Can you keep and use your own teeth for life?
The smart way to use the dentist

Chapter1 The Dental Repair Store

[A healthy dental kingdom]

I think there are many people who have feelings such as visiting the dentist for treatment brings about negative results over time. Also there are people who have decided to never visit a dentist again.

Many problems on the side of the dentist are often discussed, problems such as the method of treatment and the dentist's management abilities. The opinion that there are many badly skilled dentists operating is widely held. Solving the faults on the side of the dentist by simply waiting for a godsent formula of good medical treatment will definitely lead to the loss of some all important teeth in the meantime. While there are problems with lowly skilled dentists not all of the fault lies in this fact. Partly the blame lies with the attention that patients pay to the care of their teeth. For things to be better in the future there needs to be a change in the way patients think about and take care of their teeth.

It is the greatest misfortune for patients that dentists do not focus on how the patient can improve their own dental health care. Of course, in the case of young people who have little dental deterioration, there is a high possibility of good results and satisfaction with those results achieved after repair work is done. However if initial deterioration is prevented and the present perfect condition of the teeth maintained then the patients satisfaction level with the service performed must surely be higher.

While Japan has the world's best situation in that insurance institutions generously allow dentistry treatment, the environment in the mouth is also labeled the worst in advanced nations. The reason for this poor rating is that in consulting with badly skilled dentists important teeth have been lost. It is not a dream for the patient to maintain their teeth by only changing their method of care. In so doing the No.1 healthy kingdom of the world can be achieved. Building a healthy dental kingdom is an important treasure not only for the present generation but for the generations to come. This model should be introduced to the world.

[Dental repair]

The idea of going to “fix” a tooth is the first mistake. A tooth with which the patient has noticed problems usually can not be repaired completely.

In the case of a cold, after responding to medical treatment, the body will return to, or a position very close to, it’s original health position. Taking medicine at the first signs of a problem the patient can usually recover very quickly. However if treatment is not taken quickly then serious diseases like pneumonia or tuberculosis may develop. Even in these cases it is possible for the patient to return to health if treatment is given. Therefore even though the illness may return in the future, since it is the onset of a new round of the disease in a healthy body, it is possible for the body to repair any number of times.

The human body has the ability to cure and recover from illness even if medical treatment is not sort. Medical treatment aids the recovery by chemically assisting the natural healing process.

For example, if the bonemarrow is extracted or a similar part of the body is removed, the body will recover to it's normal healthy state. However in dentistry the capacity for the human body to reach full recovery is generally not expected. Especially in the case of a cavity, returning to the original state is impossible. The affected portion of the tooth is removed and a substitute, in the form of a metal or other substance, is prepared to replace it. When a cavity occurs again it adds to the past destruction and dental deterioration progresses.

Furthermore, in the case of a cavity which has dramatically advanced, it is essential that the tooth is removed down to it's nerve and then a crown is positioned. The patient is left with a visually grotesque metallic tooth. Moreover where gingivitis has developed the tooth must be extracted and a false tooth or bridge substituted. While dental treatment has been performed it can not be said that the patient has been healed. It is more suitable to comment that a repair has been made. If dental treatment is regarded as dental repair, then isn’t it natural to conclude the best solution for dental care is preventive consultation?

The case of root canal treatment can be likened to the case where a car has been involved in a major accident, in terms of the time and money needed to repair the damage. Even if the time and money is invested to fix the car it will never return to it’s new car status. After the repair work has ended the truth is that somewhere some kind of imperfection will remain. The possibility that in the maybe not too distant future the car will once again need looking at is not out of question. Even though the owner has paid the expense for repair they would not consider that the result is a condition equal to that of a new car.

An air conditioner purchased for 100,000 yen will probably break down in the tenth year. Supposing that the repair estimate is 20,000 yen and that the life of the air conditioner will hopefully be extended for 2 or 3 years or in the extreme case it may be useable for another ten years, then in a business like way of thinking, the repair is usually requested.

A major repair called pulpectomy (the removal of dental pulp) to all important teeth which must be used also for 70 to 80 years, will need to be performed in only 10 to 20 years means that it will be impossible to use the those teeth for the require time span. On turning 50 years old, the last stage of gingivitis will certainly cause remaining teeth to deteriorate away. Conversely, thinking that the tooth will breakdown in only ten years, if not given complete care, recognizing the level of care needed to make the tooth functional for 70 to 80 is impossible.

After performing the efficient care for preventing either advancement of a cavity or gingivitis, just by quickly discovering the cavity, completing the small repair and repeating this process, it becomes possible to carry out whole life use of the teeth.

In the latest research , it has been discovered that a cavity on the enamel surface, in the early stages can repair by re-calcification. Moreover, if gingivitis is discovered in the early stages, it turns out that it will recover if the tartar and plaque build ups, which are the causes, are removed. These cases can occur if the patient notices something unusual extremely quickly and seeks treatment. Therefore, in the case where the patient does not notice anything unusual quickly it is impossible to return to tooth to its original state.

[The real intentions and feelings of a dentist]

A decayed tooth
If a large decaying tooth is attended to afterwards the patient is likely to experience smarting. Also if the dentist detects a minor problem which the patient is yet to realize that they have and goes ahead and repairs the problem the patient is likely to be suspicious of whether the treatment was really needed in the first place.

Root canal therapy
As the root canal is sometimes crooked and because some patients will not open their mouth widely enough it is impossible for effective root canal therapy to be performed.

Patients mistakenly believe that once the root canal treatment has been performed that the tooth will not incur pain or future problems from cavities. They believe that they will be able to maintain and use this tooth for the remainder of their life.

If the treatment lasts for 5 years the patient is convinced that it was worth having the treatment done.

Gingivitis
For a problem such as gingivitis there is nothing that can be done.

If in this case the teeth are maintained for 50 years it is considered quite a satisfactory result.

The dentist instructs the patient on how to brush and care for their teeth. If the patient becomes slightly good at brushing their teeth they feel that it is unnecessary to visit the dentist and hence stop going.

Although it may be selfish to take the dentist's one sided opinion but it is after all the dentist who performs the medical treatment. When looking at the present level of medical treatment it is necessary to realize the real situation by considering these comments from the dentist.

The dentist is the one who can have the most control over the treatment of gingivitis and initial medical treatment of a cavity. Naturally the results from such treatment is expected to be of a high standard. However it seems that the dentist is avoiding responsibility of the results because the patient usually does not have complete knowledge and understanding about the medical treatment performed. I think that one reason for this distrust of the dentist is because often a tooth that was not painful before treatment becomes painful after treatment. The aim of the dentist is to prevent the patient from experiencing pain. Therefore in treatment of a tooth that the patient has noticed a problem, if the dentist discovers another problem they should recommend to the patient that treatment of this problem should also be carried out. But the dentist recognizes that sometimes after treatment of this supplementary problem pain may develop and that in this case the patient is likely to complain that the pain only developed because of interference by the dentist. This is a deep concern held by the dentist.

Although it may be an extreme argument just for a moment consider to what extent the dentist is sure that the effect of the treatment performed will balance out the pain. What the dentist is sure of is that even if the treatment, say for example is for gingivitis or a cavity, the degree of damage varies by tooth. In the domain of dentistry a spontaneous cure can not be expected. If a problem is left to develop to a certain point the situation will develop to a point where recovery will surely take several years to achieve.

For example, suppose that there were ten such problem teeth and they were all treated. It can be expected that 8 to 9 teeth will have brilliant results from the treatment. But that means that 1 to 2 teeth were past the point of successful treatment by the time that the pain alerted the patient to a problem. It is impossible to know exactly the time limit before treatment is necessary in advance. If the dentist sets up protection for themselves by refusing to perform treatment on teeth that that the patient has not yet detected a problem the possibility of saving the tooth will be lost. Even if the tooth from which pain developed after medical treatment had not been touched I believe that the tooth would eventually develop pain anyway. The focus of dental care in the minds of most dentists to this point has always been about the right and wrong way of brushing. I believe that brushing is of little importance in comparison to the level of care that can be achieved through regular inspection and quick detection of a problem. However recognition of this method of dental care is kept at arm's length.

The real intention of a dentist may be obvious to the patient. However please recognize the importance of the specialist ability to detect problems in the present condition of the tooth. If you always try to achieve things that you do not posses you will lose things that you possibly simply could have achieved. Before that occurs it is better that you recognize the method needed to maintain the present condition.

[The tooth smarts occasionally]

Once a cavity develops I think that there are many people who have experienced times when the tooth sends a sharp jab of pain. The speed at which the cavity develops changes with the age of the patient. In younger people cavities are quicker to develop while for older people they develop slower. This is due to the level of calcification (especially dentine) that the patient has at the time of development of the cavity. If a child's cavity is not treated immediately after finding it, after only several months the dental will be reached and pain will develop. The cavity in the case of an adult may be slow to advance and may infact take several years to fully develop.

The time that it takes for a tooth to emit an ache to the extent that the pain is unbearably painful (ie. at night the patient can not sleep due to the pain from the cavity) is assumed to be several years on average. Patients often think that they have limited their possibility of extensive treatment by going to the dentist when they first notice a slight jabbing pain. However in reality the tooth has already sustained extensive damage and is in the final stages of cavity development. Therefore the result is that extensive treatment will need to be performed.

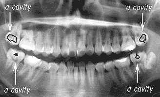
Dentistry medical treatment
Fig. 1 CASE A The patient was 17 years old at the time of first medical examination. She visited the clinic because the cavity of the lower left tooth was causing concern. In fact the cavity of the second molar of the upper right and left are larger and in a more serious state.
Dentistry medical treatment
Fig. 2 CASE A
Although in the case of the second molar of the upper right the nerve was removed, the three remaining cavities were packed with resin and that ended the medical treatment.
The day after a night of unbearable pain, the patient often requests that the offending tooth be extracted. Of course for the disposal the patient must be anesthetized and the dental pulp be removed. The final result is the same, even if the tooth is treated about one month before the time when the unbearable pain presents itself because the cavity has been developing for several years.

Using the excuse that the removal will release the patient from pain, the removal of the tooth and dental nerve and replacing it with a silver tooth is often done but it is a practice that should not be promoted.

[The tooth which is not painful]

If the tooth smarted just a little about one month earlier, how about several months ago? From the outside even if nothing appears to be wrong, if an X ray is taken of the tooth a cavity which has almost reached the nerve will often be discovered. (Fig 1-2) Since there is no ache the patient does not even know of the cavity's existence. The tooth is treated and the advancement of the cavity is controlled but even for the specialist dentist it is impossible for to anticipate if there will be pain resulting from this treatment. However if the tooth is left untreated it is certain that the nerve will need to be removed within several months. Even though there is only a fifty/ fifty chance of preserving the tooth's nerve don't you think that it is better to treat with this target in mind?

The stage called initial medical treatment of a cavity is when medical treatment is given within one year of the cavity generating. The medical treatment of this stage is to shave off the portion of the tooth that has become the cavity and to replace it with a substitute like a plastic resin. Recognition of the care needed before the cavity starts generating is required if the natural recovering capability of the human body is going to be used in the recovery after the cavity.

CASE A. A woman who was 17 years old at the time of first medical examination.
She visited the dental clinic because the tooth at the back of the lower left side was causing concern. She could check the lower molar using a mirror relatively easily. However because the upper molars were difficult to check in the mirror development there was going on unnoticed. In fact a deep cavity which had reached the nerve was developing in the far most left and right of the upper teeth. Looking at the X ray the cavities development is obvious. Total medical treatment of the four cavities, including a small cavity in the lower right tooth, was performed. Since the upper right secondary molars had reached the nerve the dental pulp was removed.

[Dental Structure]

Dentistry medical treatment The layer of enamel on a tooth is equivalent to a dental outer wall. Although a cavity is usually generated from this portion, an ache is not felt at this time.

Dentine is inside the enamel. Since dentine contains the quality of organic substance no less than 35%, unlike enamel if dentine is reached a cavity will advance quickly. A cavity in the enamel portion of the tooth may be likened to that of a big cave while a cavity in the dentine can be likened to the size of a hole made by a needle. The state of the tooth is like that of an egg. The outer surface is hard while the contents are soft and impressionable. However it is relatively easy to damage the outer surface of the egg and the same can be said for the case of the tooth. I am sure that there are many people who have experienced a cavity “suddenly” forming and hence rushed to the dentist.

Furthermore, in the inner part of the tooth there is a pulp chamber. It is the so-called nerve of the tooth. Since dentine and the nerve have touched directly, when there is a big cavity the nerve will be directly in contact with the cavity. The nerve however endures the pressure and does not yet emit pain. If the cavity is left unnoticed the tooth will begin to smart a little at times. If things develop to this stage, since the nerve will have become inflamed completely, it will be necessary for the nerve to be removed.

Secondary caries (decay of the tooth)

Filling a cavity in the early stages with resin, while it is a substitute, it is still an effective repair method. If the tooth is left, occasionally advancement (to the point where the cavity reaches the nerve) is delayable for about ten years and in the extreme case about 20 years. I don’t think that there are people who believe that having performed treatment on a tooth in the future there will not be the possibility of a recurrence of the problem. This recurrence is called secondary caries (caries means cavity).

Discovery of the secondary caries is often overlooked even by the dentist or hygienist. Merely looking at the teeth by the human eye it is difficult to detect where a true problem lies due to the fact that light shone into the mouth creates shadows. Therefore checks using an X ray is the most effective method. Ignoring cavities that are too small for detection even by X ray, an cavity that is discovered needs to be treated immediately.

Although the dentist wants to be able to say “since you have been treated in my clinic your teeth are absolutely fine for the next ten years” it is possible that secondary caries may be discovered in only 2 or 3 years. If this is the case and secondary caries does develop the patient is likely to want to go the dentist and complain about poor treatment. If the patient considers that if this experience causes them to consider not consulting a dentist in the future the condition of their teeth will definitely get worse.

I often hear of the situation where the place that was treated ten years ago has started to smart a little or where the filling that was implanted ten years ago has come out. Please realize that in the case of the tooth smarting it will require the removal of the tooth's nerve. In the case where the filling has come out, this too often requires the removal of the tooth's nerve. The reason for this being that secondary caries has developed, probably to the extent that the nerve has been reached.

Another tooth is also treated

When a patient is told that the dentist has treated another tooth as well as the primary offending tooth it is possible that the patient may misapprehend the reason why the dentist took that plan of action. The patient will probably form the impression that the secondary tooth did not require treatment as it showed no signs of a problem.While the patient may have misgivings about why the dentist took this action in truth most dentists will not treat teeth unnecessarily. The tooth which has a cavity can be likened to having rust. Like rust can spread, so too can a cavity. Therefore when concentrating on the condition of the teeth during medical treatment there is a high chance of discovering neighboring problems.

Late medical treatment is resented by patients. When they seek treatment for a problem they believe that there is still the possibility of repairing the problem. Hence when the result is not a success they are disappointed. As a further result the patient losses confidence in the dentist and is less willing to seek further treatment. The final result is that the condition in the patient's mouth is destroyed.

A better situation is that the patient recognizes the importance of early detection. By visiting the dentist even when no obvious problem exists early treatment of any existing problems can be performed. In so doing all if the disappointment and mistrust can be avoided.

Medical treatment of the root.

A living dental nerve that is likely to suffer sever inflammation and thus die is removed. This medical treatment is called pulpectomy. Since the dental nerve is barely living due to limited blood flow, once inflammation develops recovery is difficult. In the early stage of inflammation where cold food items produce pain, recovery is tried by applying medicine to protect the tooth. However if things develop to the point where hot foods produce pain then there is little hope of achieving recovery. Furthermore the pain at this point is so extreme that it will not be abated by painkillers and just touching the gums for a moment will cause the pain to flare up. Having treatment at this stage the patient is sure to suffer extreme pain. Due to the extreme pain that they are forced to suffer they may form the conclusion that the dentist is not good at performing treatment. In reality no matter who performs the treatment at this stage the patient is sure to suffer the same extreme pain.

What happens if this condition is left as it is? After a few days the dental nerve dies and the pain stops. For a while the area bears no pain until the dead nerve begins to rot. After about six months the root will begin to rot to the bone. Next an apical lesion is formed. All surrounding bones may be destroyed, pus may spread in the face, and the face may become swollen.

The case where the nerve has been removed but the treatment was performed badly also have problems. The same condition is caused when blood is allowed to enter the space left after the root canal treatment and left to rot.

If after root canal treatment is performed all substances which may cause rotting are completely removed and the space created is sealed so that particals can not collect there the apical lesion will recover. The bone affected by the apical lesion has the capability of self recovery because it is part of the human body. Although such medical treatment is technically called treatment of infected root canals, since the parts that are disposed of are the same as in removal of the nerve, both are generically called root canal treatment.

Although it is easy to say that perfect treatment and sealing of the root canal has occurred in actual fact due to factors such as the shape of the teeth, the patient is unable to open their mouth widely and equipment factors the actual success fate for perfect treatment in Japan in about 50%. This result sends shivers down the patient's spine. Even more worrying is that within that successful 50% the possibility that the nerve will deteriorate is high. The risk that someday the tooth will break down must be carried.

Although the tooth that has problems is greatly misunderstood, if there is no cavity there is also no ache and it will function forever. Although it is believed that part of the tooth which has been crowned will not have problems from cavities, it is easy for a cavity to develop at the margin line. In fact compared to other situations a cavity may advance faster in this case.

The result is disappointment and misunderstanding in the medical treatment process. Many people believe that treatment will lead to life long use of the tooth, however in reality even with the most skillful of treatment remaining usage is actually about ten years. In several years time it is highly likely that the nerve will need to be removed.

The overly blessed Japanese.

Although it is in the medical treatment of the root to which troubles occur again and again, medical treatment can be performed any number of times cheaply under the national medical insurance system in Japan. It may not be possible of Japanese people to think that 6000 yen is a cheap expense even though it is 30% of the full charge. If it is considered that in most foreign countries no less than 200,000 yen is required where there is no insurance system it is in fact quite cheap. Overseas if the patient has several teeth that require treatment the finances required to pay for the treatments will cause hardship.

Living with the benefits of the Japanese insurance system are possible as long as the patient continues to live in Japan. In the present age, where internationalization has increased, so to has the opportunity to live overseas. Hence Japanese people are currently faced with the possibility of expensive treatment. As in the example, the irrational state of thinking in Japan is pointed out. What is required is that recognition of global standards for the practices of dentistry treatment are adopted.

Then what is the management system in foreign developed countries such that no less than 200,000 yen is required to treat one tooth?

For example , in the case of Australia is it true to say that all Australians have beautiful teeth? Such a question can not possibly be found to be true. The answer that Americans have more beautiful teeth has been presented. If that is true what level of care is carried out to their teeth?

Since in the United States it seems that examination of the teeth commonly occurs twice a year, the conclusion can be reached that the extra examination helps Americans achieve beautiful teeth.

In Australia there is a national medical insurance system similar to Japan and through this system the patient pays 15% of the treatment fee for general medical treatment. However the insurance system is not effective when it comes to dental treatment. In Japan if nerve treatment is needed the current treatment method costs about 200,000 yen. If multiple teeth require treatment and the full cost must be bared there is no doubt of the financial burden this will cause.

Often patients comment that they have a check up of their teeth once a year where scaling is performed and the treatment of a small cavity is undertaken in order to avoid future crisis. If a cavity is treated in the medical check which costs about 10,000 yen, then the overall cost will be about 20,000 to 30,000 yen. With the perspective of long life for the teeth this expense is reasonable. Since beautiful teeth without crowns are possible the way of achieving this outcome should be looked at.

Australia is not necessarily a paradise. I hear that there are also some problem areas. Although it seems that those who carry out regular medical examination every year and can afford the 30,000 yen expense can be saved. How about the person who can not afford this expense? Like Japanese people, even if the patient goes to the dentist under the pressure of necessity, the patient can not afford the required payment of around 200,000 yen. The cold recommendation made by the dentist is to remove the tooth if the patient can not afford the treatment. It is said that a low income earner's environment in the mouth becomes inferior in this way.

Since Australia is a multicultural environment, the habit of having periodical medical examination roughly divides the condition of the mouth rather than the difference in racial origin. Japanese people in comparison with Europeans and Americans have more crowned teeth. It is believed to be a result of the method of dental care or the use of a dental clinic rather than the difference in the make up of the teeth. The public medical insurance system of Germany is classified into compulsory entry or private subscription according to the individual's level of income. The rate of coverage under the German insurance system is 100%. The insurance system covers things such as dental checkup, preventive dentistry, as well as rehabilitation and physical health improvement services. The treatment of prosthetic dentistry (covering the cost of crowning teeth, etc.) is a point of interest. I hear that for this service the rate at which the insurance will cover the cost of treatment is directly related to how often the patient has had checkups. It is telling that there is a low percentage of those who perform the preventive medical checkups performing prosthetic dentistry. The threat of high payment if regular checkups are not undertaken leads to people choosing to take regular checkups. This data is also found in the American private sector insurance system.

In Japan periodical medical examinations, including monthly scaling, became possible by the revision of insurance policy in April, 2002. For one years treatment the total cost will be about 30,000 yen considering that a single checkup costs 2000 yen at 30% charge. For the expense of 30,000 yen Australians can only visit the dentist once. However for this fee Japanese people can have 12 checkups. Therefore it is reasonable to believe that Japanese people should have more beautiful teeth than Australians. This being the case don't you think it is strange that Japanese people have given up in the contest for beautiful, healthy teeth?

The general world's view of gingivitis.

Although the technical word "periodontal disease" is used the more commonly used word "gum disease" will be used in this book. The image of gum disease is a fearful one in which the bone surrounding and supporting the tooth deteriorates away. It is followed by strong bad breath and the tooth becomes loose before finally falling out. I think that there many people who feel "surely it isn't only myself who has gone through this experience". When gum disease is mentioned it is this final stage that is brought to mind. However gum disease starts to develop from the patient's teen era. A patient who is in his twenties is surprised to learn that he has gum disease. He is relived to discover that the gum disease is at this point in the first stage and that there is little need for concern.

Gum disease has the image that it is an incurable disease. Although the bone has been lost and can not be repaired, advancement of further deterioration can be controlled forever. However if gum disease is the diagnosis there is the trend to simply remove the tooth.

When gum disease is discovered because the patient does not know about the technicalities of dentistry medical treatment, the patient can only believe the dentists explanation about the treatment. If the tooth is truly at the end of the final stage of gum disease it may be true that it is necessary to remove the tooth. So supposing it is necessary to remove the tooth, it is highly likely that surrounding teeth have suffered damage. Rather than focusing on the removal of the tooth, I think that priority should be given to improving the condition of the mouth. Namely heavy scaling (calculus removal) and strict maintenance are required.

I have heard of many cases where the diagnosis of gum disease was made for the excuse of tooth extraction. If a patient in his or her 30's is told that it is necessary to remove a tooth due to gum disease extreme caution should be paid regarding the true necessity of it. In this case if the tooth has had the nerve removed in the past I believe that the problems result from this past medical treatment.

A report by the Japan Dental Association says that about 80% of patients 35 years or older suffer from gum disease. Since I hear that gum disease occurs in about 70% of patients from 16 years old to 34 years old, the percentage of population who do not have gum disease will of course be less than half. As a natural result many people have their teeth removed under the label of gum disease. In the case of patients 35 years or older there is data that says that about 70% of the tooth extractions are as a result of gum disease rather than a cavity.

I think this condition is even more serious than the image presented by the figure of 70%. Except for a mere few exceptions I can not find patients who are over 50 years old who do not have any gum disease. The destruction of the alveolar bone will begin from the point where the tooth has finished growing and tartar attaches to the tooth. It follows that gum disease develops when the patient reaches a certain age. Gum disease is not something that develops suddenly, rather it is possible to find evidence of it in anyone who has reached their teens. However the speed at which it develops varies from patient to patient. The patient in his or her twenties is in the early stages of gum disease. In his or her 30's the patient has reached the end of the first stage to the middle stage. In his or her 40's the patient is into the middle stage. By the 50's the beginning of the final stage is reached. This final stage is the part that everybody widely recognizes.

The speed at which gingivitis develops is decided by immunity resistance of the tooth's condition, the speed at which tartar attaches to the tooth and the condition of the body. If the body is suffering from an unacquainted critical illness and the illness is such that resistance is reduced, such as diabetes, even if the patient brushes his or her teeth diligently and keeps the inside of the mouth clean, even slight tartar can result in the patient losing a tooth as early as in his or her 30's.

If a patient is lucky enough to have good tooth condition, slow attachment rate of tartar and a healthy body then even if they are poor at brushing their teeth it is likely that at 80 years of age they will only have developed to the middle stage of gingivitis.

A human in the last stage of life who has escaped from gingivitis of the last stage will almost certainly lose teeth as a result of cavities and also from the treatment of cavities.

In Japan there is a well known campaign called 8020. It is supported by the Ministry of Health and the Japan Dental Association. The aim of the campaign is that at the age of 80 years the patient will still retain at least 20 teeth. In some prefectures a person who has reached this target at the age of 80 will be presented with a certificate and prize in memory of the achievement. Since the campaign goes as far as presenting a certificate to successful people this means that it is a rare case for the target to be achieved. In reality, as shown by statistics, a patient who has reached 80 years old will only have 5 teeth remaining.

The work of an oral hygienist

At a dental clinic there are staff members called oral hygienist. The hygienist works as an assistant to the dentist, for example to operate the oral vacuum during medical treatment. It is the hygienist who takes the leading role in relation to oral care. They are the ones who initiate brushing instruction and professional tooth cleaning. Since it is the hygienist who performs the removal of dirt from the teeth, at times the hygienist can discover small abnormalities. If abnormalities are discovered the dentist is told and the situation and the required treatment is explained simply to the patient.

Moreover, considering the special conditions of dentistry, where the recovery capability of the living body is effective only in the early stage of oral problems which the hygienist takes charge of, it is the hygienist who has the leading role in dentistry medical treatment. I believe that it is the dentist's responsibility to repair the patients tooth and the hygienist's to maintain the healthy condition of the teeth. According to a report by the Hyogo dentist's association, on average there are less than one hygienist per dental clinic. If it is the hygienist who takes the leading role in caring for the condition of the patient's teeth, by having few hygienists what kind of condition does this lead to?

It is regrettable that at present the power and benefit of the hygienist is not demonstrated to the full potential. In order to maintain dental health an environment in which the hygienist can play a more active part is required.

Dentistry medical treatment
Table 1 There is no persuasive power in the poster seen in a dental clinic.
The secret plan to keep one's teeth for life

If the dental cause of tooth loss is investigated statistically, cavities and gingivitis take half the blame each. It is easy to attain the target of 8020 if cavities and gingivitis are removed as problems. Is it possible for the secret plan to leave the tooth healthy enough to exist since there exists no medicine for reviving the tooth once terminal damage advances?

Maintenance, which includes monthly scaling, made possible by the insurance revision in April 2002, has come to be accepted by insurance companies. Before the change in the insurance policy it was not possible to have monthly maintenance under the insurance system. Under the previous system, if maintenance was performed many times within a year then the dentist was viewed as acting with criminal intent. I have continued scaling and maintenance as much as possible since the commencement of my business. Due to my strong belief of the positive results of undertaking frequent maintenance under the previous system I performed such maintenance free of charge. In the world it is a rare case for maintenance to be continued for over 20 years. Through the experience of performing scaling every month, and when finding out small abnormalities coping with them, I got to know that it was possible to preserve one's teeth for life.

Although the dentist has confidence in the initial stage treatment, the dentist feels that it is possible to only increase the life of the tooth in the final stage treatment minimally. This is the feeling of dentists and patients need to understand this feeling in order to increase the life of their teeth.

Is it really a secret plan when maintenance just protects the tooth? Rather it is natural and you may be disappointed in how easy it is. It is not necessary to reemphasize the effect of periodic medical examination, the benefits are displayed in the poster stuck on the wall of the dental clinic. However the statistical information displayed is unfortunately not dramatic enough to make people choose to have maintenance performed. In order to have the recognition of maintenance deepened I hope to give concrete examples with this book.