Can you keep and use your own teeth for life?
The smart way to use the dentist

Chapter 3 Gingivitis

[The beginning of gingivitis]

Even if a patient goes in for dental treatment, if the correct and honest treatment is not performed the patient will become worried. On the other hand, gingivitis is regarded by most people as an illness that is not related to itself. When a dentist is asked by a patient “Do I have gingivitis” the reply often is “Your ok. There's no problem.”
Are things really ok?
If the patient believes that everything is ok then they will certainly develop to the final stage of gingivitis. However if they are made aware that whilst they are in the middle stage of gingivitis they have not yet reached the final stage and in so doing there is hope for the future.

Dentistry medical treatment
Since the final stage of gingivitis can not be treated, if it is reached many patients will face tooth extraction. Although speed of advancement varies from person to person for a fast developer final stage gingivitis will appear around 30 years of age. In a slow developer it is sure to appear by 70 years of age. On average around 50 to 60 years of age the final stage of gingivitis appears. I think that 70% or more of people in this age group will suffer from this problem. If the people who reach final stage before this age are included I think that about 90% or more of people will begin to lose teeth to gingivitis by the time they turn 60. If a tooth is lost because several other teeth still remain people accept and sometimes repeat tooth extraction annually. Moreover, the burden of the teeth which remain increases gradually. Therefore, the tooth which originally was considered to be healthy over time gets worse like a chain reaction.

It is appropriate to think that gingivitis can begin to develop from the time of dental eruption ending. The deposition of tartar under the gum edge begins from this time. Therefore you should think that gingivitis begins from 15-6 years of age. I do not think that it is a mistake to even consider that if a child develops their teeth early that gingivitis begins from around 10 years old. As a result I think that the gingivitis develops on average as follows. A man in his twenties is in the initial stage of gingivitis. A man in his thirties is at the first or middle stage of gingivitis. A man in his forties is in the middle stage of gingivitis. And a man in his fifties is in the final stage of gingivitis.

A bone which has been broken once can never go back to its original perfect state. In that sense gum disease is also a disease which can not be overcome. Although it is impossible to always have the mouth free of tartar, if we continue to regularly take tartar and this “tartar free” environment is always maintained, it is possible to control the advancement of gingivitis.

Most dentists believe that even if brushing instruction is given and tartar is removed, this optimal situation will not last long and hence gingivitis is uncontrollable. Dentists who perform regular periodical scaling are rare in Japan. As a result if gingivitis of the final stage develops the dentist decides on tooth extraction without carrying out any effective medical treatment for gingivitis.

Scaling is a treatment which can be performed in any dental clinic throughout Japan. Therefore, it is the custom which should be begun even for those who are not presently suffering from gingivitis as well as persons troubled by gingivitis.

[Control of gingivitis]

About 0.6mm of the alveolar bone can be destroyed in around 10 years, even in thoses who believe there to be no problem. In a person who has the tendency of developing gingivitis, it is said that about 2mm of the bone is destroyed in 10 years. In the most rapid case, advancement of gingivitis results in losing 5mm of the alveolar bone within half a year.

The thickness of the alveolar bone is about 10mm to 16mm. The average thickness is considered to be 13mm. In the final stage of gingivitis where 10mm of the bone is lost, bone reproduction of about 1mm is the assistance for maintaining the present condition. However since bone reproduction is not influential in many cases, it can be said that bone reproduction is impossible. It is necessary to stop loss of the alveolar bone, and you need to also recognize the reality of which it is hard to maintain things with the present dentistry medical treatment.

If you change your way of thinking now it is possible to keep the present state as is for eternity and hence keep your teeth for life usage. However unfortunately other dentists often recommend that teeth in the final stage or close to it are removed, this is not looking to eternal use. If a tooth which is left without treatment for less than 5 years is let to reach a stage where it is near removal and then treated, it is possible to retain the use of the tooth for more than 20 years. A tooth at a point less than the middle stage of gingivitis with treatment can also be retained for more than 20 years. Most patients are concerned most about their tooth which has reached the last stage. They should in fact be more concerned with maintaining and controlling the present “healthy” condition of their other teeth.

Dentistry medical treatment
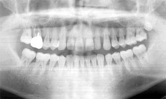
Fig. 13 Ms F 16 years old at the time of first medical examination. Woman
I regard this case to that of juvenile gum disease because there is high deposition of dental calculus and a high possibility of destruction of the alveolar bone.
Dentistry medical treatment
Fig. 14 Ms F 17 years later 33 years old.
As a result of continuing monthly maintenance the possibility of advancement of gingivitis has not occurred.
Dentistry medical treatment
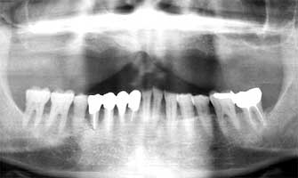
Fig 15 Mr H At the time of first medical examination 26 years old Male
His chief complaint is the cavity of an upper right molar. Except that tooth his teeth appeared healthy.
Dentistry medical treatment
Fig. 16 Mr H Ten years later 36 years old
His alveolar bone was destroyed to the degree that advanced gingivitis was suspected.
Dentistry medical treatment
Fig.17 Mr H 15 years after the first medical examination. 41 years old.
All of his upper teeth are already in the terminal state of gingivitis.
Dentistry medical treatment
Fig. 18 Mr H 20 years after the first medical examination. 46 years old.
All of his lower teeth have also reached the last stage of gingivitis. His upper teeth also look like they are on the way out
Dentistry medical treatment
Fig. 20 Mr K 21 years later. 65 years old.
He lost all of his upper teeth 15 years later. However I believe that with maintenance he will be able to preserve his lower teeth for the rest of his life.
Dentistry medical treatment
Fig. 19 Mr K 44 years old at the time of the first medical examination. Male
He had already lost three teeth of the upper jaw and the left second molar also need to be removed
Ms F 16 years old at the time of the first medical examination. Woman (Fig. 13-14)

She has undergone gingivitis treatment two years ago. However a lot of tartar of the edge of the gum was found on her teeth at the time of first medical examination. Her 5 year older sister already had a tooth in the final stage of gingivitis. Ms F therefore had the strong possibility of also developing to the final stage. Taking note of this I believed her to be of juvenile gum disease. As a result of consistently continuing to remove the tartar her tendency to develop gingivitis has not occurred even 17 years later. Even her older sister who lost a tooth to gingivitis, 16 years later has maintained and retained all other teeth.

[Problems of teeth often found in young people]

It is in the second half of teens that heavy destruction of the bone around the front teeth and the first molars which is classed as juvenile gum disease. The young people that develop juvenile gum disease do so due to illness of their physical condition and that they possess a special bacteria called bacillus. I do not consider that juvenile gum disease is a special disease. It occurs because deposition of tartar starts early since the development of front teeth and first molars are early. I am unlucky in that at my clinic I have never seen a typical case of juvenile gum disease. However I have seen a few cases that I suspect to be juvenile gum disease because the patient has clearly suffered from bone destruction. In these patients through treatment I maintain the present condition hence as no further destruction occurs it is impossible to say later on whether this patient truly was suffering from juvenile gum disease.

On the other hand, we also have an opportunity to help the patient with remarkable bone deficit whom is in his or her early thirties. A common feature from such patients is that while in their teens the dentist had pointed out the possibility of developing gingivitis and the need for solid brushing of their teeth. Another common feature is that they have constitutions which are easy to fester. While this is not such a major illness where by a normal life can not be lived, their immunity resistance is weak. I often hear stories from the patient of “having brushed their teeth for about 40 minutes during the day”. Nevertheless these patients still have quite possibly will have high bone destruction and loose teeth by the time they reach their late twenties. Usually a patient in his or her thirties is someone likely to only have tartar removed not even considering treatment for gingivitis or to begin maintenance. We often encounter the patient who has to perform the so called final disposal of gingivitis which will result in the nerve being removed as well as having the moving teeth wired and connected to remaining teeth.

Mr H He was 26 years old at the first medical examination. Male (Fig. 15-16-17-18)

At the time of first medical examination except for one big cavity his teeth appeared to the eye to be healthy. However at that time quite a lot of tartar was removed from his teeth. After the first treatment was complete he stopped visiting, even though it was pointed out the necessity of maintenance from time to time. Later he complained about new abnormalities. From this point he started visiting every three years. Although regular maintenance of scaling was recommended each time, 20 years passed without this happening. By not having regular maintenance his teeth degenerated which sadly should have lead him to understand the meaning and importance of maintenance. However to learn this lesson he has had to sacrifice a lot.

Mr H’s 20 years with maintenance can not be precisely predicted but what is certain is that without it his life was greatly affected. As verification I want to discuss the example of Mr K. Mr K, who was 44 years old at the time of first medical examination was in the same advanced stage of gingivitis as Mr H was at 41 years of age. The upper molar had developed to an early advanced stage of gingivitis. Generally since extra burden is placed on the upper front teeth when the upper molars are taken, it is thought that the upper teeth are more vulnerable than lower teeth.

Mr. K 44 years old at the time of the first medical examination. Male (Fig. 19-20)

He had already lost three teeth at the time of first medical examination. All remaining teeth had alveolar high bone destruction and if left they would all be lost by about 10 years later. Except for one intermediate year, he did not miss monthly scaling for 21 years after the first medical treatment. Consequently, the upper teeth functioned for 15 years and the lower teeth were maintained without any loss.

[The way of thinking to improve the present condition of maintenance]

I know well that the biggest concern is recovery for a patient who is sick. However, since the dentist, who is requested to aid recovery, has drawn the conclusion that recovery is impossible, the future is bleak. In dentistry medical treatment as which many which many teeth exist, unlike the one physical body, it is not good policy to think that treatment is done for only one tooth. If only one tooth remains then it can not be helped that treatment focuses on it, however if other teeth still exist then concern should also be placed so that the remaining teeth do not in the future end up the same way.

Gingivitis does not just affect one tooth, in fact many teeth of the same situation will exist. In extracting those teeth one by one, extra burden is placed on the healthy teeth. Consequently, ten years later, the patient should recognize the possibility of losing all teeth is high. Even if these teeth are preserved for 10 to 15 years longer, it is certain that at this time they will reach this point of extraction. Therefore even noticing problems and beginning maintenance sooner rather than later is critical.

I am treating many teeth that other dentists say are impossible to treat. Although it is easy for people to recognize in the general case the need to change care when the present care has not been sufficient hence leading to the removal of a tooth, on a personal level it is more difficult. Usually the patient believes that “this time things will be ok!”

When I explain to the patient that “You need to give up on half of your teeth and need to try your best for the teeth not to be affected similarly” almost all patients look at me dubiously.

I add “If these teeth are removed but the remaining teeth are preserved for the remainder of your life do you have a complaint?”, such a possibility seems so unbelievable for the patient. Although it may be unreasonable to believe only in words, if nothing is done a miracle certainly will not occur.

[Tartar is a cause of gingivitis]

I have emphasized that the cause of gingivitis is tartar adhered to the teeth, in fact the cause of gingivitis is not specified in dental academic circles. In Japan television commercials where a dental product company advertises to “fight gum disease bacillus” are famous in Japan. Although the general opinion is that a specific bacteria causes gingivitis, in fact there are 30 kinds of bacteria and in micro genetic engineering experiments a definite result has not been made. In my opinion this fact is inconclusive. I think that these 30 kinds of bacilli are not bacilli which cause a specific disease but quite possibly merely variants of a germ.

It is considered natural to believe that germs may cause inflammation and festering if something causes a break in the skin. That being the case inflammation and festering should not materialized if there is no foreign substance to “prick” the skin surface, including tartar, whatever the kind of bacillus.

Recently, researchers have said that eating habits, tobacco, stress, etc. can be causes of gingivitis. Although these environmental factors weaken the resistance of the living body and the tendency for inflammation can increase, I do not think that they cause gingivitis. Although these may be an auxiliary factor in the destruction of the alveolar bone, it can not explain the mechanism of inflammation generating by itself alone. I think that the constitution quality, the dental quality, saliva, lifestyle, etc are related to the development of gingivitis. However, we dentists can not improve or control them.

In order to stop gingivitis, we need to remove the various germs which cause inflammation and tartar. However probably it will impossible for us to eliminate only specific bacteria out of the mouth in which many bacteria inhabit. Moreover, I am anxious about other kinds of bacteria increasing and causing new diseases.

If exclusion of various germs is impossible, I think the only and most effective means possible to us is to continue removing the filth of tartar and other build ups regularly. I am not going to deny the validity of brushing. However we need to improve the present condition because gingivitis of the final stage often appears around the time of the patient turning 50 years old even though brushing is already an established custom. Although people say “If you try hard enough you can stop the inevitable”, I think it is impossible to ask people for perseverance for maintaining one’s teeth for life only through brushing.

[Anyway, what is tartar?]

There is a view that plaque takes in minerals and changes to tartar. However I think that plaque is something which is formed from organic matter found in the mouth while tartar is formed from minerals found in the mouth. The origin of tartar resembles the origin of stalactites, the deposit of calcium carbonate icicles hanging from the roof of a cave. Minerals such as Lynn and calcium adhere to the boundary line of the tooth and the gum supragingival tartar is made. It is subgingival tartar that is calcified further and adheres to the root under the gum edge.

Since there is no pathogenicity in tartar it means that there is no necessity to remove tartar. Moreover since inflammation will be subsided and the patient will feel better if tartar is taken, there is an opinion that it should not be removed.

Plaque lives where bacteria lives and is in fact a bacterial lump. Therefore there is an opinion that tartar removal should only be performed on patients who are able to control plaque. While brushing will not be removed by brushing if the patient continues to perform brushing the gum that once was inflamed will gradually subside and the tartar that was hidden underneath can now be seen. However when a toothbrush touches an inflamed gum, the pain at that time is beyond imagination. I think that this pain must be torture everytime I hear a patient comment “I cried every day striving to brush my teeth.” I think that continuing to take tartar which adheres even if the teeth are brushed and which can cause inflammation is the right medical treatment.

[We find abnormalities during periodical maintenance]

We can find various abnormalities by carrying out scaling of the whole inside of the mouth. Since we do scaling on each tooth carefully, we can find cavities which are difficult to find such as cavities which exist under a crown and the cavities which exist between teeth. Moreover even when things appear to be normal, we can find tiny cavities which appear to just be dirt. In the case where the gum is swollen we can find subgingival tartar and cement left over from making the crown.

Other than this, the most important discovery is the loose crown. Although the problem of the loose crown tends to be lightly regarded but is in fact a serious problem that ranks high as the cause of tooth extraction for persons of middle age or senior citizens. In the case of an independent crown, there is no problem. However on a connected crown or a bridge, even if one crown becomes loose the patient rarely notices. If the loose crown is left as it is the patient does not usually notice until the other crown also becomes loose. A cavity will progress quickly and the tooth will stop being useful at all from six months to a year. Consequently, the patient will lose this tooth. Since losing one tooth will affect the life of the surrounding teeth, discovery of the loose crown is very important.

This important discovery is often brought about by the patient’s query. Of course the thought “I think that my crown may be loose” is important.
“My gum became swollen about one week ago.”
And the thought “This tooth smells” also corresponds to this.

There is merit in taking great care of your teeth in that in so doing you will notice even minor changes in the condition of your mouth. You will lose important teeth since they are left without the treatment of going to a dentist. When you have a regular appointment to visit the dentist and as a result you go to the dentist you can consult with the dentist about the minor change. In so doing you will be able to maintain and keep your teeth. I think that it is the important role of which future dentists have to play, to stop problems before they reach the advanced stages.