“知覚過敏”は、医学的には急性炎症が存在する諸所における表面知覚(触覚、痛覚、温覚)
または深部知覚の過敏状態をいうが
1)。これは一般に“腫れ物に触るような痛み”といわれるように、普段は感じない
程度の刺激に対しても過剰に反応する状態で、局所における疼痛閾値の上昇が原因と考えられている。
一方、歯科領域における“知覚過敏”は、われわれ臨床医がもっとも遭遇する機会の多い
疾患であり、広義の意味では来院する患者のほとんどが潜在的に有する症状といえる。また
“知覚過敏”は、歯周疾患の進行に伴って発現する象牙質知覚過敏症以外に、カリエス末期や、
レジン充填,窩洞形成後などに発現する歯髄の炎症が原因と考えられるものや無髄歯や早期接触歯
にみられる歯肉や歯根膜の炎症が原因と考えられるものなどに分類される(図1)。
象牙質知覚過敏症以外の知覚過敏については、発症のメカニズムや治療法が確立されている
ためこの鑑別診断が重要なポイントとなる。
本稿では、歯周疾患の進行と密接に関わり、歯周治療の妨げともなる象牙質知覚過敏症に対する、
2,3の治療法(図2)とその治療効果についてふれてみたい。
![]() |
![]() |
| 図1.知覚過敏症の診査 | 図2.象牙質知覚過敏症に対する治療法 |
象牙質知覚過敏症は、歯周疾患の進行に伴い発現することがある。一般に、本症は
これが単にプラークコントロールの妨げとなるだけではなく、ときに歯周治療の妨げとなる。
それゆえに、この知覚過敏症をコントロールすることは、歯周治療を行ううえでは必須であり、
従来より多くの治療方法が試みられているが、必ずしも十分な臨床効果が得られてはいない。
ここでは、象牙質知覚過敏症を訴える歯周疾患患者のなかから、
数度にわたり再発を繰り返し、数種の治療を施した症例に注目した。著者らは、
このような症例に対する数多くの臨床経験を通して、象牙質知覚過敏症に対する治療法と
治療効果やその特性について検討した結果、プラーク・コントロールが十分におこなえる時期には、
象牙質知覚過敏症もコントロールされているという傾向が認められた。
また、各種の治療方法の臨床的観察からその治療効果について検討の結果、@消炎鎮痛剤
、ANd:YAGレーザー、BUDMA系コーティング材の各治療法については、いずれも
90%以上の有効性が認められた。
![]() |
![]() |
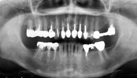
| 図3.初診時(1997年7月)のオルソパントモグラフ。 | 図4.初診時口腔内。 |

| 日付 | 処置 | 知覚過敏度の判定 |
| '94.7月 | 初診・初期治療 | |
| ブラッシング | ||
| スケーリング時に疼痛を訴えるため、ブラッシングによる知覚過敏の回復を図る(スクラッビング/デントEX) | ||
| 8月 | 消炎鎮痛剤投与 | |
| ジクロフェナクナトリウム75mg 分3/day X 5日投与.症状が改善し、プラーク・コントロールも可能となる。その後再発を訴えない | 3→0 著効 | |
| '95.1月 | メインテナンスに移行 | |
| ブラッシング時にわずかにしみる。清掃状態良好 | ||
| 3月 | 再発 | |
| 消炎鎮痛剤投与 | ||
| 来院当日の朝からブラッシングができず、ジクロフェナクナトリウム75mg 分3/day X 5日投与したが効果がなく.臭酸カリウム塗布に変更 | 3→2 有効 | |
| 4-6月 | 臭酸カリウム塗布 | |
| さらなる改善を求めて月1度の来院時に臭酸カリウムを塗布したが、いったんは回復の兆しがみえるも増悪した。下顎前歯部の清掃状態不良、知覚過敏によりブラッシング不能 | 2→3 増悪 | |
| 7-9月 | Nd:YAGレーザー照射 | |
| 月に1度の来院時にレーザー照射を2W・1 sec X20回行った。著しい痛みに対しては有効に作用したが、完治にはいたらずみたび再発 | 3→1 有効 | |
| 10月 | 再発 | |
| UDMA系コーティング材塗布 | ||
| コーティング材を塗布し、3〜3の咬合調整を行った(歯冠形態の修復を含む)ところ、みたびブラッシングが可能となった | 3→1 有効 | |
| 現在、メインテナンス中 |
![]() |
![]() |
| 図6.術後1年の咬合調整前。 | 図7.3〜3の切端部をコーティング材にて修復後、咬合調整を行った。 |
![]() |
![]() |
| 図8.2〜2の歯頚部にコーティングを行う(強度な知覚過により清掃不良)。 | 図9.コーティング6か月後の口腔内。 |
象牙質知覚過敏症に対するプラーク・コントロールの効果については、すでに多くの
文献的報告がある
2,3)。しかし、象牙質知覚過敏症の治療なくしてプラークコントロール達成はできない。
この症例は、再三にわたり治癒と再発を繰り返しているが、局所における消炎鎮痛剤の効果が
維持されているあいだ、すなわちブラッシングによるプラーク・コントロールが十分な時期には、
象牙質知覚過敏症もコントロールされているものと考えられる。
一方、臭酸カリウムの塗布(月に1度×3回)を試み、その除痛効果を検討したが著明な
効果は認められなかった。
また、Nd:YAGレーザーによる治療効果については、症状によりその効果は一様でなく、
処置後、知覚過敏症の再発もみられることから、今後の検討が必要である。現在、この患者は
月に1度のメインテナンスを継続しているが、再発を訴える場合は、その1カ月前に「歯を磨く
とき、少ししみる」と訴えている点が、他の再発例にも共通してみられている。
UDMA系コーティング材については、ブラッシングによる磨耗などの問題も考えられ、
さらに長期間の観察を続けたい。
【被験歯および試験方法】
被験者および被験歯
歯周疾患(成人性歯周炎)にともなう象牙質知覚過敏症状(歯ブラシまたは爪楊枝などの使用時での疼痛)
を強く訴える歯、また歯周疾患の改善にともない惹起してくるような上記症状の歯を対象とする。
また、対象歯は歯周疾患の進行度がP1〜P3で、上記の疼痛を有し、スケーリングおよび
ルート・プレーニングで初期治療完了後の歯を対象とし、歯周治療の途中から上記症状の起こってくる歯,
222本(患者:78名,男性:24名,女性:54名,年齢:21〜72歳)を被験歯とする。ただし、
当該部位で齲蝕が認められる歯は除外した(図10)。
![]() |
![]() |
| 図10.被験者の構成。 | 図11.治療法および歯種の構成。 |
![]() |
![]() |
| 図12.術前('95年10月) 36歳 女性、知覚過敏をともなうエナメル質形成不全。 | 図13.│4に知覚過敏をともなう楔状欠損応用例。コーティング材塗布後。 |
0度:まったく誘発痛がない。
1度:軽い誘発痛がある。
2度:強い誘発痛があるが耐えられる。
3度:強い誘発痛があり耐えられない。
治療効果の判定基準; 松本ら
5)の効果判定基準に準じて行う。
著効:知覚過敏度の診査において術前3度、2度と判定された症例が0度となる場合。
有効:知覚過敏度の診査において術前3度、2度が1度、1度が0度となる場合。
無効:知覚過敏度が術前と不変の場合。
増悪:治療により、さらに痛みが強くなる場合。
消炎鎮痛剤投与は、ブラッシングやスケーリングが不可能な多数歯に対しての対応が可能である
以外に、歯冠修復後に生ずる知覚過敏に対しても有効である。副作用等を考慮し今回は追加投与を
行わないが、症状によっては繰り返し投与も可能であり、部位や年齢と無関係に一定の効果が
得られる。しかし、上行性歯髄炎の疑われる症例では効果が得られない。また、観察の長期化と
ともに再発の増加傾向が認められた。
![]() |
![]() |
| 図14a.年代別集計。 図14b.グループ別集計。 図14c.歯種別集計。 | 図14d.効果判定。 |
Nd:YAGレーザー照射は、比較的多数歯に対しても対応ができ、また効果が得られるまでその
繰り返し照射が可能である。ただし、2回の照射で効果が得られない症例については、それ以上の
効果はあまり期待できない。また、露出象牙質をもつ歯に限って、歯冠修復後に生じる知覚過敏には
有効であり、歯周外科処置時への応用も術後の知覚過敏を予防するうえで効果がある。
しかし、象牙質の露出部分の少ない若年者と、上行性歯髄炎の疑われる症例では所定の効果が
得られない。再発は比較的少ないが、観察期間の長期化とともに若干増加するものと
思われる。
2W,1秒(×20)程度の連続波Nd:YAGレーザーの効果として、象牙質表面の溶解は考えられない。
Nd:YAGレーザーの疎水性と、作用のほとんどが熱作用である事実を考慮して、象牙質中の
有機質に対して熱が作用した結果、象牙質知覚過敏症の症状を緩和したもの思われる
7)。
![]() |
![]() |
| 図15a.年代別集計。 図15b.グループ別集計。 図15c.歯種別集計。 | 図15d.効果判定。 |
今回使用したコーティング材(UDMA系光重合レジン)は、既製のレジン修復面はもとより
象牙質に対する接着性にも優れ、高い親和性がみられる。今回は、楔状欠損部にコーティング材を
単独で使用し、象牙質知覚過敏症の抑制効果を観察したが、いずれも観察期間中は再発もなく
良好な結果が得られているが、一方ブラッシングによる磨耗も観察され、単独使用に対する限界も
感じられた。
UDMA系光重合レジンの特性を生かし、ボンディング材や覆罩材として既製の
コンポジットレジンと併用した症例では、窩洞の深さを問わずレジンの脱落もなく、
一般により高い臨床効果が得られた。本材の使用に際しては、エッチング(EDTA水溶液)で
露出象牙質が無機質を脱灰した後、コンディショナー(10%NaClO ヒポクロ水溶液)を用いて
表層に露出した有機質の処理を行うが、コンディショナー塗布後も症状緩和が認められ、
治療終了直後から一定の効果が得られた。
また、観察期間中に再発が起こらなかったことを考え合わせ、象牙質知覚過敏症に対して
有効なより根本的な治療法と考える。しかし、部位によっては処置が不可能な場合もあり、
1歯あたりの治療時間も長く多数歯の処置には不向きといえる。
コンディショナー(有機質溶解剤)塗布後に症状の緩和が認められたのは、
連続波Nd:YAGレーザー照射による効果と同様の作用機序によるものと思われる
8)。
![]() |
![]() |
| 図16a.年代別集計。 図16b.グループ別集計。 図16c.歯種別集計。 | 図16d.効果判定。 |
象牙質知覚過敏症の予防や治療には、プラーク・コントロールが重要と考えられる。
しかし反面、歯周治療はスケーラーなどを介し、機械的に歯根面のセメント質表層を削除することが
多く、このために発症した象牙質知覚過敏症も少なくない
9)。つまり、局所では歯髄神経線維の機能的変化と象牙質自体の性状の変化により、
これが象牙質知覚過敏症の発現に関与し、臨床症状を複雑にしている
10)ものと考えられる。
本稿で示した3種の治療方法を観察した結果として、
@消炎鎮痛剤投与では、再発も多いが広範囲の知覚過敏に有効である。
Aレーザー照射は、平均2〜3回の照射で効果を発揮する。また、所定の効果が得ら
れるまでの繰り返し照射は可能であるが象牙質の露出部分が狭い場合や多数歯には不向きである。
Bコーティング材塗布は、1歯あたりの治療に要する時間が長い。などがあげられ、
難点も少なくないことがわかった。
本稿の観察結果から、上記の各治療法については、いずれもおよそ90%以上の有効性を認めている。
しかし、これらの治療法を組み合わせることにより、さらに有効な処置法が確立されるものと
思われる。
現在、ブラッシング、スケーリングなど歯周治療に伴って発症しやすい象牙質知覚過敏症に
対する適切な処置が求められているが、本稿ではその有効な治療法の一端を示唆することができた。