あなたは一生「自分の歯」で食べられますか?
かしこい歯医者のかかり方

第1章 永遠に機能する歯

【一番かしこい歯科医の利用法とは】

 歯の神経をとって銀のクラウンを被せたり、歯を抜いてブリッジや入れ歯を作るのが歯科 医の仕事と思われているようですが、患者さんにとって忌まわしいこんな治療を回避して、 生涯健全な歯を保ち続ける、そんな夢のような現実が果たして存在するのでしょうか。実は 毎月歯石をとりつづけるという単純な習慣がこの夢のような現実もたらすのです。不幸なこ とにその現実を多くの国民が知らないばかりか、治療にあたっている歯科医自身も知りませ ん。もちろん20年前の私にも想像できなかったことです。「黙って座って、毎月歯石だけと って帰って」となかば冗談のような口調で患者さんに言うこともありますが、毎日の歯磨き にいちいち講釈や説明が不要なのと同じ感覚で習慣にして欲しいという願いがこもっていま す。
 歯石をとるという表現に集約していますが、メインテナンスにはその他にも定期検診や早 期治療、ブラッシング指導や歯の相談なども含まれています。プロの衛生士が歯に着いた汚 れをとりながら、1本・1本の歯を診ていくわけですから、汚れのしたに埋まった小さな虫歯 や歯茎の異常をみつけだします。患者さんからの訴えや相談も重要な情報源です。「1週間前 に、ここが腫れました」といわれれば、腫れるべき原因をみつけだして必要な処置を行いま す。ときにはレントゲンを撮ることもあります。
従来歯科医というのは、歯や歯茎になんらかの症状が出た患者さんを対象として治療をおこ なうことを使命としてきましたが、実は症状に気付いたときには手遅れです。現状の歯科医 療レベルでは患者さんの満足する治療が提供できないことも、多くの質問を通してしりまし た。開業当初、余程将来の危ぶまれる患者さんに対してだけ「このままでは間違いなく全て の歯を失ってしまいます。少しでも延命するために毎月汚れをとりにきてください」とう控 えめな表現ではじめたメインテナンスですが、20年後の今では「放っとけば悪くなるに決ま っているのだから、毎月汚れをとりに来なさい」という表現に代わってきました。もちろん ブラッシングにそれなりの効果があることは否定しませんが、実際に目にみえるかたちで成 果をあげる方法となると、やはり専門家、つまり歯科医に歯の管理を委ねることです。それ が結果的には一番かしこい歯科医の利用方法といえます。毎日歯磨きをするのは当たり前、 普通にしていたら地獄に落ちるとまでは言いませんが、明らかに総入れ歯への道を順調に進 んでいくことになります。このことから歯科医の利用法というか付き合いかたを考え直して いただきたいと思います。そして、この本を通して、一人でも多くのひとがメインテナンス の必要性を感じてくださることを願っております。

【歯の寿命は50〜60年?】

歯科治療
歯木(しぼく)
日本歯科医師会雑誌 第52巻7号 より
 「野生の動物には、ムシ歯や歯槽膿漏 がないのかしら?」「動物は死ぬまで歯があるのに 人間は…不公平!」本当にそうでしょうか。動物園の動物には、ムシ歯も歯槽膿漏もあります。 柔らかい食生活、甘い食べ物、確かにこれも原因の1つです。歯が無くなる事、これは自然界 では死を意味します。考古学的にも、時代をさかのぼれば古い時代程、歯の無い(無歯顎)人 骨が少なくなります。これは、 歯の寿命が来る前に命が尽きただけと考えられます。
 歯の手入れなんかしなくても30〜40年は自然の状態で使用が可能です。ところが、食生 活と医学の進歩により人生50年の時代が訪れると、何も手入れしないでいると、人生の末期 には歯無しの状態でした。それでも生きていける人間は幸せかもしれませんが、やはり不便で す。そこで、生活の知恵として “歯磨き”が登場しました。最初は木の繊維をかじったり、塩 で磨いたりですが、これで結構十分な効果がありました。「昔のひとには、歯槽膿漏がなかった。 幸せだなぁ…」だから塩で歯を磨くと言う人が結構います。ちょっと待って下さい。時代劇で も老婆は歯無しと相場が決まっています。60歳を過ぎた老人は、今も昔も決まって歯無しで す。つまり、昔ながらの手入れでは、歯の寿命はおよそ50〜60年なのかもしれません。幸せな 事に、戦後、食糧と医療事情の向上により人生80年以上の時代になりました。これは、野生 の動物や昔の人には想像もつかない幸せですが、これをより幸せに感じる為には 時代に即した 歯の手入れが必要です。

【世間一般の歯槽膿漏のイメージ】

 歯周病と歯周疾患とは全く同義語として扱われていますが、歯槽膿漏とは若干異なった イメージをもっています。歯槽膿漏とはその名の通り、歯槽部(歯の周囲)から膿が漏れて、 歯がグラグラ、「お口が臭い!」歯医者に行っても「諦めて下さい抜きましょう」、50を 過ぎれば皆入れ歯、そんなイメージの怖い病気。まさか自分だけは… そう思っていらっしゃ ると思います。
 歯槽膿漏のイメージが世間一般に末期だけを指しているので初期の段階から予防しようと 歯周病と名前を変えてイメージチェンジを図りましたが今一つ定着していない様子です。実際、 20代の患者さんに「あなたは歯槽膿漏です」というと、とんでもない驚きの目をされること があります。「歯槽膿漏といっても初期の段階で、歯周病の初期と同じ意味ですよ」と付け 足すと一安心という表情に変わります。
 疾患としては全く同じものですので、本書では世間一般的に使われている歯槽膿漏という 表現を使います。 歯槽膿漏には不治の病というイメージがあります。確かに失われた歯槽 骨は原則として二度と回復しませんが、末永く進行を抑制することはできます。しかし未だ に歯槽膿漏と診断がつけばいとも簡単に抜歯する風潮があります。特に30代までの抜歯は要 注意です。周囲の歯もかなりのダメージを受けているはずです。抜歯そのものよりも、この ような口腔環境の改善、即ち、徹底した歯石除去や厳密なメインテナンスなどが優先される 必要があると考えています。
「歯槽膿漏です。抜く以外に、方法はありません」
そんなふうに説明されたら、歯科治療の知識のない患者さんは、歯科医の言葉を信じるしか ありません。歯槽膿漏という言葉が堂々たる抜歯の口実になっているケースを耳にします。 特に神経をとった歯や過去に治療経験のある歯の場合、原因が根っこの治療にあることが多 いように思います。
 日本歯科医師会の調べによると、35歳を超えたひとの約80%が歯槽膿漏にかかっていると いいます。16歳から34歳までの年齢でも約70%のひとに歯槽膿漏がみられるということです から、歯槽膿漏を持っている人口が持たない人口を上回っていることになります。当然のな りゆきとして歯槽膿漏が原因で歯を失うひとが多いと推測できます。実際、35歳以上の世代 では抜歯原因の約70%が虫歯ではなく歯槽膿漏による、というデータもあります。
 私は、この数字をもっと深刻に考えています。ほんのわずかな例外を除いて、50歳を過ぎ て歯槽膿漏の全くみられないひとはいません。歯の萌出が止まり、歯肉縁下に歯石が沈着し はじめた時から歯槽骨の破壊がはじまっています。従って、ある年齢を過ぎて突然はじまる ものではなく、10代後半から進行速度や程度の差こそあれ、すべてのひとに認められる疾患 だと位置付けることができます。20代は歯槽膿漏の初期。30代は初期から中期。40代は中期、 そして50代にさしかかるころから世間でも認識されている歯槽膿漏、つまり末期の歯槽膿漏 歯が出現するようになります。

【歯の崩壊方程式】

歯科治療
 統計的に歯の喪失原因をみるとムシ歯50%・歯槽膿漏50%。これらは歯科の2大疾患 と並び称されていますが、ムシ歯は10年に1本、 歯槽膿漏は50歳代の10年間にまとめ て、10〜20本の歯を奪います。 おまけに気が付いた時には手後れで、成す術が無いのが 一般的です。

10代 小学校の頃、お母さんに連れられてムシ歯治療。
20代 小学校の頃治療した歯が少し痛み出したので歯医者に行くと、神経を取られて銀歯に変身。
30代 被せた銀歯が痛んで抜歯。さらに隣の歯を削ってブリッジに。
40代 ブリッジが脱離したのでもう一度作り直してもらおうと思って受診したのにブリッジ支台の歯の崩壊が著しく抜歯。ついに部分入れ歯を装着する年齢に。
50代 最近少し歯がぐらつくのが気になり歯医者に行ったところ、歯槽膿漏という診断のもと抜歯。欠損部分をブリッジや部分入れ歯で補うも長持ちせず次々と抜歯。
60代 歯科医院受診のたびに抜歯を繰り返し、そのつど入れ歯を作りなおし口腔内の大半を入れ歯が占領。
70代 ついに総入れ歯。人生の終焉を感じる。

平均的な日本人の歯牙喪失パターンだと思います。ポイントは、20代に次々と抜髄→銀歯 という処置を繰り返している点と、50代に訪れる歯槽膿漏末期に対して何ら有効な手立て を講じていないことにあります。
 日本人の一人平均残存歯数をグラフにしてみると、50代を境に急激に残存歯数が減ってい くのがわかります。それまでに治療した歯が失われると同時に、それまで何ら問題を感じて いなかった歯までが歯槽膿漏という診断のもとに次々と抜歯されていくのがわかります。

歯科治療
【口の中を快適に保つために】

 虫歯や歯槽膿漏を防ぐための特効薬など世の中に存在しません。祈りや呪文が効を奏す るわけでもないし、メインテナンスこそが歯を守る秘訣というとあまりにも当たり前すぎ て「なんだそんなことなのか?」といささか落胆させてしまったかも知れません。  改めて強調するまでもなく、歯科医院に貼ってあるポスターにも定期検診の効果がうた われています。統計的なグラフは、その効果を示すには有効ですが、見る方も慢性化して 「良いらしいことはわかるがそこまでしなくっても」という気持ちになりがちです。この 本では、メインテナンスに対する認識を深めていただくために、具体的な例を挙げてその 効果を検証していきたいと思います。

【メインテナンスを続けた人と続けなかった人では…】

 さて、月に1回の歯石除去(スケーリング)と検診を受けた患者さんと、受けなかった患 者さんでは、長い歳月を経たあとどのような違いが現れるのでしょうか。私が記録してきた カルテを手がかりに、その具体例を紹介していきましょう。比較の対象として選んだのは、 50歳を過ぎ急激に歯を失うであろうと予測される二人の患者さんです。二人とも53歳で、 性別・歯の残存状況に多少の違いはありますが、平均的な破壊状況だと思います。女性の 方がEさん、男性がHさんです。
 Eさんの主訴は、右下と左上臼歯部の欠損部分を補綴(ほてつ)することでした。それ以 外にも、被せのなかに虫歯があり、歯槽膿漏で今にも脱落しそうな歯もあります。しかし、 自分の気になる歯の治療が終わった途端、メインテナンスに移行することなく、そのまま10 数年来院が途絶えてしまいました。その間他の歯医者に通っていたらしく、「行くたびに抜 かれてこんなになってしもた。先生何とかしてぇ」ということで再び来院されました。今更 何とかしてと言われても無くなってしまったものは取り返しがつきません。出来るだけのこ とはしますということで、治療後のメインテナンスを約束して治療にとりかかりました。 再治療後5年を経過した現在、やっとメインテナンスの効果が理解していただけた様子です。

歯科治療
歯科治療
歯科治療
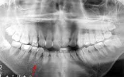
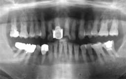
Eさん 初診時 53歳 女性
残存歯数26本とはいえ、10代のころみたいな万全な状態の歯は1本もなく、クラウンの中は 虫歯、歯周疾患も末期の状態です。徹底的な治療とメインテナンスが必要と思われます
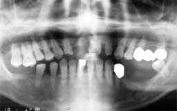
Eさん 12年後 65歳
治療やメインテナンスに対する理解が得られず、主訴のみの治療で来院が途絶えてしまいまし た。その後他院を転々と受診したそうですが、約10年間に予想通り大半の歯を喪失
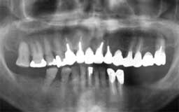
Eさん 17年後 70歳
再来院後は毎月のメインテナンスを継続され、今のところ何とか残存歯がそのまま機能してい ます

 一方Hさんの方は「50歳まではもう少し歯があったんやけど、歯医者に行くたびにぬかれ てなぁ。60歳までくらいは保つやろか」と言われて来院されました。親知らずの抜歯を含む 一連の補綴(ほてつ)処置終了後「騙されたと思って毎月汚れを取りにきてください」と20 年前らしく控えめな口調でメインテナンスを勧めたように思います。控えめな表現でも“藁 にもすがる”思いの患者さんにとっては十分な動機付けだったようです。その後休むことな く毎月来院され、約20年間順調に経過しています。72歳になられた現在、「うまくいけばこ のまま10年くらいは何とかなりそうですね」と嬉しそうに笑っていらっしゃいます。
 意図的に何もしないコントロール群を設定できないことはもちろん、一度来院が途切れて 再び来院される患者さんの数もそんなに多くない臨床観察ですが、Mさんのようなケースは 少なからずいらっしゃいます。治療やメインテナンスなしでは、歳相応に悪くなっていくる というのを全ての症例を通して実感しています。
 ある一定以上進行したものについては、いくらメインテナンスを行っても5年の寿命が10年 ・15年に延びるだけで最終的には不愉快な状態を余儀なくされてしまいます。反面現在では、 ある一定以内であれば、生涯現状維持ができることを確信しつつあります。結果的にHさんの 場合、残存した歯の歯槽膿漏がある一定以内であり、このことを裏付ける症例となりました。 骨移植や歯槽膿漏手術によって切り開こうとした当時にあって、今すぐ手術をする程でもない かと判断したことが大きな成果をもたらしたのです。後で紹介する歯槽膿漏末期ともいえる症 例と違って、手術や特殊な処置を加えることなくただひたすら歯石を取りつづけた結果である ことに驚きと、将来に対する光明をみいだした貴重な症例です。

歯科治療
歯科治療
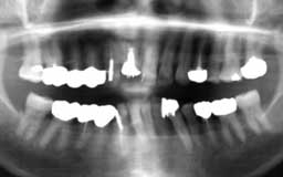
Hさん 初診時 53歳 男性
50歳頃まではもう少し歯があったそうですが、歯科医院に行くたびに「歯槽膿漏です」といわ れて抜歯。60歳まで何とか総入れ歯にしたくないという
Hさん 19年後 72歳
上顎の補綴処置と左下の親知らずを抜歯。歯槽膿漏の手術を行うことなく月に1度の歯石除去 を継続して行った結果、初診時から大きく変化することなく19年を経過しました

 Yさんは54歳の女性で、同世代のひとに比べてやや良好な感じがします。初診時、親知ら ずを含む残存歯数も26本ですが、歯肉縁下に大量の歯石沈着があり、上顎臼歯部の歯槽骨破 壊程度から、今後の急激な骨破壊が予測されました。来院当初はメインテナンスにそれほど 熱心でなく、2、3年ごとに新たな疾患を訴えて治療を繰り返していました。その都度大量 に沈着している歯石を取りながら、メインテナンスの必要性を訴えてきました。その後、周 囲の友人が次々と入れ歯になるのをみて怖くなったということでメインテナンスをはじめま した。途中色々ありましたが、21年経過した現在、初診時以来歯を失うことなく順調に経過 しています。このまま続ければ、生涯入れ歯になることなく過ごせると思います。

歯科治療
歯科治療
Yさん 初診時 54歳 女性
残存歯総数26本ですが、大量の歯石と上顎臼歯部の歯槽骨破壊が不気味です
Yさん 21年後 75歳
初診時以来歯を失うことなく順調に経過しています

 51歳のNさんも歯槽骨状態は平均よりも数段良好です。私の医院に来院される10年以上前 から、歯槽膿漏のメインテナンスに熱心な先生にかかっていらしたそうですが、その先生が 亡くなられたために、メインテナンスを希望して来院されました。元々ブラッシングも熱心 で、歯肉状態も良好で歯槽骨破壊もほとんどみられません。最初は1年ごとに歯石除去を行っ ていましたが、4年ほど来院が遠ざかっていたあいだに多数の虫歯が発生してしまいました。 これを機会に10年前からは毎月のメインテナンスにきりかえました。20年経過した現在、金 属の被せが非常に目立ちますが、歯肉および歯槽骨の状態には変化がなく28本すべて健在です。

歯科治療
歯科治療
Nさん 初診時 51歳 女性
10年以上前からメインテナンスを受けていたということで、治療済みの歯や虫歯が多いもの の、歯周組織の状態は良好
Nさん 20年後 71歳
金属の被せが非常に目立ちますが、28本すべて健在は立派です

【歯槽膿漏手術は末期で行う】

 以上のように、残存する歯が歯槽膿漏の中程度である場合は疾患をコントロールするだけ でも十分な効果が得られることがわかりました。一般に末期の歯槽膿漏には、手術ではなく 抜歯という処置が行われています。中程度のものでさえ満足のいく結果が得られていないか らだと思います。私の場合は、逆に末期の症例に対してのみ手術を行っています。それは私 の手術に対する考え方と臨床経験に基づく自己防衛的な発想からはじまっているのかも知れ ません。
 今から10数年前、人工骨補填材(ハイドロキシアパタイト・HAP)というものが世の中に登 場してきました。失われた骨を自家骨で回復する試みは古くから行われており、一定の評価 が得られているように認識しております。問題は移植する骨をどこから採ってくるかという ことです。上顎の親知らず付近の骨を削ったり、腰骨を切り取ったりして行うのが一般的な 術式です。開業医の私にはかなり抵抗のあるというか、ほとんど不可能な術式です。その点 人工骨には、骨採取の手間と労力がありません。開業医の私にも十分できる夢の手術方法に 思えたものでした。骨が再生するのであれば、中程度のものは先延ばしにして救い様のない 末期の症例を優先的に手術することにしました。
 そんな時代背景のもと、大学病院でも全部抜いて総入れ歯にすることをすすめられたIさん が来院されました。「ここに来れば何とかしてくれる」といううわさを聞いて遠方から意を 決して来られたみたいでした。治療の方針を決める前にレントゲン写真を撮って歯槽骨の破 壊程度を確認しました。「全部抜いて総入れ歯」と宣言された経緯からは想像もできないく らい骨量が残っていたことには少し驚きを隠せませんでした。全体に中程度以上で、部位に よっては末期状態のところもありましたが、まだまだ総入れ歯にするには早すぎる症例です。
 歯槽膿漏の進行傾向が確認される場合、そのまま放置しておくと歯槽骨破壊がどんどん 進行していよいよ入れ歯にしたときに入れ歯を維持する骨が無くなるので、早めの抜歯を 進める風潮が歯科界を支配しています。歯槽膿漏は治療しても無駄、という認識は今でも 大勢を占めているように思います。確かに何もしないでそのまま放置しておくと歯槽骨破 壊がどんどん進行するでしょう。しかしそれは何もしなかった場合のことです。幸いにし て夢の素材が開発された直後のことですので、Iさんには人工骨の移植を含む一連の歯槽膿 漏処置を行うことにしました。  手術は左右の臼歯部と前歯部を上下に分けて、計6回行いました。全ての歯に動揺が認め られましたので最終的な固定を考え、歯を全て抜髄して連結固定を行うことにしました。 8か月間の期間を経て全ての治療を終了し、そのままメインテナンスに移行して現在にいた っております。その間、一部は抜歯したり治療のやり直しを余儀なくされた部分もあります が、14年を経過した現在もほとんどの歯が健常に機能しています。年齢的なことを考慮にい れて、数年後にもう一度大掛かりな補綴処置を行えば、生涯総入れ歯にすることなく経過す るものと期待しています。

歯科治療
歯科治療
Iさん 初診時 54歳 女性
全体に歯周疾患による歯槽骨破壊が1/2以上進行し、他院で「全部抜いて総入れ歯」と言わ れたそうですが、歯牙保存を希望して来院されました
Iさん 14年後 68歳
歯周疾患抑制と動揺歯固定のため、全歯の抜髄と毎月の歯石除去を継続して行いました。 最終的に2本の歯を失いましたが、機能的には咬合関係を十分保持しています

【歯槽膿漏手術とその後のメインテナンス】

 歯槽膿漏の手術は必ずといって良いほど再発の危機をはらんでいます。手術とはいえ炎症の 原因である歯を残しているからです。歯がある限り、歯石が沈着して炎症を起こす可能性があ るのです。ましてや、手術という最後の手段を行わざるを得なかった口腔環境の管理に改善が なければ、簡単に再発するということを忘れないで下さい。この再発を防ぐために術後のメイ ンテナンスは不可欠です。
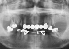
 Kさんは、来院当時49歳でした。上顎に唯一残った1本の犬歯もグラグラで周囲の骨の支持 を全く失っています。49歳で上顎歯総入れ歯ということでまことにお気の毒ですが、失ってし まったものはどうすることもできません。幸いにも下顎にはたくさんの歯が残っています。し かし、歯槽骨の半分以上は破壊され、何もしないでおくと5年後には上顎と同じ運命が待ち受 けていることは容易に予想できます。先ほどのIさん同様、全ての歯を抜髄して歯槽膿漏の手 術と連結固定を行いました。17年を経過した現在、手術以来1本の歯も失うことなく、さらに は追加的な処置を施すこともなく経過しています。Kさんが、毎月の歯石除去を継続されたこ とはいうまでもありません。

歯科治療
歯科治療
Kさん 初診時 49歳 女性
年齢の割に歯周疾患進行傾向が強く、上顎に残る1本も瀕死の状態です。このまま放置してお くと、下顎も2〜3年以内にほとんど全ての歯を失うことが予想されます
Kさん 17年後 66歳
下顎残存歯に対して、全ての神経を取ったのち歯周外科処置をと補綴物による連結固定を行 いメインテナンス継続

 一方、Aさんは1歳若く48歳でしたが、Kさんほどではありませんでした。歯槽膿漏の手術 は上下の前歯部だけで、臼歯部については手術を見送ったほどでした。とはいえ全顎の補綴( ほてつ)処置を行い経過観察して追加処置を加える予定でした。1年間の治療と、その後1年 間のメインテナンスを継続していましたがそのまま来院が途絶えてしまいました。10年後に再 び来院されるまでの間、他の医院にはちょこちょこ通っていたらしく、数箇所の歯が抜歯され、 新たな補綴(ほてつ)処置も施されていました。
 上顎の歯は完全に歯槽骨を失いグラグラというよりむしろ、プラプラという表現があてはま る状態です。こうなると「何とかして欲しい」という願いにも応えることはできません。「死 にそうな歯の延命処置は可能だけれども、死んでしまった歯を生き返らすことはできない」と いうことで可能性の全くない歯を全て抜歯し、入れ歯にしてしまいました。その後残った歯を 大切にということで、毎月のメインテナンスを継続していますが、失った代償があまりにも大 き過ぎたと思います。
 手術をした前歯が、しなかった上顎臼歯部と同様に10年間延命したことは手術の効果を物語 るものですが、同時にメインテナンスなくして歯牙の保存が実現しえないことも同時に物語っ ています。このKさんとAさんの比較でメインテナンスがいかに重要かおわかりいただけたと 思います。世間で不可能と思われている末期の歯槽膿漏患者の手術をする私が偉いのではなく、 実際にメインテナンスを行っている衛生士の助けと、それを指示し、メインテナンスの継続を 説き続ける努力こそが最大の功労者なのです。

歯科治療
歯科治療
Aさん 初診時 48歳 男性
残存歯数は多いが、歯周疾患末期にさしかかる歯を含め将来が危ぶまれる状態です
Aさん 治療終了時
上下前歯部の歯周外科手術とほぼ全顎にわたる補綴処置を行い治療終了。その後メインテナ ンスを継続しましたが、数か月後から来院が途絶えてしまいました
歯科治療
歯科治療
Aさん 10年後(再来院時
10年間の間に、他院にて多少治療を行ったようですが状況が思わしくなく再び来院されまし た。その間相当数(5本)の歯を失い、残った歯もほとんど使い物にならない状態です
Aさん 初診より16年後(再治療より5年)
使えそうな歯を残してほとんどの歯を抜歯して入れ歯にしました。如何に丁寧な治療をして もメインテナンスなしでは歯を保存することは不可能です。この状態になってからはメイン テナンスの重要性を十分理解されて毎月通院されています

【若いひとによくみかけられる歯の病気】

歯科治療
Fさん 初診時 21歳 女性
21歳という若さにもかかわらず、全体に歯石沈着が著しく右下の小臼歯部分では5mm以上の 骨欠損が認められた
歯科治療
Fさん 16年後 37歳
全体に歯槽膿漏の進行はみられない。同じ過ちを繰り返さない努力が、手術した歯の運命 よりも重要です
歯科治療
Fさんのお母さん 初診時 50歳女性
年齢の割に残存歯数が少なく入れ歯をまぬがれるのがやっとの状態
歯科治療
Tさん 初診時32歳 女性
来院する数年前から急激な歯牙動揺がはじまったといいます
 10代後半ですでに前歯と第一大臼歯の顕著な骨欠損が認められるのが若年性の歯槽膿漏です。 全身的な疾患が関与しているとか、その歯特有に生息する歯周病菌が存在するとも言われてい ます。前歯と第一大臼歯は早期に萌出して成長が止まった結果歯石沈着が早く、全身疾患によ る免疫抵抗力の弱さも引き金となり発症すると解釈している私には特殊な疾患だという認識は ありません。しかも不幸な?ことに典型的な症例に出会ったことがないので詳しい状況は分か りません。ただし、若年性歯周疾患と思われる症例には少なからず遭遇しているのではないか と思っています。といいますのが、10代ですでに明らかな骨欠損のみられる患者さんは時々み かけるのです。しかし、そんなひとには、熱弁をふるって毎月の歯石除去を強引にでも勧めて、 しっかりコントロールしているので若年性歯周疾患だったかどうかが定かではないのです。
 その一方で、30代前半で著しい骨欠損のみられる患者さんに接する機会も多くあります。そ の人たちに共通して言えることは、10代のころから歯科医に歯槽膿漏を指摘され、しっかり歯 を磨くことを教えられているということです。もう一つの共通点としては、全身的にも化膿し やすい体質であることがあげられます。普段の生活に支障をきたすような重篤な疾患はありま せんが、免疫抵抗力の弱さが伺われる方ばかりなのです。1日に40分かけて歯磨きをしていた という話はざらです。それにもかかわらず、不幸にして30代前半で明らかな骨欠損と歯の動揺 が認められます。通常30代というと、歯槽膿漏の手術はおろか、徹底的な歯石の除去もパスし ていきなりメインテナンスに入る年代ですが、抜髄・連結固定といった歯槽膿漏の最終的な処 置を行わざるを得ないことがしばしばあります。

 Fさんが最初に来院されたのは、21歳になったばかりのころでした。右下の小臼歯部分に深 い骨欠損がありました。全ての歯に大量の歯肉縁下歯石が沈着しており、予断を許さない状況 だったことを記憶しています。あとでお見えになった妹さんも10代ですでに歯槽膿漏の手術を 受けていたそうですし、お母さんも50歳にしては極端に残存歯の少ないことから、家族的にも 歯槽膿漏の進行傾向が強いことが伺われます。さっそく全顎の歯石除去と問題部位の手術を行 いました。歯石沈着の割には歯槽骨破壊が少なく、治療は比較的早く終了し、術後のメインテ ナンスに移行しました。結婚して遠くに引っ越された現在も毎月の歯石除去は欠かさない熱心 さです。
 一方Tさんの場合は深刻です。しっかり手入れされて美しい歯肉の割には歯槽骨の破壊が顕 著で、下顎の臼歯部をはじめほとんどの部位で致命的な骨欠損が認められます。ご多分に漏れ ず、高校生のころから歯科医に歯槽膿漏を指摘されながらも熱心な歯磨き以外に特別な手立て を講じなかったとのこと。そして最終的には歯医者にも見放される状況に追い込まれてしまっ たようです。
 ブラッシング指導よりも毎月の歯石除去を強調する私にとっては気の毒でならない患者さん の一人です。下顎の第一大臼歯は手術やメインテナンスの甲斐なく2年後には抜歯しましたが、 それ以外の大臼歯部分は抜髄のうえ連結固定を行ってメインテナンスを続けています。4年を 経過した現在、新たな歯槽骨破壊は認められず、ひとまず安心といった状況です。歯槽骨の破 壊は歯根周辺で起こった炎症の結果で、周辺に生息している細菌が関与しているであろうこと に疑問の余地がないとは認識しています。しかし、特殊な細菌、強力な細菌が炎症を起こして いるのであれば簡単に見つかるように思うのです。炎症の成立を細菌の種類や生息数から導き 出そうという考えには限界を感じます。万人が認める免疫抵抗力が炎症成立に大きく関わって いることと同時に、歯石という異物存在の大きさをもう一度見直してみる必要があるのではな いでしょうか。

【疾患のコントロール】

 重症な症例ばかりみてきましたが、歯槽膿漏の治療はもっと気軽な考え方で十分対応できる ものです。忘れてはならないことは、歯磨きをして今まで通りのケアだけを行っている限り、 歯槽膿漏の末期は、年齢はともかく何時か必ず訪れる不幸だということです。冒頭でも申し上 げた通り、究極の言葉を借りるならば、若いときから全てのひとに歯槽膿漏が始まり、生き続 けるかぎり必ず末期症状が訪れます。
 しかも一旦喪失した歯槽骨は二度と再生しません。歯石をとって歯肉からの出血が治まれば 治ったと勘違いされている方も多いと思いますが、歯肉の炎症が歯石除去のおかげで一時的に 消失しただけで、若い頃の状況に戻ったわけでも、進行が止まったわけでもありません。です からいくら歯磨きをしても毎日のように沈着してくる歯石を除去し、現状より悪くならないよ うにコントロールするのが最善の方法となるのです。毎日の歯磨きがすっかり習慣となってい る現代において、更なる歯磨き方法、つまり専門家による歯磨き、プロフェッショナル・トゥ ースクリーニングを新たな習慣として取り入れるだけのことです。そうすれば、歯槽膿漏は仰 々しい治療を必要とするわけでもないし、身構えるような疾患でもないという認識をもってい ただけると思います。
 「何事も予防が肝心」とは少し違います。予防って、起こり得ることが想定される病気や災 害を前もって防ぐことです。歯槽膿漏の場合、成人になれば全てのひとが罹患しており確実に 末期へと進行しているわけですから、その疾患の進行を抑制することが必要なのです。疾患を 抑制することは予防ではなく治療です。

【定期的なメインテナンスで異常をみつける】

 口腔内全体をスケーリングすることにより色々な異常を見つけることができます。1歯・1歯 丁寧に汚れを除去していきますので、補綴(ほてつ)物の下に存在する虫歯や歯と歯の間に存在 する見つけ難い虫歯も見つかります。また、プラークなどの汚れが目詰まりして一見何もないよ うにみえる細かな虫歯が見つかることもあります。歯茎の腫れているところでは、取り残した歯 肉縁下歯石やセメントがみつかることもあります。
それ以外に最も重要な発見として脱離した補綴(ほてつ)物があります。脱離という病名は意外 と軽くみられる傾向にありますが、特に中高年では抜歯原因の上位にランクする重大な病名です。 単独の補綴(ほてつ)物では珍しいことですが、連結冠やブリッジでは一方の補綴(ほてつ)物 が脱離していても気付かないことが多いようです。そのまま放置しておくと、もう一方の補綴( ほてつ)物が脱離するまで気が付きません。その期間が半年・1年におよぶと、先に脱離した方 の歯では虫歯が急速に進んで全く使い物にならなくなってしまいます。その結果大切な歯を失う ことになってしまいます。一本の歯を失うということは、連鎖的に周囲の歯の寿命を縮めること になりますのでこれはとても重要な発見です。
 この脱離の多くは、患者さんからの訴えでみつかります。「被せが持ち上がる様な気がします」 といった訴えは無論のことですが、「1週間ほど前に腫れました」「この辺の歯茎が痛い」とか 「この歯が臭い」という様な訴えも該当します。普段の手入れが行き届いているために、そのよ うな細かな異常に気が付くというメリットもあるでしょう。普通この程度の違和感であれば、わ ざわざ歯医者に行くこともなくそのままになって大切な歯を失ってしまうところですが、予約日 の決まっているメインテナンスでは気軽に相談することができるので、大事を未然に防ぐことが できるのです。
 病気が進行する前にそれを摘み取ってしまうことが、これからの歯科医が果たさなくてはいけ ない第一の役割だと思います。

【現状維持を見直す発想】

 病におかされた患者さんにとって最大の関心事が、疾患の治癒であることは十分承知しており ます。しかし、頼みの歯医者が回復不能と結論をだしているのですからお先は真っ暗です。一つ しかない体と違って複数の歯が存在する歯科治療において、一つの歯にだけ固執していては埒が あかないと思います。最後の1本であるならともかく、今何ともないと思っている他の歯も同じ 運命をたどろうとしていることを忘れてはいけません 
歯槽膿漏はその1本に留まらず、同じような状況の歯が多数存在しています。おまけにそれらを 順次抜いていくうちに、そのとき健全と思われていた歯にも過剰な負担がかかって、10年後には 全てを失ってしまう可能性が高いことを心にとめておいて下さい。たとえ、それらを手術して10 年・15年延命したとしても人生終焉までに同じような悲劇がふりかかってきます。そのことを少 しでも早く認識して、メインテナンスをはじめてください。
 他の歯医者で見放された歯の治療を多く経験している私は、そのことを嫌というほど考えさせ られました。歯槽膿漏のときもそうですが、特に虫歯の末期治療の際に痛感させられる問題です。 折角技術を駆使して治療した患者さんが、数年後に隣の歯を抜かれたといって来院されることが あります。あのボロボロな歯が今でも残っているのに、何もなかった隣の歯が抜かれるような事 態に納得がいきません。今でもその患者さんの顔を鮮明に記憶しているくらい悔しい思いで一杯 です。同じ過ちを繰り返さないことは、周囲のひとからみれば簡単なことなのに本人にとっては 意外と大きな落とし穴のように思えます。
 「その歯のことは半分あきらめて、それ以外の歯が同じ運命をたどらないように努力しましょ う」という説明をしたときに、半数くらいの患者さんがけげんそうな顔でにらみつけていらっし ゃるのを感じます。「例えその歯がなくなってしまっても、それ以外の歯が生涯今のままであれ ば文句はない状態といえますよ」と付け加えても、そんなうそみたいな話は信じられませんとい う表情です。言葉で信じろという方が無理なのかもしれません。できるだけ多くの症例を提示し て、その効果を訴えるのが最善の方法でしょうか。