が考えても最悪の
パターンを歩みつづけています。今回も結婚式の前にせめて前歯だけでもということで来院
されていますが、どうやらまたしても治療終了に至らないまま中断してしまいそうです。25
歳で実質喪失歯7本、すでに神経をとった歯9本、しかも咬合関係が全く狂ってしまい将来が
危ぶまれるような状況です。
![]() |
![]() |
| I君 当時 12歳 男性 萌出後6年も経たない第一大臼歯がすでに2本抜髄されています |
I君 13年後 25歳 抜髄して痛みが止まったら治療中止を繰り返して最悪のパターン |
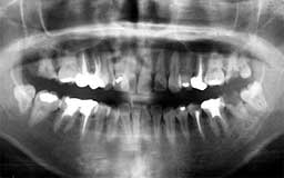
★ T君 15歳
次に登場していただくT君は、主訴の治療が終わっても他の歯も治して帰る普通のタイプ
です。日本人のほとんどがこのパターンではないでしょうか。15歳でお見えになったときに
はやむなく抜髄した歯が4本で、それ以外にも抜髄寸前みたいな歯が数本ありました。20年前
ですから強引なメインテナンスの誘いはしませんでしたが、その後2〜3年毎に何か不都合が
生じて治療を繰り返してきました。
途中ほんの1回か2回メインテナンスを続けたこともありましたが、どうしても理解して
もらえないまま20年が経過してしまいました。20年後の現在、過去に行った根の治療に根尖
病巣ができたために再治療を行っている最中です。幸いにも抜歯しなくてはならない歯はあ
りませんが、11本も神経を抜いた景観は見事なものです。
![]() |
![]() |
| T君 初診時 15歳 男性 抜髄した歯は1本もないが、初診時に抜髄した歯が4本 |
T君 20年後 34歳 メインテナンスの必然性を何度も説明したが理解されず、何か不都合が生じたときに来院し そのたびに主訴である歯は抜髄を繰り返す |
★ S君 16歳
最後に登場していただくS君は初診時16歳。すでに抜髄された歯が1本あり、他にも多数
の虫歯がありました。先に来院されていたお姉さんの話を聞いて来られた様子で、主訴はい
きなりメインテナンス希望というものでした。初診時に虫歯の治療を行い、途中親知らずを
抜歯していますが、それ以外20年間ほとんど治療をしていません。ましてや忌まわしい抜髄
や銀の被せなどとは全く無縁の世界を享受している様子です。「親知らずは早めに抜いて、
それ以外の歯は1本足りとも抜かずに済むように手入れしましょう」と夢物語のように申し
上げておりますが、実現は十分可能です。そのために必要なことが何であるかは十分わかっ
ていただけたと思います。
16歳からのメインテナンスは当時としては珍しい症例ですが、S君をそうさせた原動力は
まさに家族の愛とでもいえるかもしれません。多少皮肉な結果になっているのですが、私に
とって実に愛すべき症例ですので、ご家族にも登場していただきます。
![]() |
![]() |
| S君 初診時 16歳 男性 (弟) すでに1本の歯が抜髄されており、それ以外にも多数虫歯治療の形跡が認められます |
S君 20年後 36歳 初期の治療後約20年間、毎月の歯石除去と検診を継続した結果、新たに歯の神経をとること なく良好な環境を保持しています |
![]() |
| Sさん 初診時 49歳 女性 (母親) 歯周疾患・虫歯ともに進行傾向が強く、同年代の平均レベルに比べて最悪の口腔内環境です |
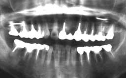
★ Sさん 49歳
S君のお母さん(Sさん)が初めて来院されたのは、S君より7年あとの49歳の時でした。
その時の口腔内状態は、レントゲン写真をみていただくだけで十分わかっていただけると思
います。残存する歯も全て虫歯です。
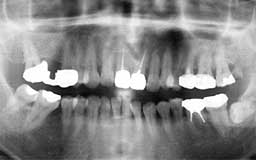
★ Mさん 24歳
S君に先立って来院された姉のMさんも見事な?口腔内環境でした。19歳にして、すでに
抜髄した歯が7本、抜髄すべき歯が9本もありました。S君同様、治療終了後は欠かさずメイ
ンテナンスを継続されています。その間、不幸にも娘のMちゃんの頭がぶつかったというこ
とで大切な前歯を1本喪失し、ブリッジにするため更に犬歯までも抜髄しましたが、20年前の
治療終了時とほとんど変わらない口腔内環境を保持されています。今では、同年代のちょっ
と悪いひとよりも安定した状態です。
メインテナンスを継続すれば、歯槽膿漏の進行は勿論、虫歯の進行も大幅に抑制して、細
かな虫歯を発見して軽い治療をすませておけば、神経をとるなんてこととは無縁の世界が存
在することもお分かりいただけたと思います。
![]() |
![]() |
| Mさん 初診時 19歳 女性 (姉) 来院時、すでに7本の歯に神経はなく、初診時の治療でさらに5本の神経を取らざるを得な い状況でした |
Mさん 20年後 39歳 不幸にして子供の頭が前歯にぶつかり、貴重な1本を失ったものの、20年間メインテナンス を継続した結果比較的良好な口腔内環境を保ちつづけています |
![]() |
| Mちゃん 16歳 女性 (娘) 1歳のころからメインテナンスを継続母親に連れられて泣きながら治療した子供も16歳に成 長しました。細かな虫歯治療の形跡はありますが、ほとんど虫歯もなく理想的な口腔環境を 保っています |
★ Mちゃん 1歳
それにしても、仕事柄、金属の被せや詰め物を施した歯やレントゲンをみて決して美しい
とは思えません。そこで、Mさんの娘であるMちゃんにも登場してもらいます。1歳のころか
らお母さんに連れてこられたMちゃんは泣き虫で、まともな治療ができない子でした。「私
みたいにならないで」というお母さんの願いもむなしく、乳歯の時期にはあちらこちらに虫
歯が発生していました。親子だからしかたないねといいながらも母親のメインテナンスには
いつもついて来て、それなりの治療を積み重ねていきました。
その甲斐があってか、小学校の後半にさしかかるころには自分で小さな虫歯をみつけだして
進んで治療するおりこうさんに成長して、早くから生意気にも歯石除去の習慣を身につけて
しまいました。今では16歳の立派な娘さんに成長され、一見虫歯の全くない子というイメー
ジです。虫歯の治療はあちらこちらにあるものの、小さなうちに見つけて歯と同じ色のレジ
ンというプラスティック様の詰め物が施されているからです。父親も含めて家族的にはおそ
らく最悪の遺伝子を受け継いだMちゃんが、このままメインテナンスの習慣を継続して、美
しい口のおばあちゃんになってくれることを心待ちにしています。
【メインテナンス開始の時期】
早期治療による虫歯による歯牙喪失の抑制、歯槽膿漏の進行抑制の効果がお分かりいただ
けたと思います。年齢をさかのぼって約20年間のメインテナンスの効果をみてきましたが、
何時の年代から始めても20年間現状維持が保てるということは、幼児のころからはじめれば
生涯美しいままに保てるという夢が広がってきます。従ってメインテナンスの開始時期は早
ければ早いほど良いという結論ですが、年齢や程度に関わらず、気がついたそのときからさ
っそく開始するのが望ましいといえます。
Mちゃんのケースはある意味では特殊です。お母さんがメインテナンスの必然性に迫られ
ていたために1歳のころから毎月スケーリング(歯石除去)を行ってまいりました。一般的に
はどの程度のメインテナンスが必要なのかも少し検証してみたいと思います。
学校検診のあと、夏休み・冬休み・春休みという節目に、子供を歯医者に連れて行くとい
う習慣は結構広がっているようです。年に3〜4回、3〜4か月毎ということになります。
私の医院では子供であっても初診のたびに検診をかねて歯石の除去を行います。大人の場合
と違って子供の歯石除去は保険規則では認められていません。大人の歯石除去は初診料とは
別に給付されるのに対して、子供の歯石除去は初診料に含まれるという解釈のようです。毎
月の歯石除去は再診料に含まれているのかもしれません。いずれにしても、大人の場合全顎
3000円もする歯石の除去が、子供の場合400円の再診料に含まれるといっても納得のいく説明
ではありません。治療する側の言い分としてはあくまでも無料という感覚です。無料でもい
いから患者さんのため、と余程腹をくくらなければ簡単にできないのが子供のメインテナン
スです。長年効果のほどは疑っておりましたが、今となってはとんでもない効果があったこ
とを喜んでいます。
![]() |
| H君 18歳 初診から13年後 小さな虫歯治療の痕跡はあるが美しい歯の持ち主です |
★ H君 5歳
H君は18歳で、Mちゃんと同じくレジン充填による小さな虫歯の治療はしていますが、一
見虫歯もなく美しい歯の持ち主です。5歳のころ乳歯の痛みを訴えて来院されましたが、その
後休み毎に検診を積み重ねてきました。問題は中学生になって以降です。男の子が中学・高
校になってもお母さんに連れられて歯科医院通いというのも問題があるかもしれませんが、
その時期を乗り切ることがポイントです。この時期になると「歯医者に行きなさいと言って
も、言うことを聞かない」という話をよく聞きますが、それまでのしつけが大きく左右する
と思います。
「乳児のムシ歯を防ぐにはどうしたらよいか」よく聞かれる質問です。親子歯磨き、 フ
ッ素塗布、予防充填いずれもそれなりに効果がありますが何といっても躾(しつけ)と生活
習慣です。乳歯は永久歯に比べ石灰化 が不十分なため、齲蝕(うしょく)になり易く、進行
も極端に速いのが特徴です。「食べたら磨く」はもっともな話しで、食後30分の口腔内pH
は恐ろしく低く幼弱な乳歯が酸に侵されるのは当然です。
食後3分以内の歯磨きはとても有効ですが、わかっていても実行出来ないのが実態ではない
でしょうか。それなら食べる回数を減らすのはどうでしょう。 決まった時間にしっかり食事
をすればおやつの回数は減るはずです。 同じおやつを食べるにしても短時間に食べさせる。
甘いものを極端にさける必要は無いと思います。それよりもおやつや食事の最後にキュウリ
やリンゴ、タクアン等の繊維性の物を食べて自然の清掃を行う習慣を身につける方が得策で
はないでしょうか。とにかくダラダラ食べて口腔内のpHを低く保つのだけは避けて下さい。
乳歯の虫歯を防ぐ最も有効な手段は“親の躾(しつけ)”、そして永久歯の虫歯も“親の
躾(しつけ)”が左右すると考えられます。