歯槽骨再生は究極の治療!!

デンタルダイヤモンド  2000年11月号(通巻352号)  25(14):58-66
歯科臨床 次の一手

歯槽骨再生の夢

● 姫路市・開業  河田克之 Katsuyuki KAWADA

※ 歯槽骨再生は究極の治療

 歯周疾患以外の臨床においても骨の破壊現象は存在しますが、その多くは原因の除去と伴に 生体の治癒能力により骨再生が行われています。骨再生が行われている臨床のキーワードは、 「骨破壊の原因除去」です。

 一方歯周疾患により破壊された歯槽骨を再生する方法として、人工骨補填材(ハイドロキシア パタイト他)・歯周組織再生誘導材料(エムドゲイン)や組織誘導再生療法(GTR)などの材料や 術式が相次いで発表されていますが、その評価は必ずしも一定していないものと認識しています。

 例えば、インプラントにGTR法を応用すれば(GBR)骨はできるが、歯周疾患罹患部分において は再生が期待できないという評価は最も代表的な事例です。骨再生のキーワードが、「骨破壊の 原因除去」であるならば、歯周疾患罹患部分には骨破壊の原因が存在し排除されていないこ とが最大の理由と考えられます。臨床が教えてくれた様々な事例を考察して、臨床医の立場から 歯槽骨再生を志した経緯と成果を総括したいと思います。

                             

※ 口腔外科の臨床が教えてくれたこと

 口腔外科在局中、多くの外科手術に触れ、抜歯をはじめ歯根嚢胞以外の嚢胞や良性腫瘍 摘出後に起こるダイナミックな骨再生には多くの感動を覚えました。骨が再生するための条件と して、周囲に健全な骨組織が存在することは周知の事実です。下顎骨を離断した状態では再生 は望めませんが、自家骨移植などを行うことにより見事に再建される様子は実に感動的です。 遊離端ではいけない。双方に健全な骨が必要であることを学びました。

 その一方で、歯周疾患に罹患した歯槽骨の再生が原則として不可能なこと、歯根嚢胞は摘出し ただけでは良好な予後が得られない事実との整合性については明確な解答が得られません。

 大きな歯根嚢胞の処置として、歯根端切除術は最も頻度の高い小手術です。嚢胞に汚染さ れた根尖部歯根を削除して逆根充を行う術式の原則は今も同じです。当時は主にアマルガム を逆根充の材料として使用していましたが、予後が極端に悪いことは悩みの種でした。アマルガ ムの親和性の悪さもさることながら、折角苦労して逆根充しても容易に脱落してしまうのが主な 原因のようです。一方、少々大きな歯根嚢胞であっても根管治療を行って綿密に根管充填を行 ったものは、汚染されたといわれている根尖部歯根を含めて見事に歯槽骨の再生が期待できま す。感染源であるメインの根管内汚物を除去して親和性の良いとされる材質で死腔封鎖する(根 管充填)ことが、歯槽骨再生の必要条件であることを教えてくれました。つまり歯根嚢胞の場合、 嚢胞摘出や根尖部の切除より根管治療が原因の除去に近いということです。結果として、嚢胞 に汚染されたと思われている根尖部歯根は汚染されていないものという判断も成立します

※ 骨移植の経験から

 歯肉剥離掻爬術(FOp)は、現状維持の手術として今でも基本的な術式です。歯槽骨の造成を 目的とした自家骨移植は、骨採集の制限がある上に、期待するほどの効果が得られないことも あってそれ程多くの症例を経験することができません。一方、1985年頃に発売されたハイドロキ シアパタイトを主流とした人工骨補填材は、骨採集の制限がないことから多くの症例を経験しま した。

 結果は、歯肉剥離掻爬術の現状維持効果と術後のメインテナンスにより長期間機能保全を果た ましたが、肝心の骨再生効果に有効性は認められません。また、十数年を経た症例では、骨補填 材が異物として排出される症例も散見されました。
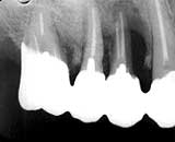
 嚢胞摘出後のように元々歯槽骨再生の見込まれる骨空洞に人工骨補填材を応用した症例では 、間違いなく骨補填材を核としたような骨再生が認められます(図1〜3)。骨再生が行われ ない歯周疾患罹患部分との相違は何かという疑問が浮かび上がってきます。

 日本歯周病学会の特別講演で、外国人の講師がとぼけた調子で講演されていたのが印象 的でした。「ところが反対側の6番部位では見事な歯槽骨の再生が認められました。」と解説されス ライドが写しだされた瞬間、笑いとため息の交錯したどよめきが会場を埋め尽くしました。反対側の 6番は抜歯されていたのです。抜歯すれば歯槽骨の再生が認められることは歯科医にとって常識 ですが、この事実を考察すると、歯槽骨破壊の原因であった歯周疾患罹患歯が除去され周囲には 健全な骨が存在し、必要条件が整っていることが分かります。

図1.初診時Dental写真
  患者:42歳、女性
図2.術後1か月
(根尖部掻爬+人工骨補填)

図3.術後13年
人工骨は骨に取り込まれて安定

※ 歯牙移植の経験から

図4.|7術直後(他家移植)
  患者:61歳、女性
図5.術後1年
近心側において骨再生が認められる
 移植歯を選択するにあたって、自家移植と他家移植にかかわらず、歯周疾患罹患歯もしくは 歯周疾患罹患部分は不適切とされています。歯牙移植の臨床的な意義はともかくとして、暫間 固定に問題がなければ周囲骨との間隙の大小に関わらず歯槽骨が再生され最終的に移植歯 は周囲骨と癒着します(図4・5)。この事実は、歯槽骨再生の条件が全て整ったこと を意味します。反対に歯周疾患罹患歯や罹患部分に歯槽骨再生が認められない事実は、それ らの条件が整っていないことを意味します。

 歯周疾患罹患部分のセメント質にはエンドトキシンの存在が問題視されています。研究によれ ば、エンドトキシンは浅在性で象牙質には浸入していないといわれています1) 。歯槽骨再生を阻害する因子がエンドトキシンだけであればセメント質を除去することで 解決しそうなものですが、現実はそう簡単なものではありません。健全な象牙質であれば歯槽骨 再生が望める事実を考えると、どうも原因は歯周疾患罹患部分の象牙質に歯槽骨再生を阻害す る因子が潜んでいそうです。

図6.歯周疾患罹患歯
  患者:61歳、男性
図7.同 研磨切片
象牙質の構造に何か違いがありそう
図8.歯周疾患罹患歯(研磨切片)
  患者:31歳、男性

象牙質は全体に白濁
図9.健全歯(研磨切片)
  患者:54歳、女性

経年的に透明象牙質が増加
図10.|1Dental写真(無髄歯)
  患者:42歳、女性

歯根破折により抜歯
図11.同 分割面
抜髄後に透明象牙質に変化
※ 歯周疾患罹患部分の象牙質はどうなってるの?

 まず歯周疾患罹患歯の研磨切片を作ってみました。何故か罹患部分の象牙質は白濁して見え ます(図6・7)。染色したり顕微鏡で覗いてみたりしましたが、所詮開業医のレベルです ので明快な解答は得られません。分かったことは教科書にも書かれているように、健全な象牙質 は経年的に石灰化程度を増して"透明象牙質"と呼ばれる限りなく無機質に近い硬化象牙質に変 化していくこと1・2)(図8・9)と、歯周疾患非罹患部分の象牙質と 無髄歯が限りなく透明象牙質に近いことでした(図10-11)

 歯槽骨の破壊と動揺が著しく抜歯を選択しようとするドクターに対して、「何とか抜かないで」と患 者が懇願する光景は日常臨床では決して稀なことではありません。そのまま放置しておくわけにも 行かず、せめて抜髄して連結固定やブリッジを装着して機能保全を図ります。そんな症例が思いも かけず長持ちしたような経験は臨床医なら誰にでもある経験だと思います。歯は加齢と伴に石灰 化度を増して硬化していきます。無髄歯も経年的に割れ易くなる一方で石灰化度を増して硬化して いるものと思われます。

 歯周疾患の進行を抑制する因子としての象牙質石灰化程度の違いと、歯槽骨再生を阻害する因 子としての象牙質に何らかの因果関係があるものと確信しました3)

※ 歯根デブライトメント

 歯根デブライトメントは、"根面の覚醒"と訳すそうですが、近年のアメリカでは歯周疾患治療の基 本的な考え方になっています。日本でいわれているルートプレイニングという言葉は,アメリカでだん だん使われなくなり、根表面の縁下歯石,壊死セメント質,さらに壊死セメント質を除去した後に,さ らにLPSとかが浸透している15から50マイクロマーターのセメント質を除去する操作を指します。

 セメント質のどのくらいの 深さまで細菌の内毒素(リポ多糖体)が,浸透しているのか目で見るこ とは不可能ですから、テトラサイクリンで根面処理をして無毒化したのち、不要な免疫作用を抑制す るファイフロネクチンのフラグメントを使って根面と歯肉を付着させることも行われているそうです。

 この考え方は、私の推測する理論と全く同じで日常臨床でも応用しています。ただ一つ異なること は、"不要な免疫作用"を起こす原因を象牙細管内に存在するであろう変質した有機質を主たる要 因としている点です。

※ 連続波 Nd/YAG LASER による根面処理

図12.連続波 Nd/YAG LASER
  (SLTジャパン社製)
図13.レーザー照射後 研磨切片
象牙質内の有機質を蒸散
 歯槽骨再生を阻害する因子として、象牙細管内に存在するであろう変質した有機質を考える私に とって、最も効率の良い除去方法は、連続波 Nd/YAG LASER(図12) による根面処理で した。牛骨や人骨から骨補填材を製造する方法として、1400℃まで加熱処理を行って含まれる有 機質を蒸散させます。それと同じことを口腔内で行うとするならば、組織浸透性が強くピンポイント の過熱処理が可能なLASERは魅力的な存在です。

 歯根表面に墨汁を塗り10W程度のLASERを照射すると5秒程度で歯髄が煮えたぎったように温度 が上昇します。勿論有髄のままでは使用できません。抜髄した上でこの操作を行えば、象牙細管内 に存在する有機質を蒸散させることが可能です(図13)

※ 臨床応用編

 【症例1】(図14-18)は65歳・男性の654| 部位にFOpと、連続波 Nd/YAG LASER による根面処理を行った症例です。術前の抜髄時の所見 では、5|遠心側に多量の歯肉縁下歯石と 根尖側1/4におよぶ歯槽骨破壊が観察されます。
 5|遠心側では、抜歯窩の骨再生と同様に 術後1年ほどの間に周囲歯槽骨の存在する高さに比例した歯槽骨再生が認められます。 6|の遠心側でも同様に歯槽骨再生が認めら れますが、周囲歯槽骨の骨稜が低いために著明な回復は認められません。

図14.初診時Dental写真
  患者:65歳、男性
図15.術後3か月
(FOp+レーザー根面処理)

図16.術後6か月
破壊骨面の平坦化が認められる
図17.術後1年
骨再生はおおむね終了
図18.術後5年
メインテナンスが悪いと術後2年を境に
再び吸収が進行することもある
 



 【症例2】(図19-27)は50歳・女性の|4 です。周囲に残存する骨稜から、歯頚側1/2までの歯槽骨破壊が歯周疾患進行に伴うもので、そ こから下の骨破壊は根尖病巣によるものと思われます。動揺が著しく通常の処置では保存が不可 能です。|345 の根管処置と支台形成を行 いあらかじめ連結した補綴物を作成した上で、 |4 を抜歯して歯周疾患罹患部と思われる歯頚側1/2を連続波 Nd/YAG LASER による根面処理を行 い再植しました。症例1同様に、術後1年間に周囲骨稜に比例する形で歯槽骨の再生が認められま す。

図19.術前Dental写真
  患者:50歳、女性
図20.レーザー根面処理+歯牙再植
レーザー照射は罹患部のみ
図21.術後1週間
術後固定を兼ねた補綴物は再植と同時に装着
図22.術後1か月

図23.術後3か月
根尖側1/2の骨再生完了
図24.術後6か月

図25.術後9か月
骨再生はほぼ終了
図26.術後1年
歯槽硬線を認める
図27.術後2年
著変なし

※ 一般的な術式

 歯周疾患初期治療と平行して手術予定部位の抜髄処置を行い、手術操作を行い易くする ために、術前に支台形成と暫間固定をかねた連結タイプの暫間被覆冠を作成しておきます。

 通法に従って歯肉剥離したのち、有窓鋭ヒとロングネックのラウンドバーを用いて不良肉芽を除去 して止血と手術野の明示を計ります。続いて超音波スケーラーとスムースバーを用いて罹患根面に 付着した縁下歯石を取り除きます。

 罹患根面に墨汁を塗布したのち、連続波 Nd/YAG LASERを5秒程度照射して再びスムースバー にて根面を研磨し、テトラサイクリン筋注液(ファイザー製薬)と強力ミノファーゲン・シー(ミノファーゲ ン製薬)で洗浄して縫合します(図28-37)

 術後の2か月間は、暫間被覆冠に貯留する汚れを除去し、可及的に歯肉回復を待って最終的な 補綴物を装着します。また、メインテナンスはプロフェッショナル・トゥースクリーニングを毎月行うこと を原則とします。

図28.術前Dental写真
  患者:58歳、男性
図29.術前Dental写真

歯槽骨吸収は根尖側1/4に及ぶ
図30.ロングネックラウンドバー(右)
    とスムースバー(左)
図31.不良肉芽除去のうえ
歯肉縁下歯石を除去
図32.罹患根面に墨汁を塗布

図33.ヤグレーザーによる根面処理後
スムースバーにて根面研磨
図34.テラマイシン筋注液
根面殺菌のため洗浄
図35.強力ミノファーゲン筋注液
アレルギー反応抑制のため洗浄
図36.術直後

   
図37.術後2年
健全な歯槽骨が存在した位置
まで骨再生が認められる
 

 

※ 失敗症例に学ぶ

【症例3】 
患者:61歳 男性
主訴:87|動揺が気になる
処置および経過: 87|を抜歯したのち知覚過敏の著しい6|を抜髄のうえ、クラウンを装着し て治療を一旦終了(図38)。その後、1年に一度程度来院され、その都度全顎のスケーリ ングを行っていました。しかし5年を経過した頃には、654|部の歯槽骨破壊が著明となり (図39)、歯周外科処置を決断しなくてはならないほどでした。
 歯肉剥離掻爬術を行ったのち、人工骨補填材(オステオグラフト・京セラ社製)を用いて良好な 経過が得られたように思われましたが(図40-43)、3年を経過した頃より4|部 の排膿が始まり人工骨補填材の排出とともに根尖に至る急激な骨破壊が起こってしまいました (図44,45)
 この時点で、通常は抜歯を行うべきだと思いますが、レーザーによる根面処理によって保存が 可能かもしれないという期待の下に再び歯牙保存を試みました。周囲骨との健全な結合が全く残 っていないことから一旦抜歯して、手元で連続波 Nd/YAG LASERによる根面処理を行ったのちに 再植を行いました(図46)。術後の経過は良好で、1か月には漏孔も閉鎖し(図47-49) 、期待通り歯槽骨の再生が行われているように思われました(図50)。しかし、レーザ ー照射が強すぎたためか、1年を経過した時点で歯根の吸収がレントゲン的に確認されるようにな りました(図51)。臨床症状がないのでそのままメインテナンスを続けて経過を観察してい ましたが、5年を経過するころから再び排膿が始まりついに抜歯を決断(図52)
図38.初診時Dental
  患者:61歳、男性
図39.術直前(初診より5年後)
急激な骨吸収進行により外科的保存を決断
図40.歯肉剥離・掻爬後

図41.人工骨補填

図42.術直後

図43.術後1年6か月
人工骨も安定して経過良好
図44.術後3年
4|近心側の人工骨は完全に排出
図45.再手術直前
4|近心側の排膿が著しい
図46.4|抜去後レーザーによる根面処理
歯槽骨再生の期待から再植を決断
図47.再手術直後
(再移植)
図48.再手術後1か月

図49.再手術後1か月
排膿も治まり経過良好
図50.再手術後6か月
根尖部歯槽骨は幾分再生
図51.再手術後1年
4|近心側に歯根吸収を確認
図52.再手術後5年(初診より15年)
歯根吸収と排膿により抜歯を決断

考察: 途中追加処置としてレーザー照射を行った4|については、照射時間が適切であった ならば歯根吸収もなく歯槽骨の再生が行われて更なる延命効果があった可能性も考えられます。い ずれにしても、レーザーの照射時間と歯質変化の状況が明確にされていないことが失敗の原因と考 えています。一方で、最初に歯周外科処置を行う以前の歯槽骨破壊速度を考慮すれば、以後10年 間何とか歯牙保存できた実績は評価できます。
 人工骨補填材使用の可否については、4|部においては最終的に人工骨補填材が異物 と認識されて排出されたものと思いますが、再び沈着した歯肉縁下歯石が直接の原因と考察してい ます。また10年を経過した現在なお機能しつづける65|の存在は、人工骨補填材を用いた 手術とメインテナンスの賜物だと思います。

図53.
※ 歯槽骨再生の理論は破壊のメカニズムから学ぶ

 歯周疾患に限らず、口腔内に存在する歯槽骨破壊の直接の原因が炎症であり、炎症の成立に 細菌の存在が不可欠であることは周知の事実です。しかし、健全な生体内において細菌の存在だ けでは炎症は起こりません。炎症が成立するためには、周囲組織の免疫抵抗力を低下させるアレ ルギー反応とアレルギーの元となる異物の存在を見逃してはいないでしょうか(図53)。異 物の特定と排除こそが、医学の原点である"原因の除去"であり、歯槽骨を始めとした組織再生の 基本だと思います。

参考文献

  1. )Bertram S.Kraus, Ronald E.Jordan, Leonard Abrams:咬合と歯の解剖,第1版,医歯薬出版株式会社,東京,1973, 172-173.

  2. )須田英明,高橋和人,堀内博,斉藤毅,内海順夫:加齢に伴う顎・歯牙・歯周組織の変化.日本歯科医師会雑誌,45:718-730, 1992.

  3. )河田克之:象牙質の加齢変化と化石の成因,姫路市歯科医師会会報 39-41 1996